• Change country/language

    Looks like you’re in {} — you’re on the {} site.

    Cancel

    Country and language selected

    You are being redirected to the {} site. Products and services availability vary by country. Do you wish to continue?

    Continue
    Cancel

Propeller

Motion insensitive image acquisition for challenging anatomies.

propeller-hero-640-ba-en

At a glance

Motion correction

Reduces the effect of patient voluntary and physiologic motion

Diagnostic-quality images

Consistent images for challenging patients and difficult-to-image anatomies

Scan time

Same as conventional techniques, and allows free-breathing acquisition

Generate consistently good, diagnostic-quality images even for challenging patients and difficult-to-image anatomies.

PROPELLER uses a radial k-space filling pattern that is inherently less sensitive to motion such as CSF and blood flow, breathing, patient tremor, or voluntary movements. The oversampling of the k-space center yields increased signal-to-noise ratio (SNR) and high tissue contrast. Scan time is the same as conventional techniques, and PROPELLER allows free-breathing acquisition.

 

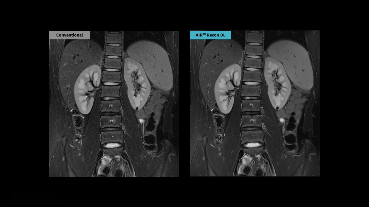
PROPELLER is compatible with AIR™ Recon DL, GE HealthCare's a pioneering deep-learning-based reconstruction algorithm that enables radiologists to achieve pin-sharp images quicker.

Disclaimer
  1. SIGNA 7.0T is FDA cleared in the USA. Not CE Marked. Not available for sale in all regions.
Get in touch

Have a question? We would love to hear from you.

Contact us

We're ready to support you in your moments that matter.

We’re sorry, a problem occurred with the form. Please try again.
Thank you for your inquiry.

We will be in touch soon.

Something went wrong

We will check and get back.