• Change country/language

    Looks like you’re in {} — you’re on the {} site.

    Cancel

    Country and language selected

    You are being redirected to the {} site. Products and services availability vary by country. Do you wish to continue?

    Continue
    Cancel
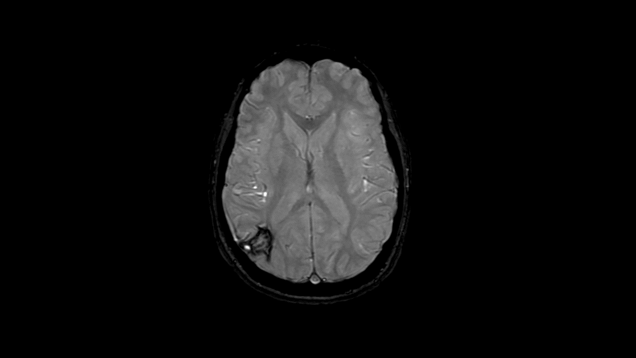
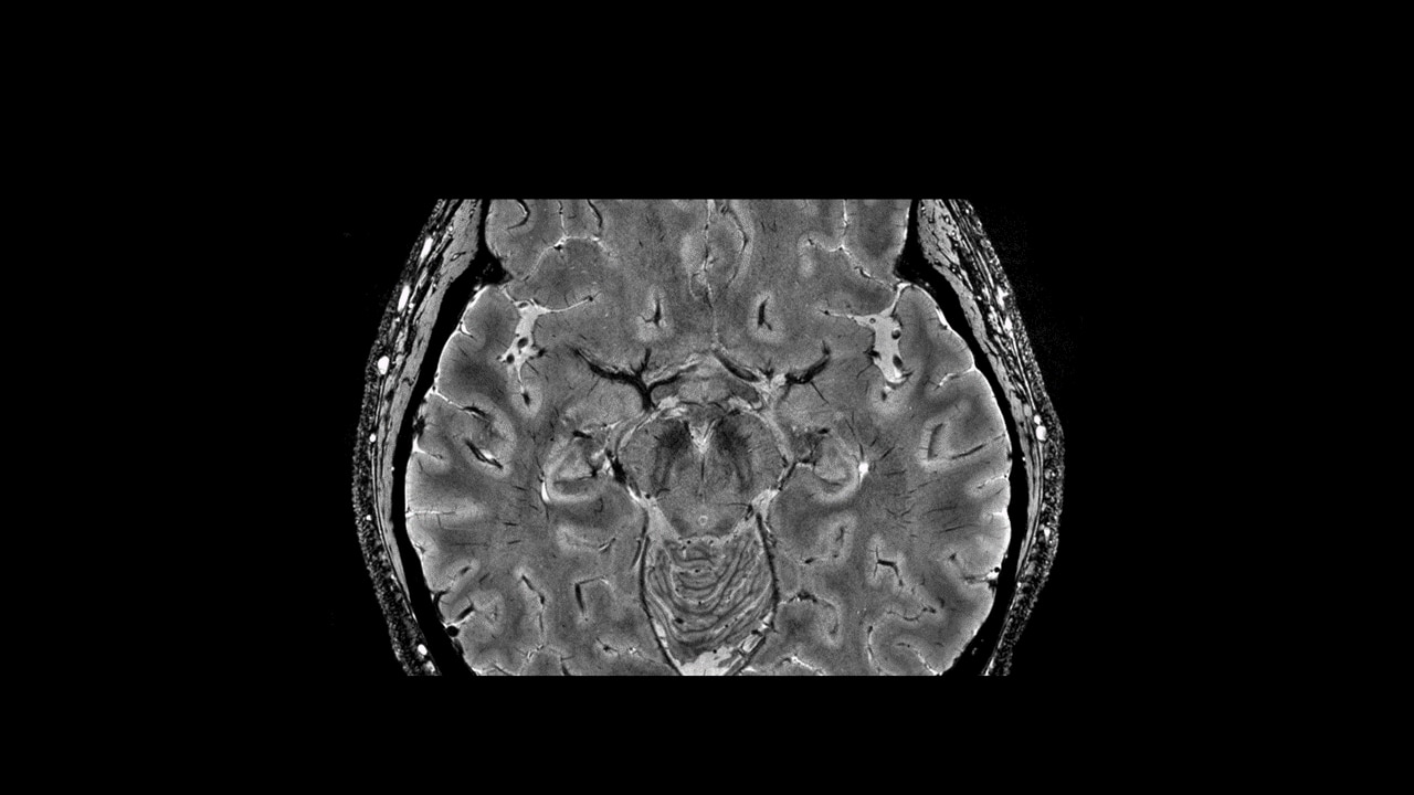
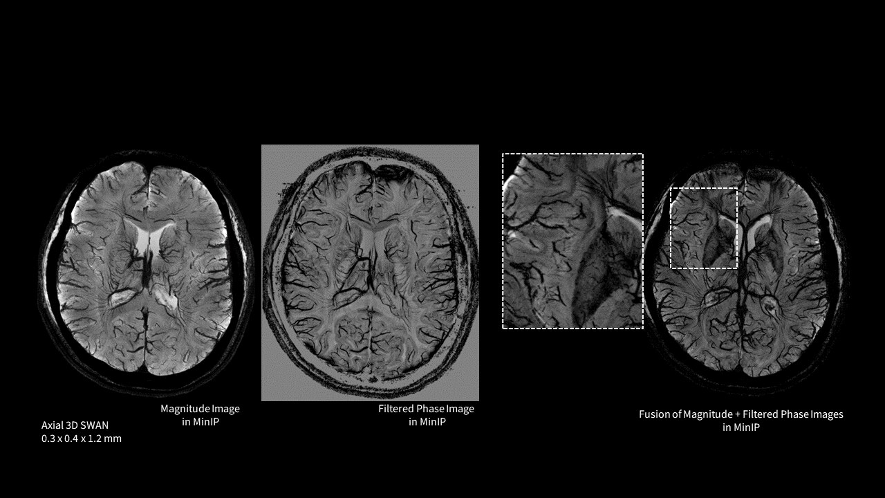
SWAN

Clearly delineate small blood vessels, microbleeds, and large vascular structures in the brain.

At a glance

Enables easier diagnosis

Phase and magnitude images to visualize iron and calcium deposits

Fast

Whole brain acquisition with 3D, sub-millimeter resolution takes ~4 minutes

High resolution 3D datasets

Multi-TE readout technique generates more than double signal-to-noise ratio

Rapid reconstruction

Image reconstruction is virtually instantaneous

SWAN

SWAN helps delineate small blood vessels, microbleeds, and large vascular structures in the brain. It applies a multi-TE readout technique that generates more than double SNR and is inherently less affected by the chemical shift compared to conventional SWI techniques. Whole brain acquisition with 3D, sub-millimeter resolution takes ~4 minutes—image reconstruction is virtually instantaneous.
JB35557XX

Have a question about SWAN? We would love to hear from you.

Contact us

We're ready to support you in your moments that matter.

We’re sorry, a problem occurred with the form. Please try again.
Thank you for your inquiry.

We will be in touch soon.

Something went wrong

We will check and get back.