ViewPoint™ 6 Ultrasound Reporting Software for Cardiology

ViewPoint 6 with EchoPAC™, is a comprehensive cardiovascular ultrasound reporting and image management system. Its optimized workflow allows you to focus on delivering the best possible patient care.
At a glance

Optimized workflow

Process studies offline and free up your ultrasound system for new exams

Comprehensive reports

Alignment with the latest medical guidelines ensures quality and consistency

Diagnostic confidence

Make informed decisions with state-of-the-art quantification tools

Effortless integration

Automate the data flow from your ultrasound system to ViewPoint 6 and your IT infrastructure

Prioritize precision and efficiency with automated cardiac measurement parameters and robust echo reporting capabilities

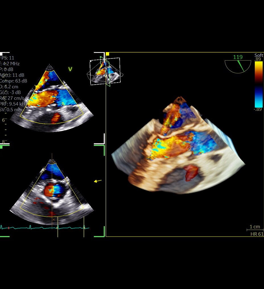
ViewPoint 6 with EchoPAC’s state-of-the-art cardiovascular quantification capabilities helps ensure accuracy and data consistency because every percentage, every second, and every millimeter makes a difference. Along with simplifying image analysis and reporting, the solution facilitates collaboration among all members of the cardiac team, further boosting diagnostic confidence.
Customer story

A new level of efficiency for the Echo Lab at Mount Sinai Medical Center

Dr. Christos Mihos from Mount Sinai Medical Center, Miami Beach, Florida shares how replacing their outdated systems with ViewPointᵀᴹ 6 has streamlined key workflows and made reporting easier for clinicians. See how the new technology helps them oversee a high volume of studies – approximately 15,000 a year – while increasing productivity.

Product details

Simplified ultrasound reporting and image management for busy echocardiography departments

ViewPoint 6 optimizes the way you work so you can spend more time with patients. By combining data transfer, exam documentation, and image archiving into one solution you’ll be able to work smarter and faster.
Optimal workflow

Improve department productivity with automation that drives consistent and comprehensive reports

ViewPoint 6 drives standardization by enabling the automatic transfer of cardiovascular exam data from any ultrasound scanner. You can further optimize workflow with comprehensive and customizable templates based on standard ASE/BSE/EACVI protocols for exams, like adult transthoracic echocardiogram (TTE), adult transesophageal echocardiogram (TEE), stress echo, pediatric TTE, and pediatric TEE. Document exam findings with a click of a button and expedite routine tasks by easily creating templates for common exam findings, such as “positive” or “negative” exams. With the flexibility to review exams online or offline, the care team can easily share information and make collaborative decisions.
Clinical confidence

Easily access quantification tools for more accurate assessment of cardiac function

ViewPoint 6 enables post-processing of data from almost any ultrasound system offline, using the integrated EchoPAC plug-in. State-of-the-art EchoPAC delivers the power of a Vivid™ scanner to your desk so you can quantify cardiac function more accurately with a full array of advanced image post-processing and analysis tools. AI-based quantification tools including Easy AFI, which provides EF and Strain with a single click, Easy Auto EF, Myocardial Work, Open 4D for a vendor-agnostic 4D analysis, 4D Automatic Valve assessment, and CT Fusion technology among others, helps you elevate your diagnostic capabilities on and off of the scanner.
Integrated analytics

Simplify echo lab accreditation and improve efficiency with secure, readily available data

ViewPoint 6 puts data at your fingertips, simplifying the accreditation process and supporting you in research efforts. The integrated analytics also make it easy to identify trends and find answers to clinical and administrative questions.
Effortless connectivity

Help enhance your current investment by quickly connecting to existing, multi-vendor ultrasound devices

ViewPoint 6 fully integrates into the hospital IT infrastructures and connects with most ultrasound systems via standard DICOM and HL7 interfaces. With this ability to easily and securely move data from system to system, you can free up scanning equipment for active exams, foster collaboration, and expedite record archival.

New ViewPoint 6 module now available

Optimize your ultrasound department operations with ViewPoint 6 DataStudio's¹ enhanced analytics capabilities.

Meaningful analysis makes a difference

DataStudio is a web-based analytics platform that allows you to effortlessly search, access and view ultrasound data directly from the ViewPoint 6 server. Access business-wide insights to optimize workflows and department performance.

Secure your software investment.

Ensure optimal functionality and long-term value via timely updates, security patches, technical, and clinical support.

Training opportunities for continued product education

  • Your one-stop destination for comprehensive resources. Dive into a collection of video tutorials and guides designed to assist you in exploring and mastering the features of ViewPoint 6.
  • Log in to your customer account below and benefit from training at your own pace, accessible 24/7.

Reliable support

Download software or get support from our experienced staff whenever you need it:

  • Get help with a technical or clinical question from our help desk
  • Access product updates
  • Access performance and stability enhancements



Optimize your workflow with ViewPoint 6

* Not all products and features may be available in all markets.

JB00339XU