Don't have an account?
Expansive
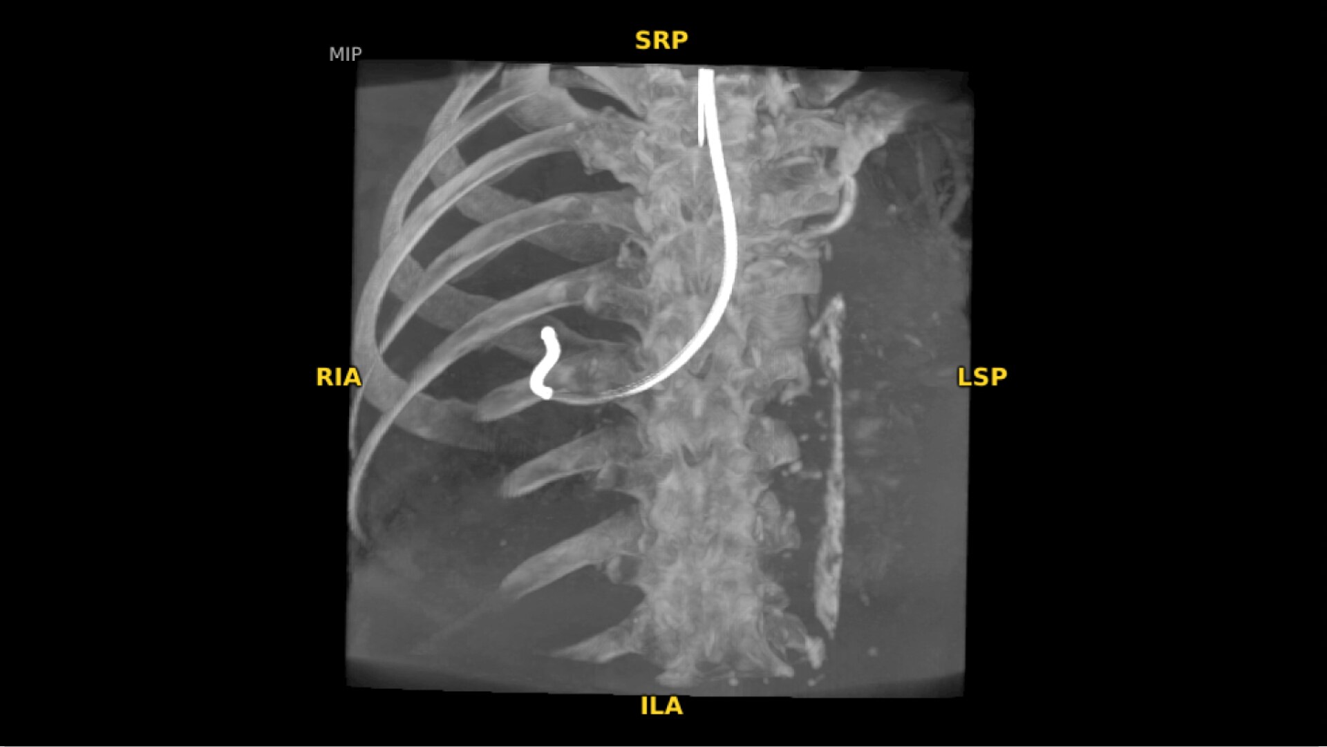
19 cm3 CT-like images presented intraoperatively in minutes
Precise
Volume Viewer presents five 3D perspectives and advanced analysis tools
Efficient
Memory positions for quick position recall and light weight to move around room
Versatile
A 3D C-arm for every day: from spinal fusion or orthopedic fractures to angiogram and stent placement