Don't have an account?
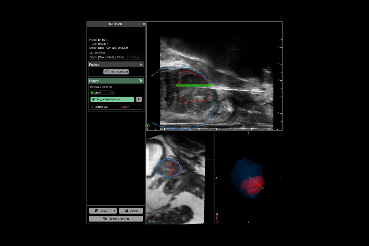
Fully integrated, real-time imaging
Achieve high spatial resolution for accurate prostate biopsies.
Fast biopsy workflow
Streamlined process ensures quick and efficient biopsy procedures.
Flexible biopsy options
Supports both transperineal and transrectal biopsy approaches.
Predictive Fusion® tech
Advanced software enhances biopsy accuracy and reliability.