AIR™ Recon
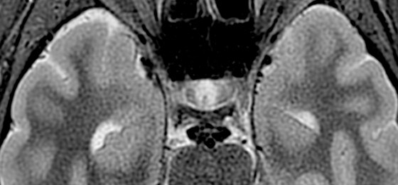
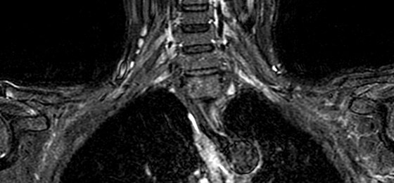
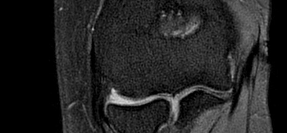
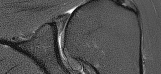
Make no substitutes for image quality
Clearly consistent images
Video Gallery

AIR™ Behind The Scenes Film

AIR™ Animation

AIR™ First Clinical Impressions Video
Simply better compared to conventional coil technology.









Simply better compared to conventional coil technology.