• Change country/language

    Looks like you’re in {} — you’re on the {} site.

    Cancel

    Country and language selected

    You are being redirected to the {} site. Products and services availability vary by country. Do you wish to continue?

    Continue
    Cancel
Valve  ASSIST 2

Simplifying complex structural heart procedures.

At a glance

Plan

Determine implantable device dimensions and select access route easily.

Guide

3D fusion and augmented imaging to guide each procedural step.

Assess

Confirm device location and identify potential regurgitation.

Features
Valve ASSIST 2 for structural heart procedures
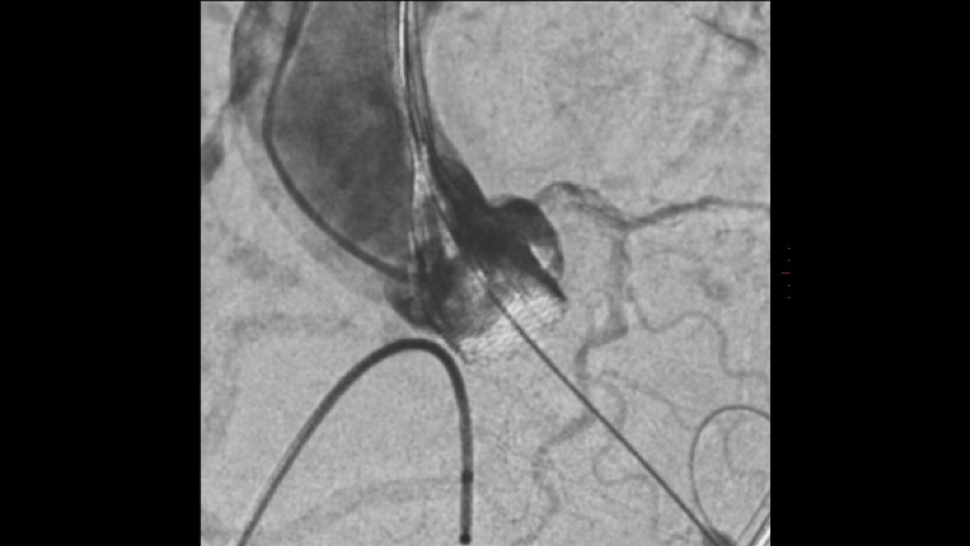
Transcatheter aortic valve implantation
Streamlined workflow for your TAVI procedures

PLAN
0-click aorta segmentation and valve definition makes accurate valve sizing accessible to anyone.
GUIDE
3D fusion guidance enhanced with Calcification Enhancement improves the visualization of moving contrasted structures.
ASSESS
Assess potential regurgitation with exceptional contrast visualization.


With Valve ASSIST 2, improve your patient outcomes in TAVI:

  • 33% reduction in volume of contrast media²
  • 33% reduction in X-ray dose³

 

valve-assist-transcatherter-ci-en
Left atrial appendage closure
Augmented guidance for more confidence with LAAC

PLAN
Segment the 3D CT images of the left atrium to precisely plan the intervention, including: morphology, ideal landing zone and optimal device size.
GUIDE
3D fusion helps guide each step with confidence, from the trans-septal puncture to the device deployment. Significantly reduce procedure time, while decreasing contrast media and dose.
ASSESS
Once the device is deployed, employ echocardiography to confirm the device location and evaluate compression before releasing the device⁴.

 

With Valve ASSIST 2, improve your patient outcomes in LAAC⁵:

 

  • 78% reduction in volume of contrast media
  • 28% reduction in procedure time
  • 25% reduction in fluoroscopy time

 

valve-assist-left-atrial-ci-en

 
References
  1. Valve ASSIST 2 solution includes TAVI Analysis, HeartVision 2 and requires AW workstation with Volume Viewer, Volume Viewer Innova. These applications are sold separately.
  2. Shafiq, et al. Effect of a new enhanced fluoroscopy technology (Valve ASSIST 2) on outcomes in patients undergoing trans-catheter aortic valvular replacement. TCT 2017; Abstract
  3. Overtchouk, et al. Advanced image processing with fusion and calcification enhancement in transcatheter aortic valve implantation: impact on radiation exposure. Interactive CardioVascular and Thoracic Surgery (2018) 1–8. doi:10.1093/icvts/ivy136
  4. Ultrasound imaging is not included in Valve ASSIST 2.
  5. Roy, et al. Novel Integrated 3D Multi-Detector Computed Tomography and Fluoroscopy Fusion for Left Atrial Appendage Occlusion Procedures . Catheter Cardiovasc Interv2017;Mar 17, DOI:10.1002/ccd.26998

 

Get in touch

Have a question? We would love to hear from you.

Contact us

We're ready to support you in your moments that matter.

We’re sorry, a problem occurred with the form. Please try again.
Thank you for your inquiry.

We will be in touch soon.

Something went wrong

We will check and get back.

JB30288XX September 2024