Not all products or features are available in all markets.

  • Change country/language

    Looks like you’re in {} — you’re on the {} site.

    Cancel

    Country and language selected

    You are being redirected to the {} site. Products and services availability vary by country. Do you wish to continue?

    Continue
    Cancel

Changing the beat

GE HealthCare’s Cardiac CT solutions are transforming coronary vascular disease management — playing an increasingly important role in risk stratification, triage and therapy guidance.

cardiac-ct-hero-ba-en

Coronary conditions are complex. Unchecked, they can cause devastating hardships for patients and health systems.

GE HealthCare is partnering with clinicians around the world to address your biggest challenges in cardiac care.
355%

Growth of CCTA in the last 10 years¹

24%

Projected growth of CCTA in the next 5 years²

11M

Expected global shortage of healthcare workers by 2030³

8%

Growth in CT imaging for structural heart (TAVR, TMVR, LAAO, etc.)⁴

Transforming cardiac CT care
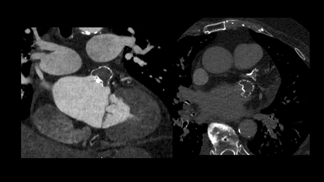
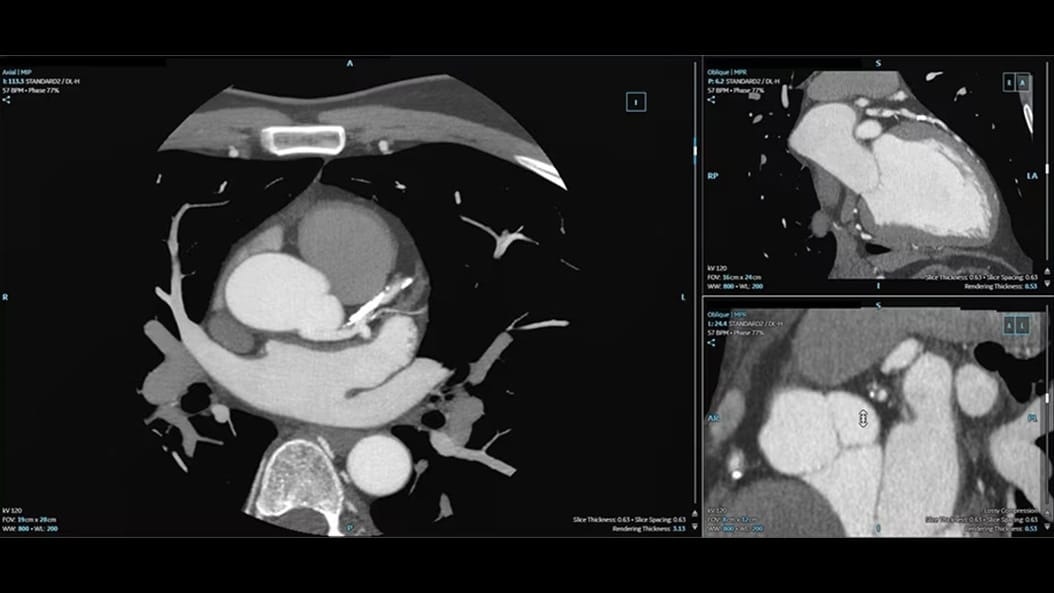
Making complex cardiac CT imaging feel effortless for everyone, cardiac CT is a front-line, non-invasive imaging tool for diagnosing, therapy, planning and monitoring of cardiovascular disease.

Expect ultra high resolution without compromise

Learn about the first of a new generation of full-spectral photon-counting CT systems, powered by Deep Silicon 8-bin energy resolution, with wide-coverage and ultra-high definition cardiac acquisitions, no longer forcing you to choose between high resolution and high sensitivity for spectral analysis.

cardiac-ct-spectral-imaging-high-resolution

Expect exceptional results routinely—in a single beat

Complex CCTA becomes routine when advanced AI supports every image—streamlining and standardizing workflows even for challenging patients with unreliable ECG traces. See how Radiomed transformed its cardiac CT program to consistently deliver exceptional results.

cardiac-ct-ai-enhanced-visualization-thumbnail

Expect a simpler, smarter experience

It's time to simplify—wing-to-wing. Beginning with the all-new CT ONE UI imaging experience, AI-enhanced automation and simplified protocols drive powerful detector hardware optimized with AI-based image chain technologies during pre-scan, scan, post-scan and even post-processing image analysis. This is so you can focus on what matters most—your patient.

ct-scan-patient-setup-clinical-workflow

Scalable platforms designed to grow with you

Many of our CT scanners and digital solutions provide an affordable, in-place upgrade path that helps your patients obtain access as patient volumes increase.

ct-system-platform-scalability-lineup

Scalable solutions for your health system needs

Whether you are just starting out with a new service, finding new ways to optimize your health system goals, or paving new frontiers, GE HealthCare is there for you with consultation services, technology training and a portfolio of Cardiac CT products that can take your system to where you want to go.

ealth-system-network-scalable-services-diagram

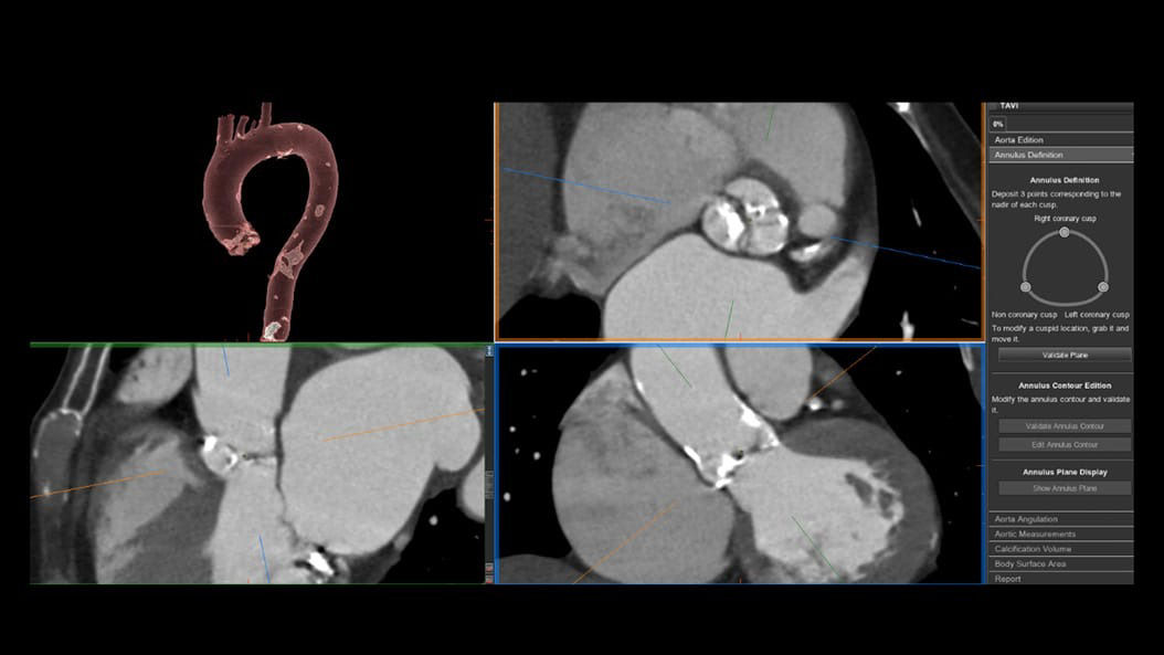
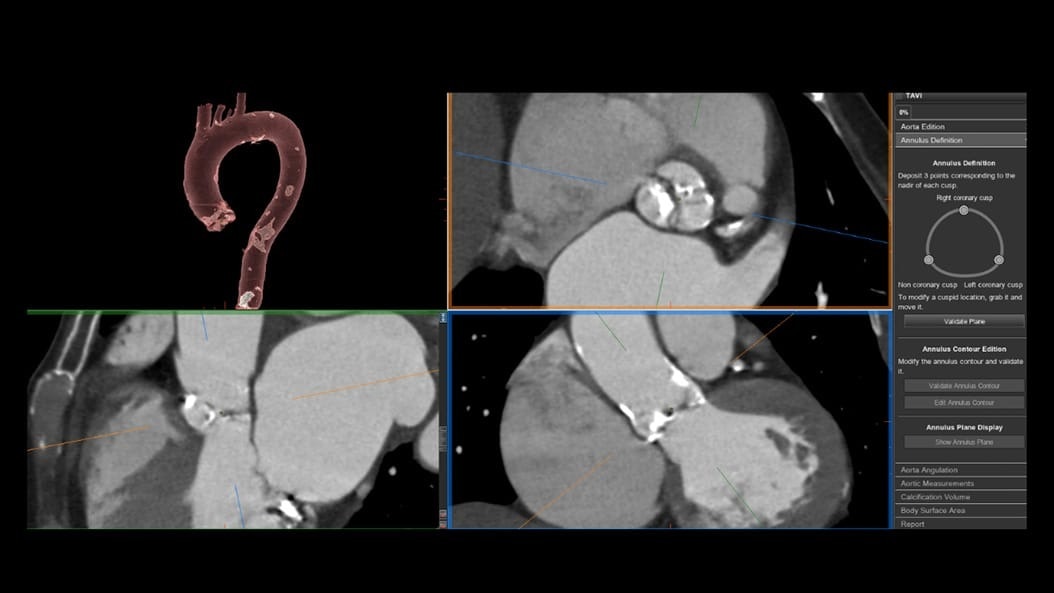
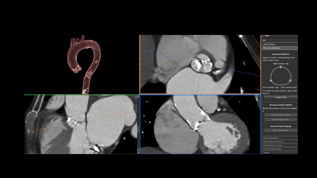
CT-Guided Interventional Care

Since becoming an important step in the patient care pathway and heart care guidelines, CT images are an invaluable tool in the cath lab, guiding procedures for precise personalized care.

clinician-ct-guided-procedure-preparation

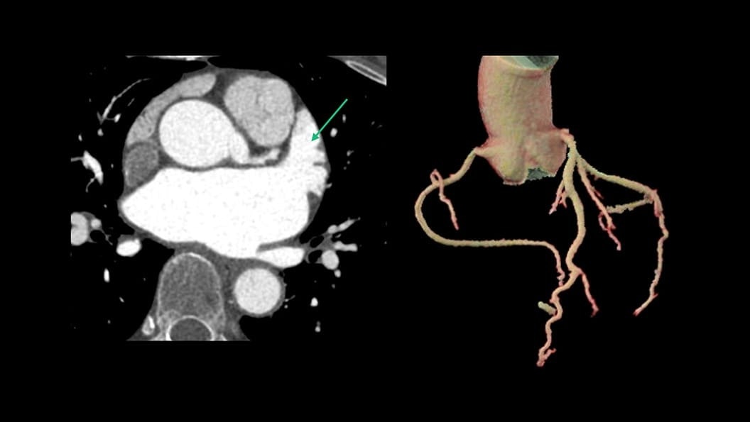
Cardiac CT imaging and
post processing

Photonova Spectra

Your next image could change everything. Unlock next-level diagnostic possibilities in Cardiac CT with our revolutionary Deep Silicon photon counting technology.

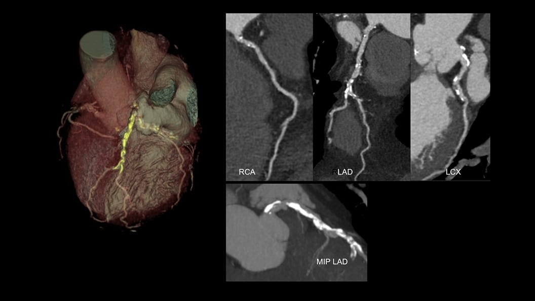
Sharper insight

Designed to leverage Deep Silicon 8-bin technology for on-demand spectral imaging

Stunning details

Ultra-high-definition imaging with remarkable detail, wide coverage and fast acquisition speeds

Simplified workflow

Universal full-fidelity scan designed for ultra-high-definition imaging for every scan

Revolution Apex

A cutting-edge scanner that delivers high-quality, reliable and repeatable image services for the most challenging patients that also meets future scalability needs.

Broad capabilities

Imagine any challenge with many Cardiac Center of Excellence (COE) exams

Scalable detector

A modular design that allows for hardware scalability

Effortless workflow

AI technologies automate and simplify steps from pre-scan to post-scan

Research capable

Suited for academic hospitals, medical centers, and research/education organizations

Revolution Vibe

Scanner with advanced cardiac capabilities that delivers high-quality, reliable, and repeatable cardiac images, while also covering routine exams.

Unlimited 1-Beat Cardiac

  Consistent, high-quality imaging even in challenging patients

Effortless workflow

AI-powered workflow streamlines the process, from pre-scan to post-scan

Cost-saving features

Intelligently designed to lower product lifecycle cost

Productivity focused

Well-suited for outpatient clinics and cardiology departments

Revolution Ascend

Built for operational efficiency with an AI-based workflow and simple user interface this versatile scanner delivers high-quality reliable and repeatable images.

Versatile

Suited for general imaging, basic coronary analysis and calcium scoring

Workflow optimized

Effortless Workflow supports maximum scanning efficiency, accuracy, and clarity

Designed for scalability

Can be expanded for future needs

Efficiency focused

Suited for large private, public hospitals, community-based or private clinics

Revolution Maxima

A versatile CT scanner with general scanning and cardiac capabilities.

Versatile

Great for general imaging, basic coronary analysis and calcium scoring

AI-enhanced imaging

Deep learning image reconstruction boosts image quality without increasing dose

Clarity imaging chain

A 40 mm detector with 0.28 mm spatial resolution for a diverse range of needs

Budget sensitive

Suited for community hospitals, clinics, outpatient facilities on a budget.

AW ONE

Discover how the AW ONE portfolio spans modalities and anatomies to help you handle simple to highly complex cases.

  

  

  

  

CardiQ Suite

An integrated suite of CT Cardiac post-processing tools, built for automation and workflow efficiency.

Consistency

>90% concordance with CACS‑DRS classification grouping⁵

Identification

>95% correct identification of the presence of coronary artery calcifications⁵

Labeling

>90% accurately labeled coronary artery territories⁵

Cutting edge

An ecosystem that elevates patient care and operations

Our Cardiac CT solutions are bolstered by innovations that bring you to the leading edge of care.

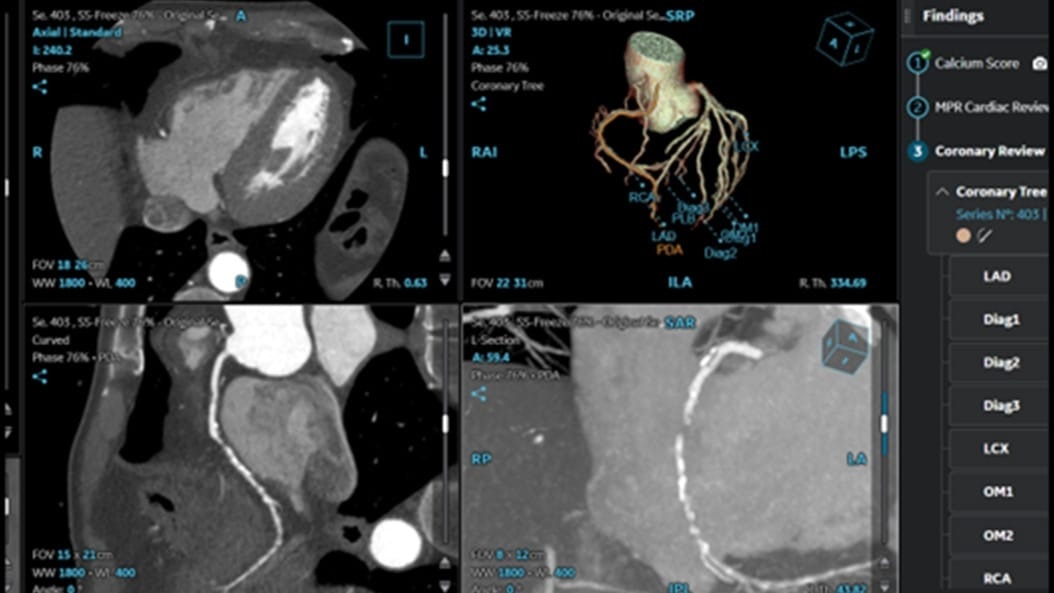
SnapShot Freeze 2

Automated whole heart motion correction, SnapShot Freeze 2 is an intelligent motion correction algorithm designed for automated whole heart motion correction, including coronary artery, valves, myocardium, chambers, and the great vessels motions.
1-ct-snapshot-freeze-2-whole-heart-motion-correction

Smart Subscription for advanced CT imaging

Smart Subscription is our industry’s first subscription-based service for CT—helping you keep your computing platform, clinical software applications and workflow innovations platform up to date across your entire fleet.
2-ct-smart-subscription-advanced-imaging-platform

TrueFidelity

TrueFidelity is our state-of-the-art image reconstruction technology that uses a DNN to generate high-definition, low-noise CT images. It produces images with exceptional sharpness, low contrast image quality performance and your preferred noise texture, at the same dose.7
3-truefidelity-ct-image-reconstruction-low-noise

ECG-less Cardiac CT

By removing the need for ECG traces, this innovative technology streamlines patient preparation, saving valuable time and reducing the complexity of Cardiac CT procedures.
4-ecg-less-cardiac-ct-coronary-visualization

Disclaimers

* Photonova Spectra is not available for sale in all countries.
**Separate application licenses must be purchased to access applications.

References
  1. “Cardiac Imaging Trends from 2010 to 2019 in the Medicare Population.” Collaborating with Dr. Reeves were Ethan J. Halpern, M.D., and Vijay M. Rao, M.D., FACR. Radiology: Cardiothoracic Imaging is edited by Suhny Abbara, M.D., University of Texas Southwestern Medical Center, Dallas, and owned and published by the Radiological Society of North America, Inc. (https://pubs.rsna.org/cardiothoracic-imaging)
  2. Grand View Research. Structural Heart Imaging Market Analysis & Segment Forecast From 2025 To 2030.
  3. https://www.frontlinehealthworkers.org/world-health-worker-week-2025
  4. Structural Heart Imaging Market Size, Share & Trends Analysis Report By Modality (Echocardiogram, Angiogram), By Procedure (TAVR, SAVR, TAVR, LAAO), By Application, By End-use, By Region, And Segment Forecasts, 2025 - 2030.
  5. Data on file.
  6. The clinicians are paid consultants for GE HealthCare and were compensated for participation in this testimonial. The statements by the clinician described here are based on their own opinions and on results that were achieved in their unique setting. Since there is no “typical” hospital/clinical setting and many variables exist, i.e., hospital size, case mix, staff expertise, etc., there can be no guarantee that others will achieve the same results.
  7. Image quality comparisons were evaluated by phantom tests of MTF, SSP, axial NPS, standard deviation of image noise, CT Number accuracy, CNR, and artifact analysis. Additionally, LCD was demonstrated in phantom testing using a model observer with the head and body MITA CT IQ Phantoms (CT191, CT189 The Phantom Laboratory). DLIR-H and ASiR-V reconstructions were performed using the same raw data.

Contact us

We're ready to support you in your moments that matter.

Thank you for your inquiry.

We will be in touch soon.

Something went wrong

We will check and get back.

JB12353US September 2025
Get in touch

Ready to elevate your cardiac CT program?