• Change country/language

    Looks like you’re in {} — you’re on the {} site.

    Cancel

    Country and language selected

    You are being redirected to the {} site. Products and services availability vary by country. Do you wish to continue?

    Continue
    Cancel
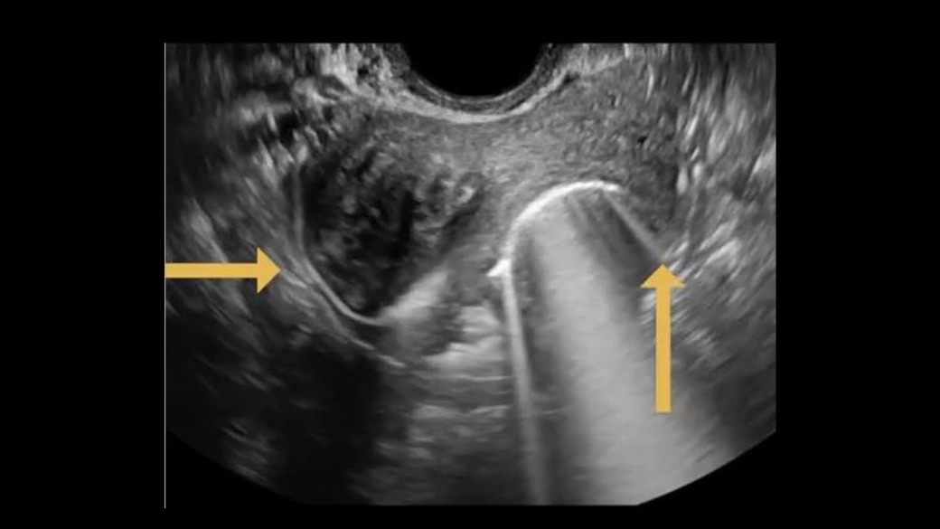
ExEm® foam

Localize fallopian tubes and visualize tube abnormalities with HyFoSy using ExEm® Foam

By: ExEm® Foam • FDA & CE approved

Helps to localize fallopian tubes and visualize tube abnormalities

ExEm® Foam is an FDA-approved ultrasound contrast agent that allows for convenient in-office ultrasound tubal patency testing for woman with known or suspected infertility.

Studies suggest that the accuracy of ExEm® Foam used with 2D/3D-HDF-HyFoSy does not significantly differ from the gold standard laparoscopy with dye procedure.

The HyFoSy procedure using ExEm® Foam is less painful than X-ray HSG3 and offers real-time results.

     

Making the uncomfortable, more comfortable.

The HyFoSy procedure using ExEm® Foam allows to inspect the fallopian tubes and its relation to other pelvic organs/structures. It also provides extra details for the assessment of the patient's sub-fertile situation. It is performed by a qualified sonographer and is technically an ultrasound examination that quickly helps to localize fallopian tubes and visualize tube abnormalities.
exemfoam-thumbnail-ci-en

Details

Compatible Systems

Compatible Systems

Installation

Installation

Support

Support

Privacy & Security Policy

Privacy & Security Policy

Contact us

We're ready to support you in your moments that matter.

We’re sorry, a problem occurred with the form. Please try again.
Thank you for your inquiry.

We will be in touch soon.

Something went wrong

We will check and get back.

Solutions that fit your specialty

Obstetrics

Speed up diagnostics, minimize manual work, and manage your most demanding workflows with innovations that inspire confidence in obstetric care.

 

Gynecology

From routine exams to complex cases, discover the latest clinical solutions delivering ease, clarity, and the timely answers she’s counting on.

 

Reproductive Medicine

Discover progressive solutions that transforms fertility assessments and follicle monitoring—powering more progress and possibility in reproductive medicine.

 

Support Excellence

Supercharge your ultrasound system with dedicated support offerings—from innovations and digital solutions to education and training—tailored to your clinical specialty.

 

Disclaimer

The products and services displayed on our platform are provided by independent third parties. GE HealthCare does not own, operate, or control products displayed on the Voluson™ Solution Store and is not responsible for their content, accuracy, performance, or compliance with applicable laws. GE HealthCare does not assume responsibility for product information or customer insights related to product. The inclusion of third-party products or services on our platform is for informational purposes only. It does not constitute an endorsement, guarantee, or warranty of any kind-express or implied-by GE HealthCare. GE HealthCare processes personal data in accordance with applicable data protection laws. By requesting product details, you consent to GE HealthCare collecting and sharing your personal information (such as name, email, company, and job title) with that third party to fulfil your request.

Contact Us

We’re ready to support you in your moments that matter.

Thank you for registering

Please check your inbox to confirm your registration. We will send you 
a link to the event 24 hours before the event is due to begin.

Something went wrong

We will check and get back.