• Change country/language

    Looks like you’re in {} — you’re on the {} site.

    Cancel

    Country and language selected

    You are being redirected to the {} site. Products and services availability vary by country. Do you wish to continue?

    Continue
    Cancel
VenueTM family
Point of care ultrasound for neonatal and pediatric critical care

In critical moments, every second matters. The Venue™ family helps enable simple, fast, and precise ultrasound without the need for ionizing radiation. Adaptable and conducive to working in tight and crowded spaces, Venue helps enable confident diagnostic scans and complete evaluation of your littlest patients.

Benefits

Designed with you in mind

Acquire information easily

Our advanced algorithm helps to simplify complicated steps

Ready to go

With up to 4-hours of battery life, it easily moves between isolettes in a busy NICU

Enhance accuracy

Needle recognition software helps with visualization for line placements

Reduce variability

Drive consistency from user to user with Venue’s intuitive tools

Features
Made for your point of care
Equipped with an intuitive user interface, small footprint and easy-to-clean touch screen, the Venue family is designed to streamline your day-to-day experience—helping you quickly assess a pediatric or neonatal patient’s medical status, reduce variability, and improve accuracy.
AI-enabled tools
Designed to simplify the complex and help you make life-saving decisions with confidence.
Helping to drive consistency from user to user, Venue family ultrasound systems help you work more efficiently. Using proprietary algorithms, we synthesize data from numerous patients to ensure accurate calculations for clinical confidence.
pediatrics-nicu-features-ai-ph-en
Streamline efficency
Automated tools help save time and facilitate complete evaluation.
Venue family systems help eliminate busywork at the point of care. Easy documentation and protocol management tools such as eFAST can help reduce keystrokes by up to 80%1, facilitate exam comparison, and streamline image organization for efficient review.
pediatrics-nicu-feature-streamline-ph-en
Versatile design
Adaptability inspired by you.

Whether you’re looking for a model that goes from cart to table to wall or a console system with a large screen, there is a versatile, robust, easy-to-use Venue system made for you. A sleek footprint and big wheels make the Venue family easy to maneuver in tight spaces, and its smooth, seamless and durable surface supports infection control efforts in the PICU and NICU.

 

pediatrics-nicu-adaptability-ph-en

Ready for sudden changes in patient health

From its straightforward design to its AI-enabled Auto Tools, the Venue Family of point of care ultrasound systems empower physicians to make fast assessments in tough situations.

Quickly assess patient status in trauma cases with eFAST Tool

Allows users to map key areas of the body in a structural way that is intuitive and aligned with clinical workflows. Also saves keystrokes and helps provide consistent reports from user to user.
pediatrics-nicu-FeatureCardFull_1-ci-en

Review lung segment images in one view with Lung Diagram

A single view diagram of anatomical lung segments with one click image storing. Keeps track of segmental lung assessment and can be helpful in showing trends in response to therapy.
pediatrics-nicu-FeatureCardHalf_1-ci-en_

Quickly assess kidneys and the bladder with Renal Diagram

Simplify documentation and provide easy follow up for patients with suspected hydronephrosis. No need to type findings; simply assign a label from a pre-populated list that correlates with images.
pediatrics-nicu-FeatureCardHalf_2-ci-en

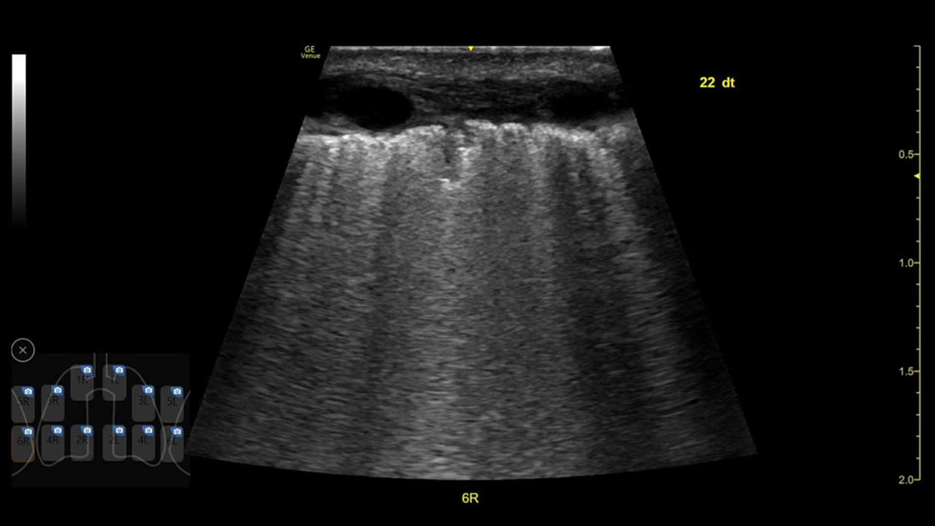
Visualize the entire lung with Lung Sweep

Lung Sweep provides a dynamic panoramic view of the entire lung. It activates when the probe taps the body and deactivates when the probe is lifted, so there’s no need to touch the screen.
pediatrics-nicu-FeatureCardFull_2-ci-en_

Access accurate, instant, and rapidly updating results with Real-Time EF

Capture precise results instantly without requiring ECGs through Real-Time EF*, an AI tool that continuously calculates real-time ejection fraction during live scanning in apical 4CH view.
pediatrics-nicu-FeatureCardHalf_3-ci-en

Highlight and count B-lines, in real time

With the Auto B-Lines* tool, you can calculate overall lung score in one step. Use it in conjunction with Lung Sweep to highlight B-lines and display the frame with the most B-lines per rib space.
pediatrics-nicu-FeatureCardHalf_4-ci-en_

  

Venue family neonatal and pediatric intensive care brochure

Download and read this brochure for a more in-depth understanding of how the Venue Family delivers confidence at point of care, when it matters most.

Explore POCUS bibliography

 

pediatrics-nicu-venue-family-nicu-st-en

Venue probes

A full set of probes for scanning pediatric patients from neonates to adult-sized patients, the Venue Family has you covered.
pediatrics-nicu-fan-group-picu-nicu-probes-st-en

Product tutorial gallery

Get a first-hand look at how Venue supports practitioners caring for pediatric and neonatal patients.
nicu-picu-clinician-laptop-st-en

 

References
  1. eFAST Comparison Study: Manual vs. Venue Automation, GE Internal Study DOC2222911.
    *Excluding neonates

 

JB20636XX November 2024

Have a question? We would love to hear from you.

Contact us

We're ready to support you in your moments that matter.

We’re sorry, a problem occurred with the form. Please try again.
Thank you for your inquiry.

We will be in touch soon.

Something went wrong

We will check and get back.