Before the exam
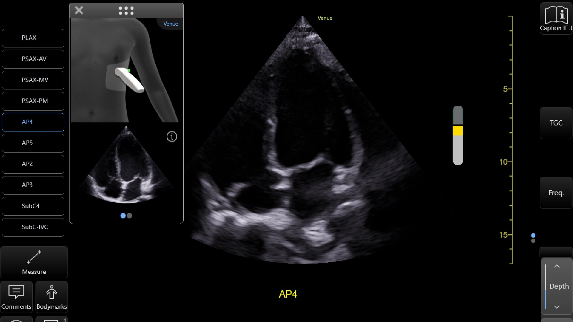
Preliminary probe placement information shows you where to place and how to orient the ultrasound probe. As you begin the exam, a handy reference image shows you the image you are trying to acquire.
Products
Services
Support
Specialties
Education
Insights
About
Imaging
Patient Care Solutions
Ultrasound
Healthcare IT
Performance Analytics
Pharmaceutical Imaging Agents
Clinical Excellence Technologies
Operational Efficiency Solutions
Clinical Excellence Technologies: Options & Upgrades
Operational Efficiency Solutions: Options & Upgrades
Educational Solutions
Channel Partner Portal
E-commerce (Service Shop)
Adequacy of Anesthesia
Alzheimer's Disease
Ambulatory Surgery Centers (ASCs)
Breast Care
Cardiology
Electrophysiology
Hybrid OR
Intensive Care
Labor and Delivery
Neurology
Obstetrics and Gynecology
Oncology
Orthopedics
Patient Care Solutions
Radiology
Stroke Solutions
Theranostics
Prescriptive Guidance
Quality Meter
Save Best Clip
AutoCapture
Helps you before, during and after the scan
Preliminary probe placement information shows you where to place and how to orient the ultrasound probe. As you begin the exam, a handy reference image shows you the image you are trying to acquire.
Follow the prescriptive guidance provided on the screen. Move the probe slowly – and watch the Quality Meter rise as you get closer to an image of diagnostic quality.
Easily review your recorded clips prior to ending your exam to make sure you have all the views you need.
Whether you're looking for an adaptable model that goes from cart to table to wall, or a console system with a large screen, there is a versatile, robust, and simple system made for your point of care.
JB00310MEN
© 2026 GE HealthCare. GE is a trademark of General Electric Company. Used under trademark license.
Products mentioned in the material may be subject to government regulations and may not be available in all countries. Shipment and effective sale can only occur after approval from the regulator. Please check with local GE HealthCare representative for details. Intended for healthcare professionals only.