• Change country/language

    Looks like you’re in {} — you’re on the {} site.

    Cancel

    Country and language selected

    You are being redirected to the {} site. Products and services availability vary by country. Do you wish to continue?

    Continue
    Cancel
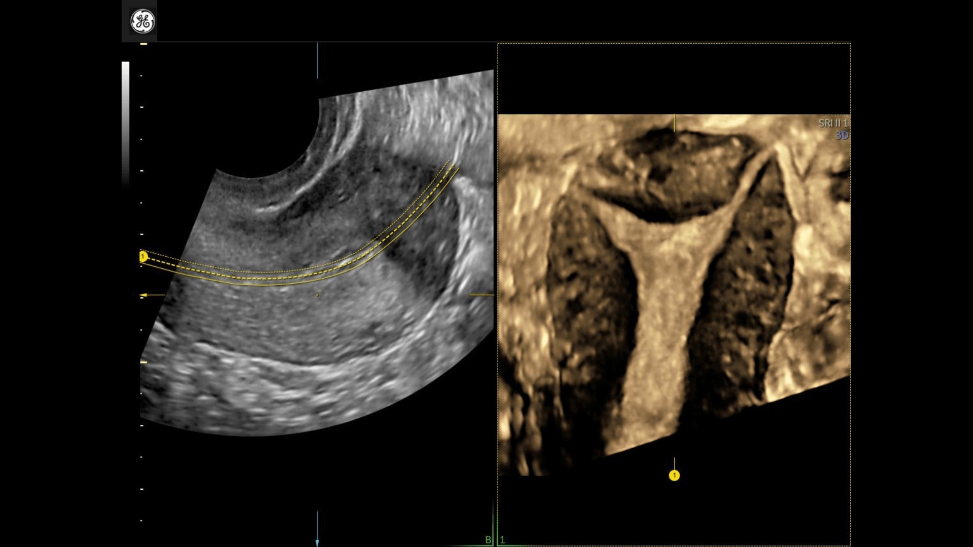
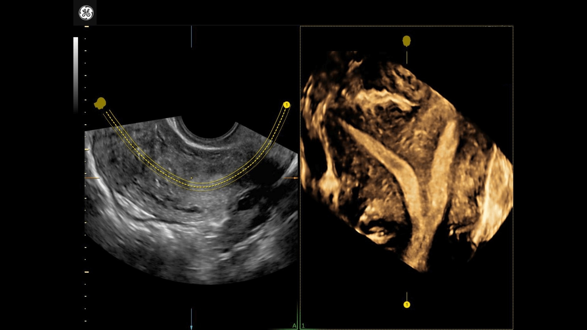
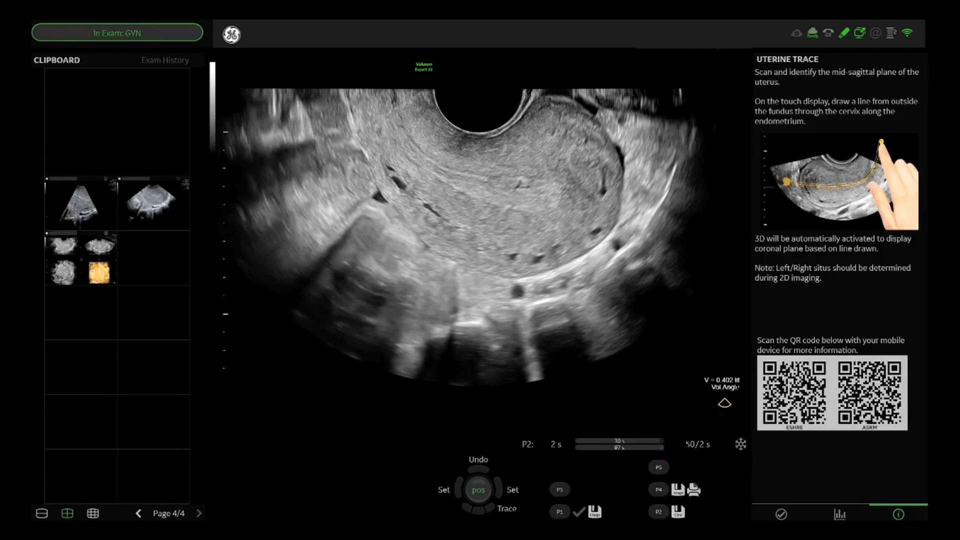
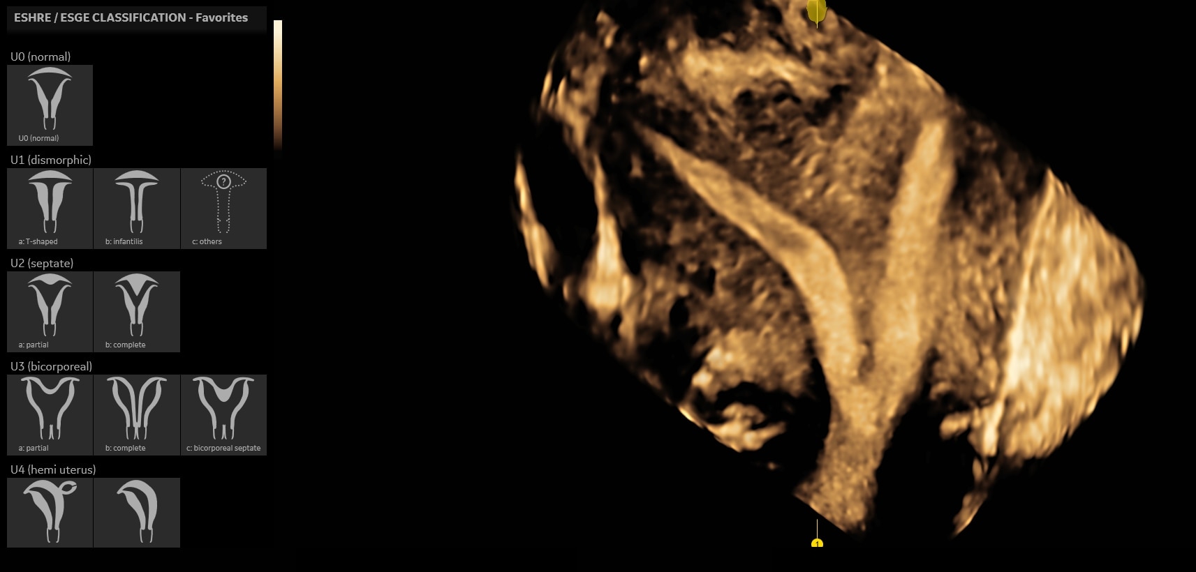
Uterine Trace

Easy display coronal view of uterus.

By: GE HealthCare - Voluson™
FDA & CE approved

Increase Diagnostic Confidence. Improve Workflow Efficiency

  • Uterine Trace acquires the volume & then displays the coronal view of the uterus to simplify identification & reporting of uterine malformations.
  • Easy, accessible 3D for simple, efficient gynecology exams
  • Adding 3D can provide more information to help inform your diagnosis and treatment plan. With a comprehensive set of 3D tools, you’ll have everything you need to easily obtain views not possible with standard 2D views.
  • Uterine Trace acquires the volume and then displays the coronal view of the uterus linking to ASRM, ESHRE and ESGE Uterine Classification guidelines to simplify identification and reporting of uterine malformations

Details

Compatible Systems

Compatible Systems

Installation

Installation

Support

Support

Privacy & Security Policy

Privacy & Security Policy

Contact us

We’re ready to support you in your moments that matter.

We’re sorry, a problem occurred with the form. Please try again.
Thank you!

We received your request for assistance.

A GE Healthcare specialist will be reaching out shortly.

Something went wrong

We will check and get back.

JB08585XE July 2025