Customer Testimonials

What are the key benefits that PET/MR brings to research initiatives?

What do you love about your SIGNA™ PET/MR?

What are the clinical benefits of using PET/MR?

Where do you think PET/MR technology will take you in the next 5 years?

What new PET/MR advances from GE excite you?

Learn more about the SIGNA™ PET/MR

Establish
Energize
The SIGNA™Works standard applications portfolio contains imaging solutions that cover a wide variety of contrasts, 2D and 3D volumetric data, including motion correction capabilities. SIGNA™Works provides all of the tools you need to complete a clinical exam.

BodyWorks
With BodyWorks, we address one of the fastest growing areas in MR. This all-inclusive library allows you to image abdominal and pelvic anatomy with user flexibility to adapt to different patient types.
Auto Navigator is GE's solution to combat respiratory motion in abdominal imaging. This free-breathing approach is compatible with multiple pulse sequences including diffusion, PROPELLER MB, MRCP and dynamic T1 imaging.CVWorks
With our intuitive cardiac techniques, you can assess morphology, flow, function and tissue viability plus gain crucial insights into vascular structure and flow dynamics. CVWorks provides the flexibility to adapt to different patient types with exams that vastly simplify workflow.
With CVWorks, multi breath-hold imaging can be a thing of the past. Our latest Single shot MDE and Black Blood techniques provide patient-friendly alternatives to uncomfortable breath-holds.
With our workflow-simplified QuickStep protocols, scanning whole body vasculature can be done in less than 6 minutes. High performance gradients allow bright blood pool and myocardial tissue contrast on Cine FIESTA while preserving spatial resolution.NeuroWorks
This one-stop solution enables you to imagine brain, spine, vascular and peripheral nerve anatomy with exceptional tissue contrast. These motion-insensitive techniques feature single-click auto alignment, providing the complete neuro solution from scanning to post processing.
NeuroWorks also includes Cube, our 3D volumetric imaging suite, standard with every system. This application allows you to suppress CSF and either white or gray matter to increase lesion conspicuity.
PROPELLER MB, our latest PROPELLER enhancement, is a multi-shot approach that preserves tissue contrast regardless of weighting while also reducing motion artifacts. Additionally, this new technique introduces new contrasts such as T1 FSE.OncoWorks
This extensive library of techniques captures anatomic and morphologic data to uniquely enable oncological assessment of anatomy. OncoWorks includes robust tissue contrast, motion-insensitive, high temporal and spatial resolution imaging.
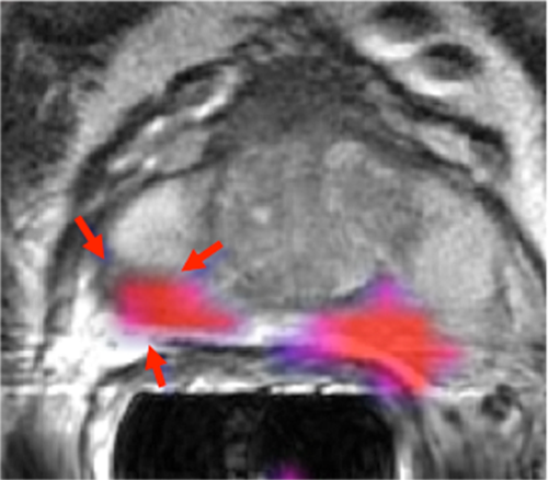
3D volumetric imaging with an optimized adiabatic fat suppression, combined with ARC or ASSET, provides high spatial and temporal resolution to capture contrast uptake patterns. The FSPGR Ax Dynamic image shows lesion characteristics generated using AW VS7's positive enhancement map. The T2 PROPELLER image demonstrates small FOV and motion-correction through the prostate.OrthoWorks
This one-stop solution enables you to image brain, spine, vascular and peripheral nerve anatomy with exceptional tissue contrast. Includes ReadyBrain for single-click auto alignment, enabling patient planning through post processing.
This extensive library of musculoskeletal imaging techniques enables you to image bone, joint and soft tissue with remarkable tissue contrast.
OrthoWorks also includes 3D volumetric Cube with proton-density, combined with ASPIR, which enables improved fat suppression uniformity, which is routinely done as three separate 2D scans. With one 3D acquistion and multi planar reformats, Cubes may replace individual 2D scans.PaedWorks
Pediatric imaging requires exclusive and distinctive imaging techniques that provide ease of use for the user and clinical excellence for your smallest, most fragile patients.
PaedWorks provides specialized protocols to simply address the needs of your smallest, most fragile patients. Techniques such as PB Navigators combined with PROPELLER MB are used with advanced techniques like diffusing imaging, allowing for patient-friendly, entirely free-breathing exams. Additionally, cardiac exams using single shot MDE provide faster, more reliable results.
The four images demonstrate dynamic T1 imaging with PB Navigator, which enables the patient to breathe freely while capturing contrast in fast temporal phases. Whole spine evaluation can be obtained simply with routine T2 frFSE imaging.
Clinical Gallery - Standard & Elective

3D MRCP

2D Cine FIESTA

Black Blood - SSFSE

PS MDE

QuickStep MRA
Expand
Take your expertise to the next level when you move beyond the standard with SIGNA™Works innovative applications. Improved image quality, higher efficiency and a more streamlined workflow help you perform better than ever before.
Clinical Gallery - Innovative

HyperCube with Flex

HyperSense Knee Cube .4 x .4 x 4mm

HyperBand
Supporting Materials
Optimized clinical pathway
Increased PET sensitivity with TOF and QStatic





