• Change country/language

    Looks like you’re in {} — you’re on the {} site.

    Cancel

    Country and language selected

    You are being redirected to the {} site. Products and services availability vary by country. Do you wish to continue?

    Continue
    Cancel
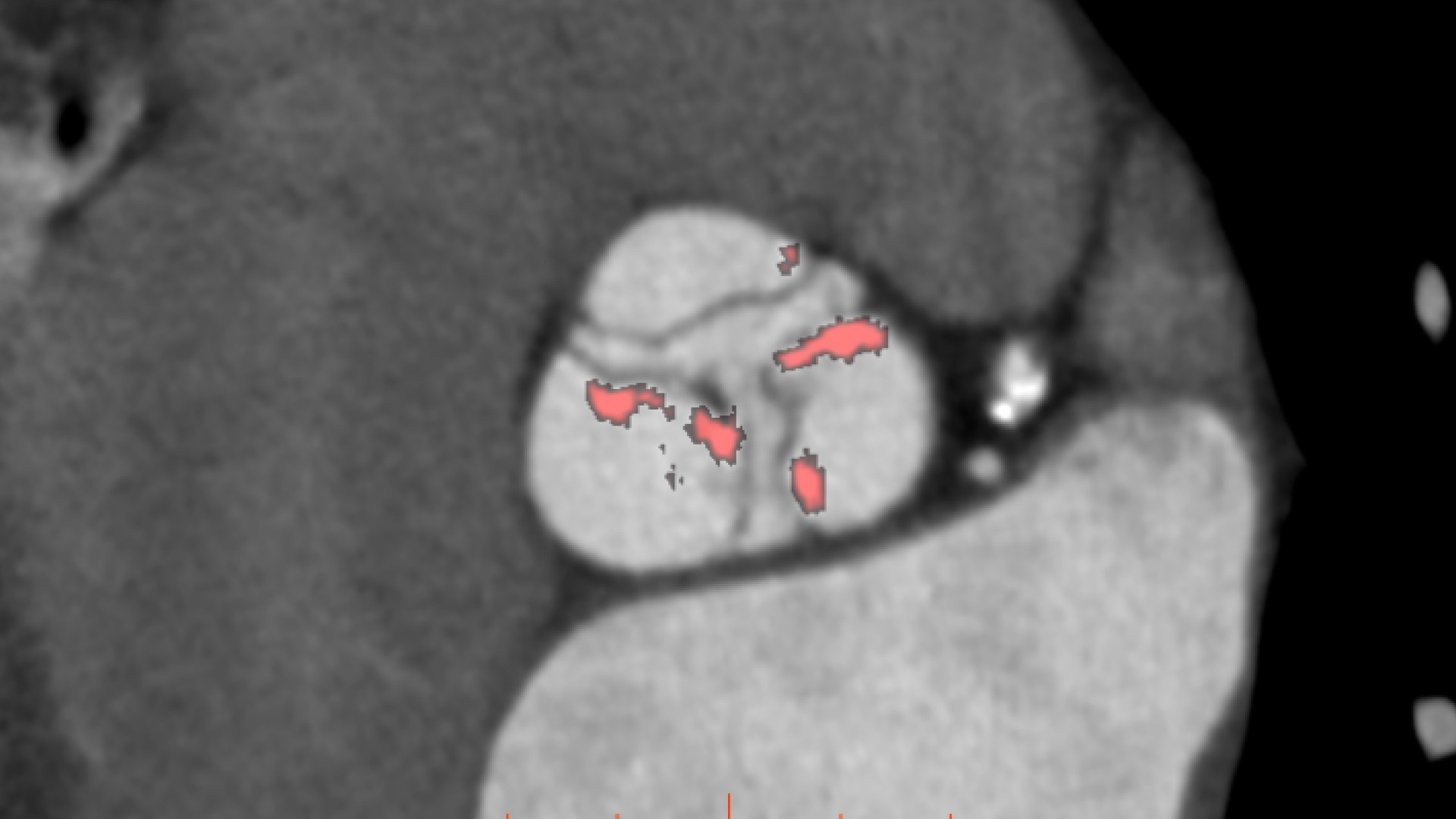
TAVI Analysis

Automation & guided workflow for efficient TAVI planning

At a glance

Efficiency

Faster annulus plane detection and aortic annulus measurements*

Consistency

Summary table and automated report for consistent and efficient communication

Workflow

Automation & guided workflow for efficient TAVI planning

Features
Assess aortic root and plan peripheral access within a single application
  • Automated aortic segmentation and preliminary orientation to aortic annular plane
  • 3-point deposit mode for precise refinement of annular plane
  • >Faster valve plane detection over a manual method
  • Perpendicular view & S-curve graph demonstrates working C-Arm angles for valve deployment
  • Automatic estimate of aortic valve calcium volume measurement
  • Automatic centerline tracking for peripheral access planning
  • Summary table and automated report for consistent and efficient communication to clinical care team
tavi-assess-aortic-tile-en
References

Annoni AD, Mancini ME, Carlicchi E, Belmonte M, Formenti A, Mushtaq S, Marchetti F, Cilia F, Baggiano A, Fusini L, Bonomi A, Gennari M, Montorsi P, Pepi M, Pontone G.

 

Pre-TAVI aortic annulus sizing: comparison between manual and semi-automated new generation software measurements in operators with different experience.

 

Br J Radiol. 2023 Sep;96(1149):20220733. doi: 10.1259/bjr.20220733. Epub 2023 Jul 26. PMID: 37449675; PMCID: PMC10461289.

FOOTNOTES

*Over the manual approach (data on file)

 

JB28527XX March 2024
Get in touch

Have a question? We would love to hear from you.

Contact us

We're ready to support you in your moments that matter.

We’re sorry, a problem occurred with the form. Please try again.
Thank you for your inquiry.

We will be in touch soon.

Something went wrong

We will check and get back.