While rapid stroke detection can save a life or minimize stroke-related disabilities, managing risk factors can prevent 80% of strokes.1 Detection tools can help patient avoid TIA or stroke.


SEER 1000 Holter Monitor
Specifically developed for Atrial Fibrillation detection. Read More

Logiq v1v2 product tutorials
CardioDay v2.5 Software Analysis
Powerful combination of clinical quality and workflow advantages. Read More


Algorithm Server
Cloud Server - enabling  remote ambulatory ECG analysis and interpretation. Read More
Rapid transport and triage with pre-notification and transfer of vitals to an interventional facility give patients the best chance of a full recovery.2 Monitoring systems during critical moments can save time and improve outcomes.


CARESCAPE™ Monitoring Solutions
Monitor portfolio that scales to meet changing patient acuity and care area needs. Read More

Logiq v1v2 product tutorials
ApexPro CH/FX Telemetry
Offers the highly flexible and advanced telemetry system to meet the current and future telemetry needs of growing hospitals. Read More
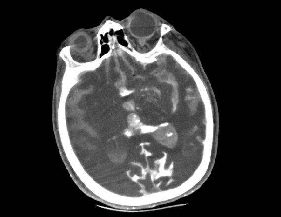
A patient with suspected TIA or stroke receives a general and neurological examination followed by diagnostic brain imaging, performed immediately on arrival so that treatment can be started promptly. 3 Optimal scanning coupled with workflow applications and protocols designed for stroke help deliver accurate and quick diagnosis to impact patient outcomes.

Logiq v1v2 product tutorials
Revolution brand of CT systems
Capable of acquiring neuro perfusion and CTA of the brain in a single exam to enable comprehensive functional and anatomical assessment. Read More


FastStroke CT Application
Simplifies and organizes CT images for fast evaluation of Stroke patients. Read More


Fast Brain protocol with HyperWorks
Providing structural as well as vascular information with improved resolution and precise characterization in 5 minutes. Read More
Acute ischemic stroke is a complex disease and successful endovascular treatment is based on the comprehensive ability to rapidly integrate multiple pieces of information.4 Initiate Intravenous thrombolysis (IV-tPA) if less than 5 hours of ischemic stroke. Initiate mechanical thrombectomy within 6 hours of onset of large vessel stroke (MCA territory). Fast interventions with accurate imaging can help reach lesions quickly to help improve patient outcomes.


IGS 630 with Advantage Workstation
Fast interventions to help detect of hemorrhages in room. Read More


Innova CT HD
Helps quickly detect intracranial hemorrhages in the interventional suite. Read More
The goal is to prevent recurrent stoke or TIA by identifying risk factors like Afib, individualized rehabilitation and deciphering the most likely stroke mechanism.


SIGNA™ Premier MR with 48 ch coil, Hyperband and eDWI
Speedy evaluation of treatment response and recovery with uncompromised quality.
Read More

Logiq v1v2 product tutorials
LOGIQ Ultrasound
Designed for rapid assessment, ease of use and patient comfort. Read More


Ambulatory ECG
Specifically designed for Atrial Fibrillation detection as a secondary risk evaluation.
Read More