• Change country/language

    Looks like you’re in {} — you’re on the {} site.

    Cancel

    Country and language selected

    You are being redirected to the {} site. Products and services availability vary by country. Do you wish to continue?

    Continue
    Cancel
Intraoperative ultrasound for general surgery

Discover the benefits of intraoperative ultrasound (iUS) in general surgery. iUS enhances precision with real-time imaging, supports critical decision-making, and aids in organ-sparing procedures. Learn about its applications in tumor resection, ablation, and cholecystectomy, helping surgeons visualize complex anatomy, guide needle placements, and reduce radiation exposure for safer surgeries.

Transforming surgical decisions
49%

intraoperative ultrasound during hepatic resections. ¹,²,³,⁴

30%

of pancreatic resections can have surgical decision-making influenced by the use of intraoperative ultrasound.⁵

Active imaging solutions to elevate your procedures

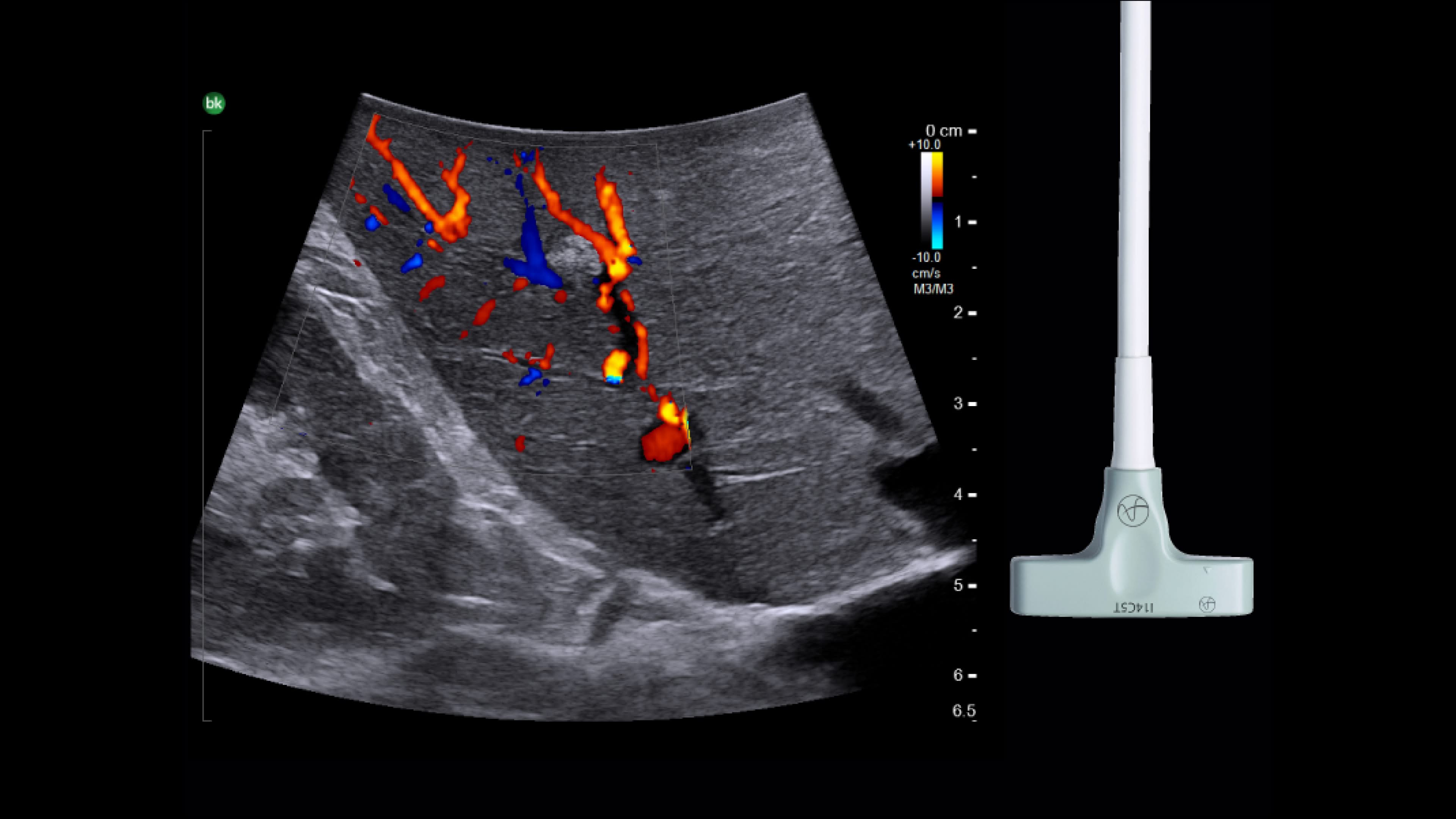
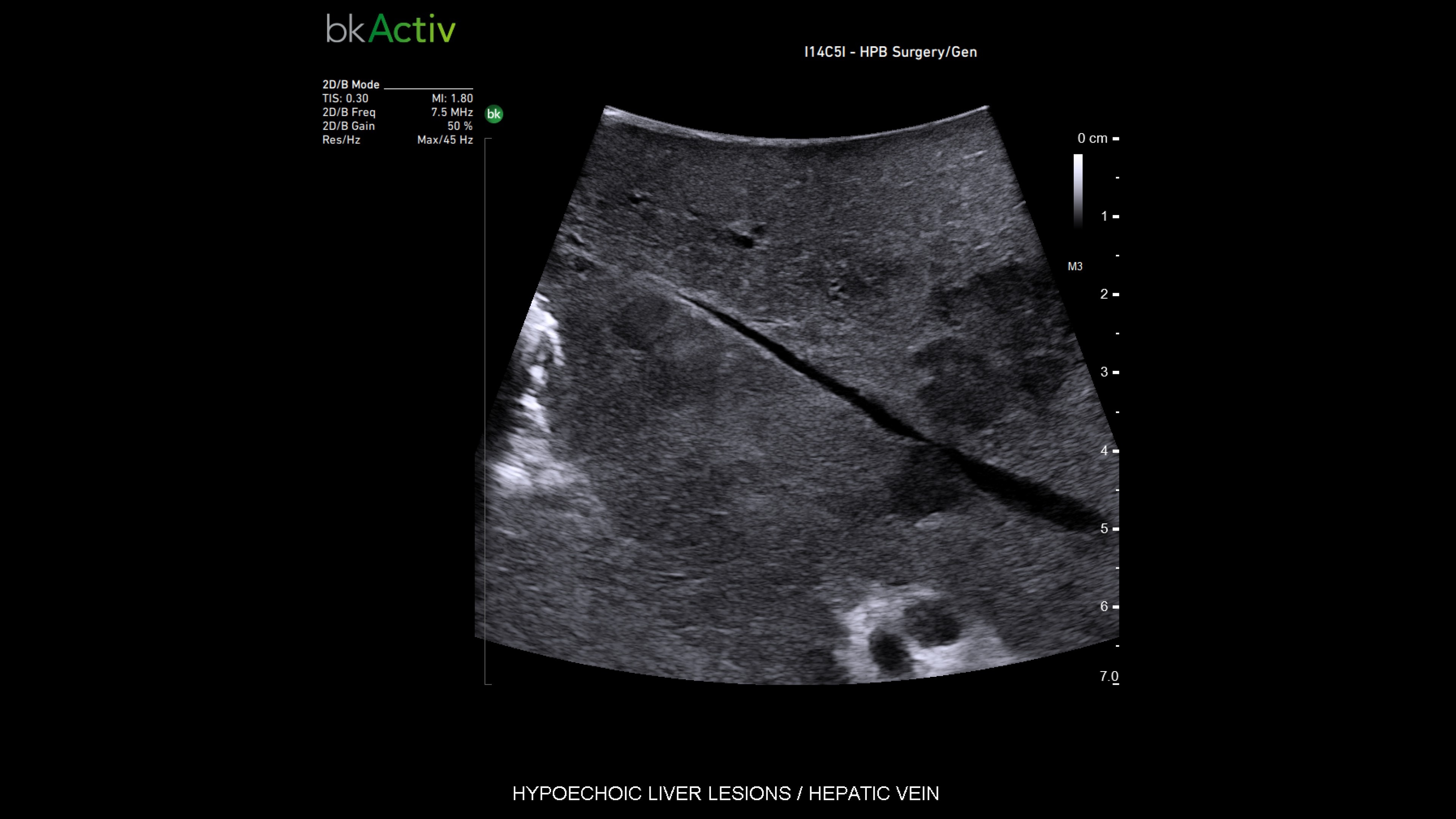
Resection ultrasound

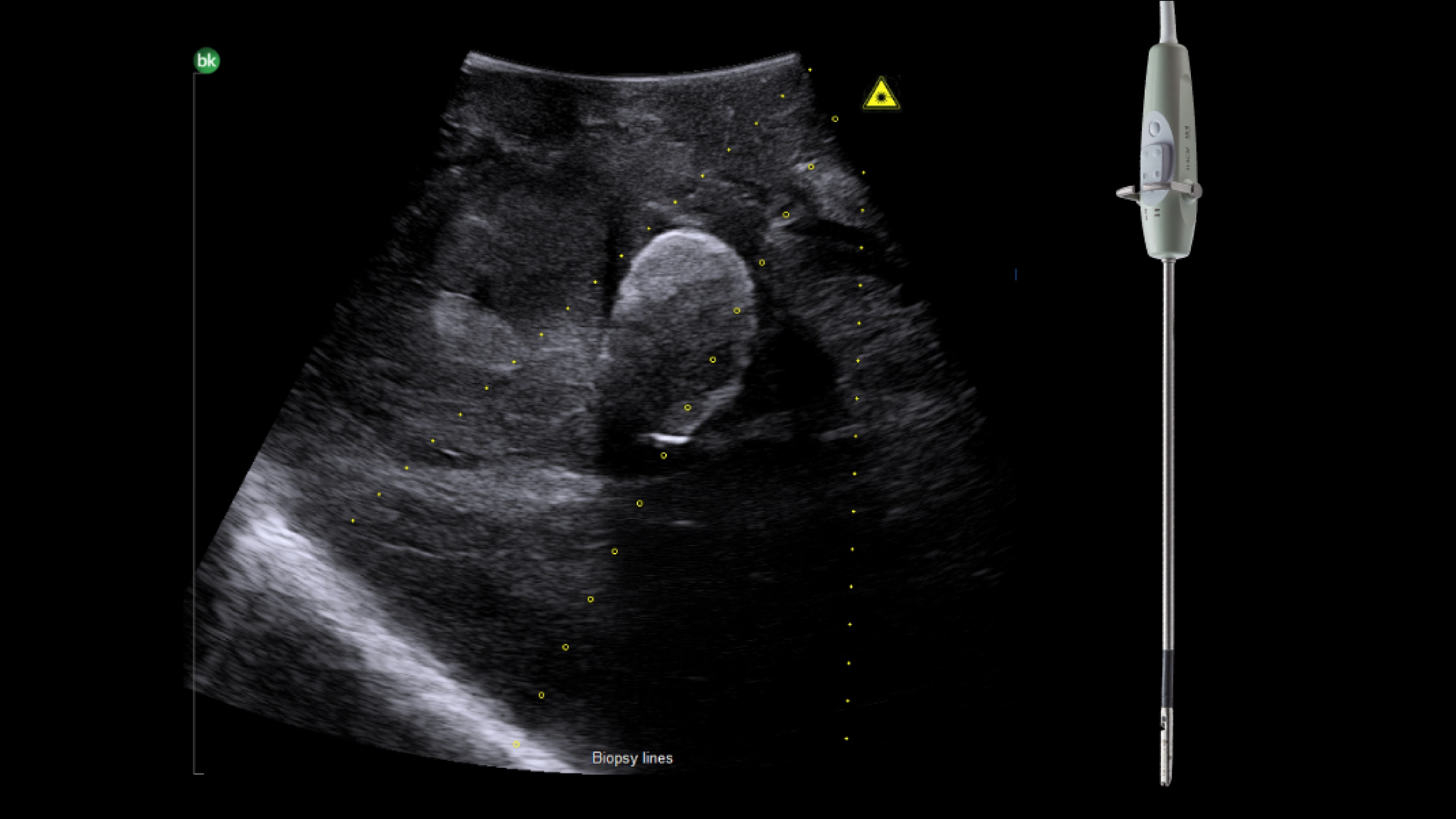
Active imaging supports liver and pancreas tumor resection procedures by helping you visualize complex anatomical variations and relationships to vascular structures, identify tumor location, define adequate margins of resection, and assess surgical planning.
card1-half-width-resection-ultrasound
card1-half-width-resection-ultrasound

Active imaging with intraoperative ultrasound supports critical decision-making in open or minimally invasive tumor resections.

  • Visualize complex anatomical variations.
  • Identify tumor location, proximity, and invasion of vasculature.
  • Define adequate margins of resection.
  • Understand relationship to vascular structures.
  • Assess surgical planning and check for vessel patency at the end of the procedure.

Use of ultrasound during complex redo open liver resection.

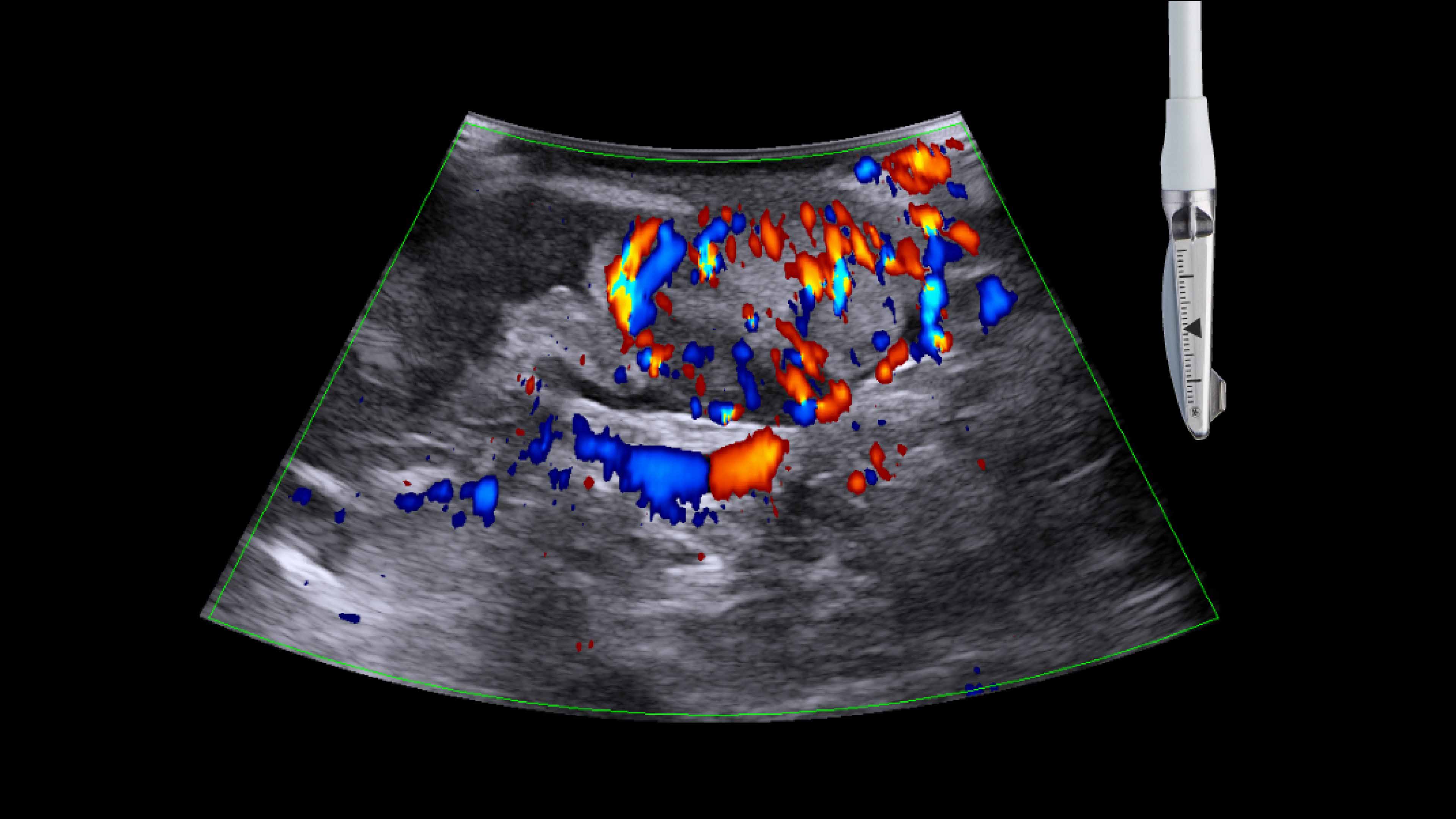
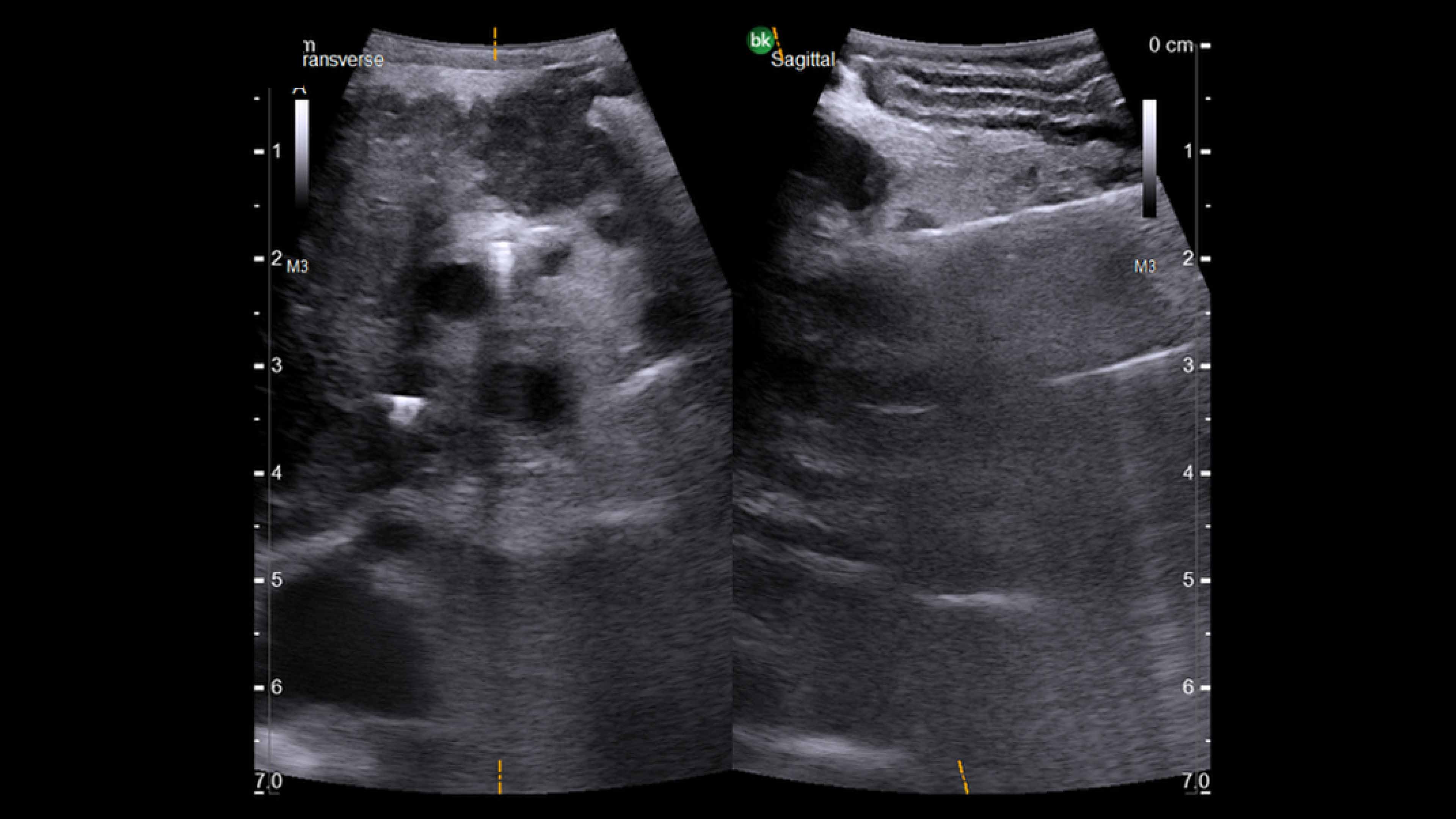
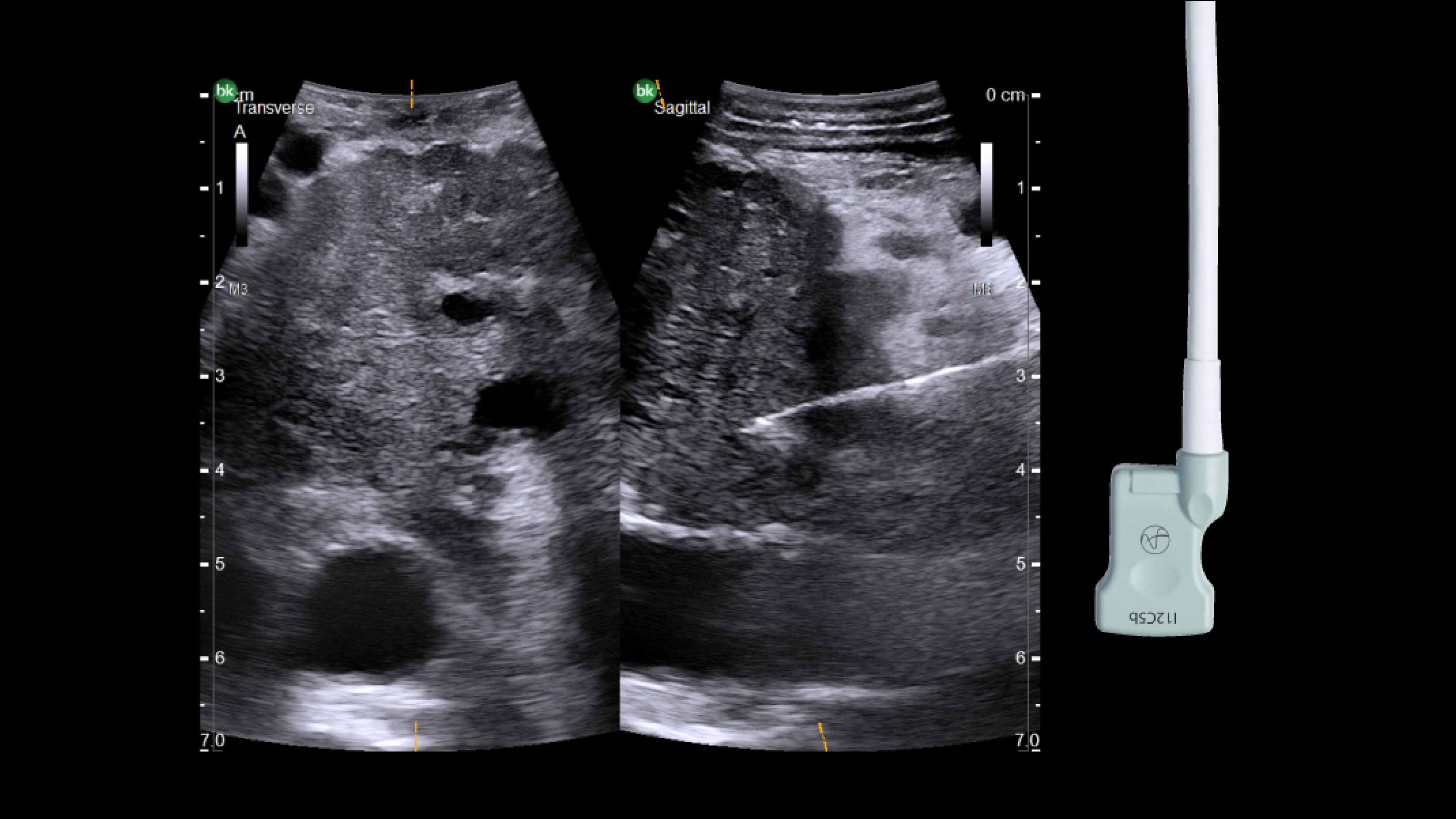
Ablation imaging

Active imaging supports liver and pancreas ablation procedures by helping you visualize lesions and blood vessels, identify healthy tissue vs. tumor, and guide and view needle placements.
card2-half-width-ablation-imaging
card2-half-width-ablation-imaging

Use intraoperative ultrasound to:

  • Enable visualization of disease staging at the time of surgery with excellent image quality.
  • Guide and view needle placements in real-time.
  • Verify your planned results by assessing pre- and post-ablation images together.

Advanced Laparoscopic Transducer I13C3f*

  • Plan and target tumor biopsies and ablations with patented laser technology.
  • Achieve preferred insertion angle on up to two needles with proprietary channel design.

*I13C3f has not been licensed by Health Canada.
Learn more about advanced laparoscopic transducer.

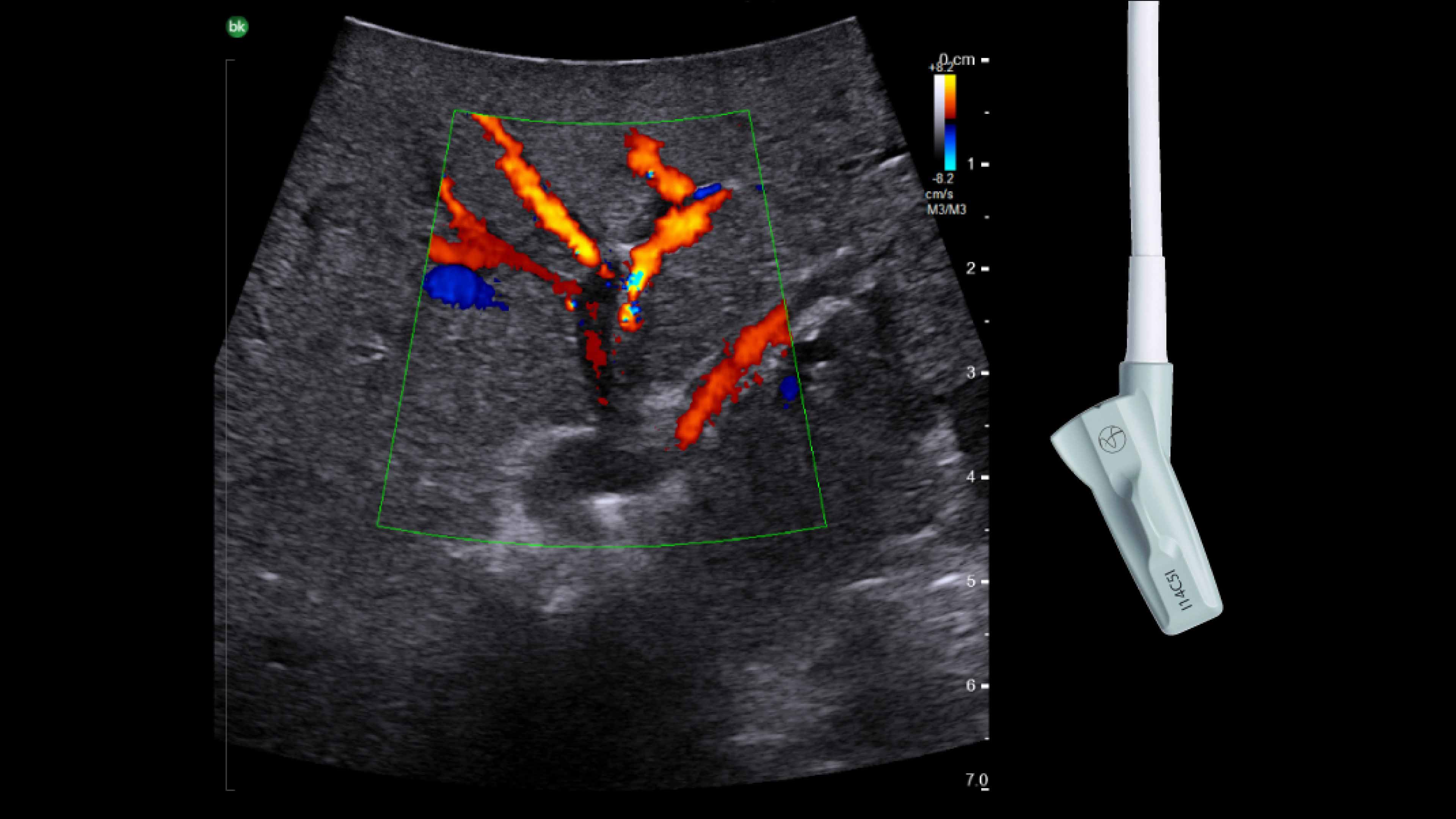
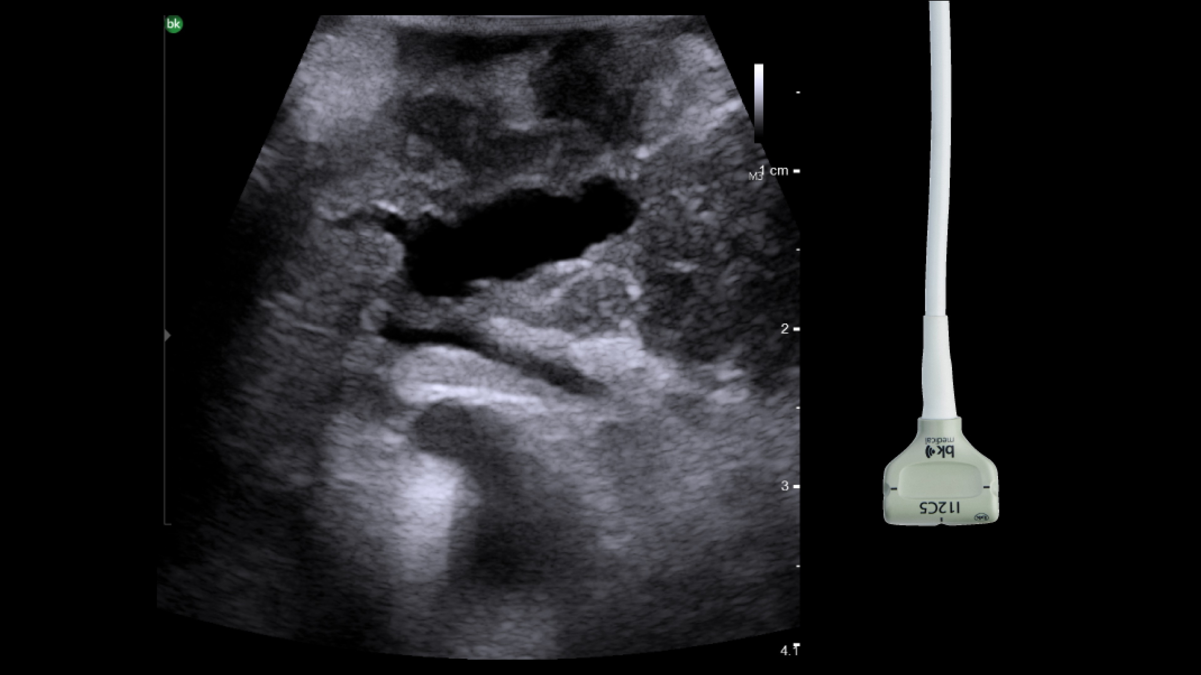
Cholecystectomy ultrasound

Active imaging with real-time intraoperative ultrasound supports fast imaging of the biliary system and is non-radiating, helping you reduce radiation hazards to your patients and staff.
card3-half-width-cholecystectomy-ultrasound
card3-half-width-cholecystectomy-ultrasound

Imaging to guide cholecystectomies

Discover the clinical benefits of active imaging with intraoperative ultrasound for laparoscopic cholecystectomy procedures. Using bkActiv and the Advanced Laparoscopic Transducer, surgeons can visualize anatomy and monitor progress as many times as needed during the procedure.
Watch this video to see how it works

The value of iUS in cholecystectomies

iUS is beneficial for cholecystectomies due to its safety, quick and repeatable imaging capabilities and ability to detect choledocholithiasis and enable visualization of biliary tract anatomy.

  • iUS has minimal safety risks as it is non-irradiating and does not required cannulation. ¹⁻³
  • iUS can be used dynamically throughout dissection adding minimal time to a cholecystectomy procedure. iUS can also repeated, helping to assess common bile duct integrity at the end of the procedure.¹⁻⁵
  • iUS helps differentiate between sludge, stone, polyps, cysts, and tumors when determining if there is a presence of gallstones in the common bile duct.⁵,⁶
  • iUS uses color flow doppler to help differentiate between vessels and ducts and is overall effective at imaging difficult cases such as inflammation or fibrosis .¹,⁴⁻⁶
  • Read case study: Safe, real-time visualization in a cholecystectomy case with intraoperative ultrasound.
  1. Machi, J. (2009). The routine use of laparoscopic ultrasound decreases bile duct injury: a multicenter study. Surgical Endoscopy Journal, 23, 384-388.
  2. Jamal, KN. (2016). Meta-analysis of the diagnostic accuracy of laparoscopic ultrasonography and intraoperative cholangiography in detection of common bile duct stones. Royal college of surgeons, 98, 244-249.
  3. Recommendation for cholecystectomy protocol based on intraoperative ultrasound – a single-centre retrospective case-control study (nih.gov).
  4. Dili, A. (2017). Laparoscopic ultrasonography as an alternative to intraoperative cholangiography during laparoscopic cholecystectomy. World Journal of Gastroenterology, 23, 5438-5450.
  5. Intra-operative and laparoscopic ultrasound - Surgical Treatment - NCBI Bookshelf (nih.gov).
  6. Intraoperative Sonography of the Biliary System : American Journal of Roentgenology : Vol. 177, No. 2 (AJR) (ajronline.org).

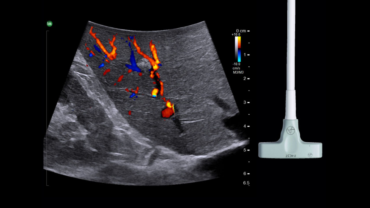
Minimally invasive surgery ultrasound

A complete portfolio of solutions for open, minimally invasive, or combined procedures. Fully sterilizable, specialized transducers designed for biopsies, tumor resections, needle placements, and ablations.
card4-half-width-minimally-invasive-surgery-ultrasound
card4-half-width-minimally-invasive-surgery-ultrasound

Active imaging with intraoperative ultrasound supports critical decision-making in open or minimally invasive tumor resections.

  • Enable visualization of disease staging at the time of surgery with excellent image quality.
  • Visualize complex anatomical variations and identify tumor location.
  • Define adequate margins of resection.
  • Guide and view needle placements.
  • Assess surgical planning and check for vessel patency at the end of the procedure.

Read case study: Use of ultrasound during two stage laparoscopic liver resection.

Enhancing general surgery with advanced techniques

Discover the impact of specialized surgeries in general surgery, focusing on colorectal and robotics-assisted procedures. These advanced techniques, supported by intraoperative ultrasound, enhance precision, reduce recovery times, and improve patient outcomes.

 

Colorectal surgery imaging

Advanced ultrasound imaging provides critical details for planning treatments and confirming results in colorectal surgery. With cutting-edge 3D architecture, visualize anorectal anatomy, rectal cancer, anal sphincter injuries, fistulas, abscesses, rectal polyps, and masses with exceptional clarity.

 

colorectal-surgery-imaging-desktop

Robotics-assisted surgery

Robotics-assisted surgery with real-time intraoperative ultrasound allows surgeons to precisely locate and visualize anatomical abnormalities. Assess benign and malignant lesions, key arteries, veins, and other structures with high-resolution active imaging for enhanced surgical outcomes.

robotics-assisted-surgery-desktop
Products

Surgical ultrasound systems for 
general surgery

bkactiv-ultrasound-system-product-tile-en

bkActiv Ultrasound System for General Surgery & Spine Procedures

Discover the bkActiv ultrasound system for enhanced visualization and precision in general surgery, neurosurgery, urology, colorectal, and pelvic floor procedures.
img-2-product-bk5000

bk5000 ultrasound system

Experience the bk5000 built with remarkable image clarity and advanced features for intraoperative, robotic, and neurosurgery, enhancing surgical precision.
specialty-transducers-promo-dynamic-desktop

Comprehensive range of 
sterilizable, specialty transducers

Advanced transducer technology and a comprehensive selection 
of styles and sizes offer superb access across a wide range of
 body types.

 

References

    1. D’Hondt M, Vandenbroucke-Menu F, Préville-Ratelle S, et al. Is intra-operative ultrasound still useful for the detection of a hepatic tumour in the era of modern pre-operative imaging? HPB. 2011;13(9):665-669. doi:10.1111/j.1477-2574.2011.00349.x
    2. Langella S, Russolillo N, Perotti S, Ostuni E, Forchino F, Ferrero A. Intraoperative ultrasound staging for colorectal liver metastases in the era of liver-specific magnetic resonance imaging: is it still worthwhile? HPB. 2019;21. doi:10.1016/j.hpb.2019.10.1261
    3. https://www.ncbi.nlm.nih.gov/books/NBK6975/
    4. https://www.sages.org/publications/guidelines/guidelines-for-the-use-of-laparoscopic-ultrasound/
    5. Kolesnik O, Lukashenko A, Shudrak A, Golovko T, Lavryk G, Huralevych J. Intraoperative ultrasonography in pancreatic surgery: Staging and resection guidance. Experimental Oncology. 2015;37(4):285-291. doi:10.31768/2312-8852.2015.37(4):285-291
    Get in touch

    Have a question? We would love to hear from you.

    Contact us

    We’re sorry, a problem occurred with the form. Please try again.
    Thank you for registering

    Please check your inbox to confirm your registration. We will send you 
a link to the event 24 hours before the event is due to begin.

    Something went wrong

    We will check and get back.

    JB00785XA October 2025