• Change country/language

    Looks like you’re in {} — you’re on the {} site.

    Cancel

    Country and language selected

    You are being redirected to the {} site. Products and services availability vary by country. Do you wish to continue?

    Continue
    Cancel

SIGNA Premier Evo

The MR world is constantly evolving and so are the needs of your imaging department. So why should your 3T MRI scanner stay the same?

signa-premier-evo

At a glance

Advanced AI technology

Achieve pin-sharp image quality with pioneering AIR™ Recon DL AI technology.

Superior comfort

A 70 cm bore and blanket-like AIR Coils improve comfort and accessibility.

Same magnet, wider bore

Your state-of-the-art magnet remains current with our lifetime guarantee.

Faster returns

Gain a 40% faster ROI with a SIGNA™ Evo transformation vs. a replacement*.

Open up clinical capabilities with a SIGNA Premier Evo 3T wide bore MRI scanner

You don’t need to replace your 3T MRI scanner to bring it up to spec with the latest advances. That’s because GE HealthCare technology comes with the inherent ability to be transformed. SIGNA Premier Evo is a simple upgrade that widens the clinical capabilities of legacy MR systems. As well as opening the bore to 70 cm, it integrates advanced AI technology and improves research potential.

Wider appeal

Hear from your peers, the medical professionals who have benefited first-hand from a SIGNA Premier Evo transformation.
premier-evo-3t-highlight5-st-en

  

MR systems are obviously very expensive and there’s constant changes in the technology. So… I think this is an important investment to upgrade MR systems, to have these newer technologies and I think at this point AIR Recon DL is really a game-changer.

 

Dr. Melany Atkins
Fairfax Radiological Consultants, USA

Features 
Far-reaching potential with SIGNA Premier Evo 3T wide bore MRI scanner
One transformative upgrade. Limitless potential to enhance your clinical and research capabilities.
Deep-learning
Expanded clinical capabilities

With advanced technology on your side, you can widen your clinical service to more patients and improve confidence from referrals.

 

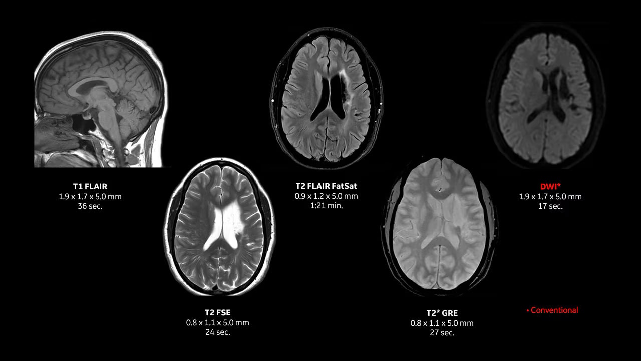
With access to the latest advanced AI technology, you can scan all anatomies and achieve pin-sharp images. Our pioneering deep learning-based reconstruction algorithm AIR Recon DL accelerates scan time and puts patients at ease.

 

The improved gradient of up to 80 mT/m, 200 T/m/s provides exceptional results faster and with 146 RF channels, you can ensure uniformity for every result.

 

You’ll also see the difference automated applications such as AIR Touch™ and AIR x™ make to your workflow and patient throughput.

premier-evo-3t-highlight3-st-en
Comfort
Enhanced patient experience

Transforming from a 60 cm to a 70 cm bore widens the cross-section by 36%, giving patients extra room during their scan. Reduce claustrophobia rejection rates by 90% while improving general comfort and patient satisfaction.**

 

You can also scan more closely with our innovative lightweight flexible blanket-like AIR Coils which are up to 50% lighter than conventional technology and give you better results.*** Patients also no longer need to be readjusted during their scan as Whole-Body Imaging allows different organs to be scanned simultaneously, helping you work faster and making scans run smoother.

premier-evo-3t-highlight2-st-en
ROI
Extend the lifetime of your MR

SIGNA Premier Evo comes with the latest technology platform which gives you access to future software upgrades and support for years to come. With no magnet wastage, lower helium usage and lower reconstruction costs, the installation of your transformed system are also minimally disruptive to your daily practice.

 

It is also much more cost-effective to upgrade than replace your current system – you can break even 40% faster at a fraction of the price of a replacement, giving you a greater return on your investment.ⱡ

premier-evo-3t-highlight4-st-en
Eco-friendly
Shining a light on sustainability

A SIGNA Premier Evo transformation is a sustainable option. It extends your MR system’s life expectancy and reduces your carbon footprint. Using the same magnet from your current system eliminates wastage, reduces helium consumption, and lowers reconstruction costs. It’s cheaper for you and kinder for the planet.

 

AIR Recon DL technology reduces power consumption per patient scan by up to 50%, which is better for the environment.ⱡⱡ

premier-evo-3t-highlight1-st-en
signa-evo-mri-scanners-PromoDynamicHighlight-ci-en v2
Brochure

Gain a deeper knowledge

Learn more about the SIGNA Premier Evo upgrade and how it advances your legacy 3T MRI scanner

Additional features

Improved gradient performance

Scan faster with a boosted gradient performance of up to 80 mT/m, 200 T/m/s.

Greater functionality

Guaranteed uniformity for every diagnosis with up to 146 RF channels that improve SNR.

New efficiency tools

New efficiency tools include an in-room display and 3 x 32ch Coil ports in-table.

Products

Discover AIR family

AIR, our family of MR products that includes an award-winning coil design, intelligent productivity applications and all-new reconstruction software. It’s time for a simply better MR experience, an experience that embraces the clinical power of MR with a more ubiquitous design. Altogether, AIR delivers clinical versatility and comfort, intelligent productivity improvements and consistently better image quality.ⱡⱡⱡ
air-touch-optimizes-product-tile-en

AIR Touch – for the best MRI coil element combinations

Discover GE HealthCare's AIR Touch which predicts and automatically selects the best MRI coil element combinations for each patient and anatomical area.
air-x-listing-product-tile-en

AIR x – prescribing precision MRI slices

Discover GE HealthCare's AIR x which uses deep-learning algorithms to automatically prescribe MRI slices for neurological and knee exams.
§Based on historical ROI of full system upgrades vs full replacement
*SIGNA Premier Evo is an upgrade configuration of SIGNA Premier.
**Claustrophobia rate comparison head-first/feet-first
***AIR Coils data on file (2018)
ⱡ Based on the discussion and qualitative interviews with various stakeholders at Precision Imaging Center conducted in October 2022.
ⱡ ⱡ Based on AIR Recon DL data on file (2019)
ⱡ ⱡ ⱡ Simply better compared to conventional coil technology

Learn more about SIGNA Premier Evo 3T wide bore MRI scanner

Contact us

We're ready to support you in your moments that matter.

We’re sorry, a problem occurred with the form. Please try again.
Thank you for your inquiry.

We will be in touch soon.

Something went wrong

We will check and get back.

JB30897XX October 2024