• Change country/language

    Looks like you’re in {} — you’re on the {} site.

    Cancel

    Country and language selected

    You are being redirected to the {} site. Products and services availability vary by country. Do you wish to continue?

    Continue
    Cancel
DentaScan

Real-time Oblique and Panorex reformations specific to CT dental imaging.

At a glance

Panorex and oblique views

You can adjust or redraw curves used to generate views during the procedure

 

Cross-referenced views

Axial, panorex and oblique views remain cross referenced
on the screen

 

Filming

Film composition is automatic. Automatically annotates studies to assist in film interpretation

Features

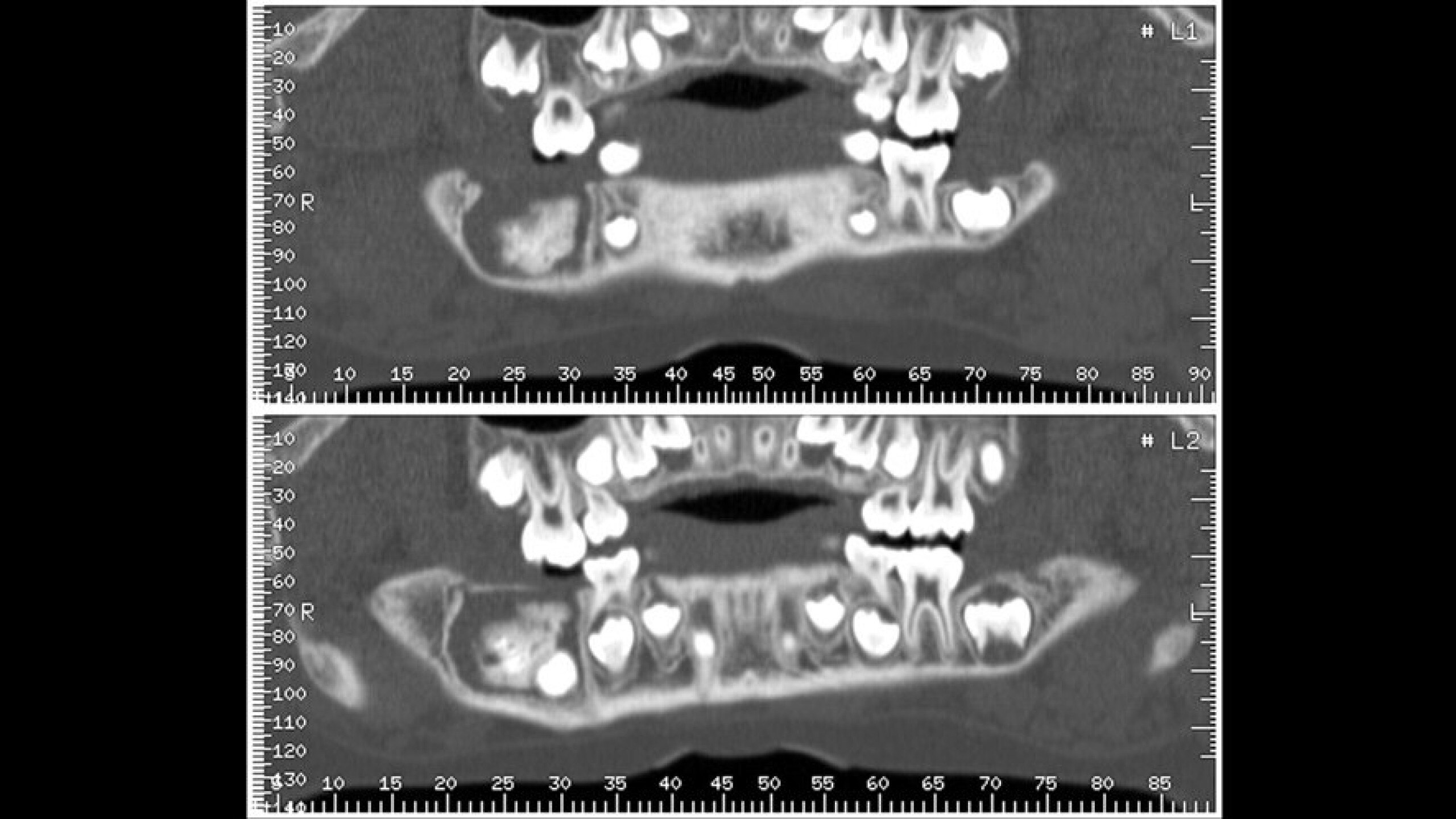
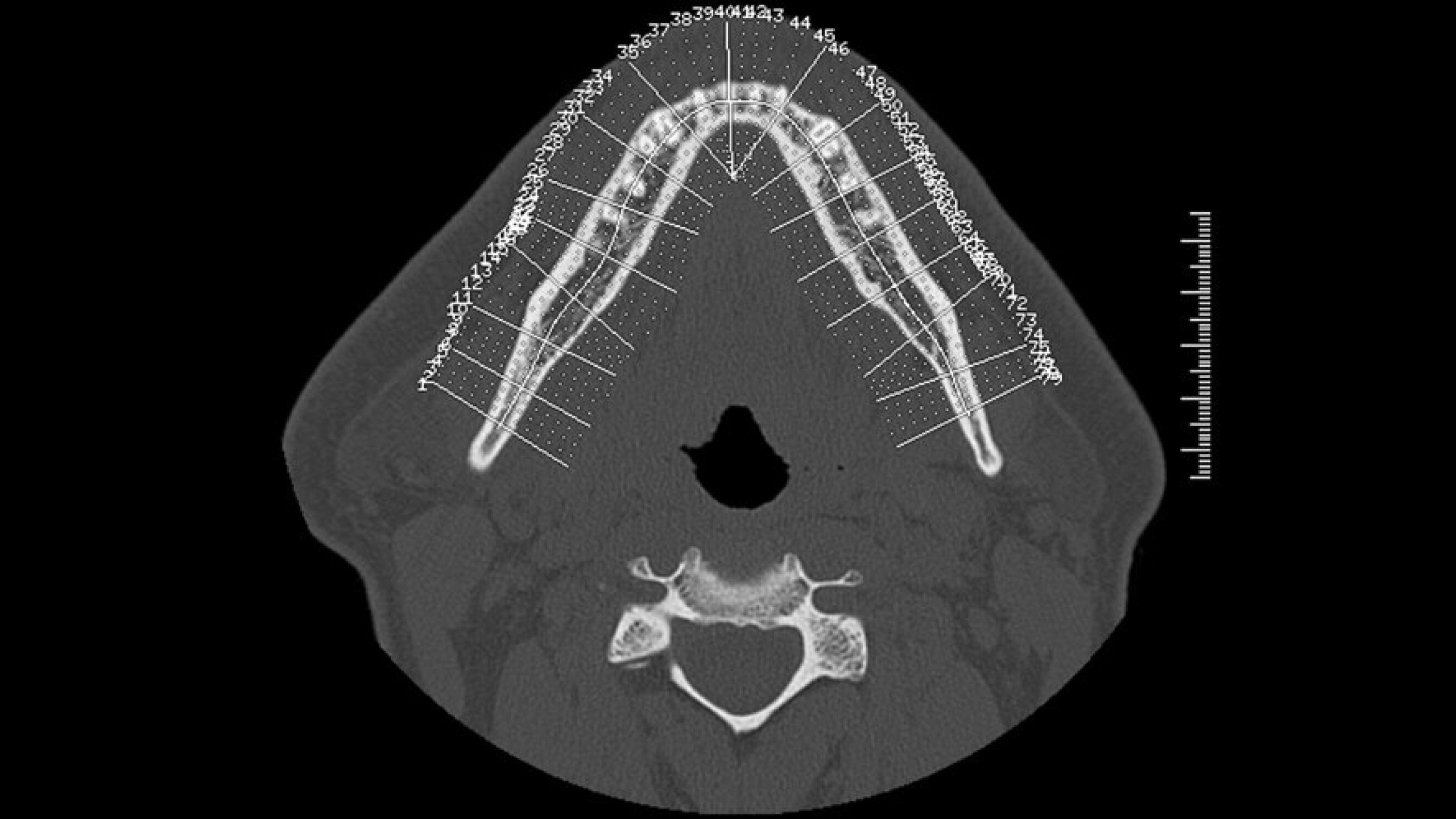
  • The curve used to generate panorex and oblique views is drawn on selected axial views. It can be adjusted or redrawn easily at any time during Dentascan procedures.
  • Axial panorex and oblique views remain cross referenced on the screen. Oblique views are generated in real time when the cursor is moved on axial or panorex views. A similar feature exists when the cursor is moved on a panorex or oblique view.
  • Gantry tilt is supported for greater flexibility in difficult cases.
  • Filming is automatic at selection of the film key. Parameters can be adjusted through the film menu.
  • A mm-scale is printed on the side of oblique and panorex views for direct measurement from film. The entire study is annotated to assist in film interpretation.
dentascan-features-hero-ci-en
Get in touch

Have a question? We would love to hear from you.

Contact us

We're ready to support you in your moments that matter.

We’re sorry, a problem occurred with the form. Please try again.
Thank you for your inquiry.

We will be in touch soon.

Something went wrong

We will check and get back.

JB29013XX May 2024