Gallery
C2-9 HVS with color
Umbilical Flow PDI
Endometrium, RIC5-9 transducer
C2-9 IVC B-Mode
ML6-15 Neonatal ABD
Fetal face, RAB4-8 transducer
Automated IMT measurement, 9L transducer
Neonatal spine, ML6-15 transducer
Cardiac 6TC Waveform
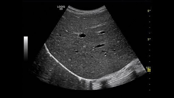
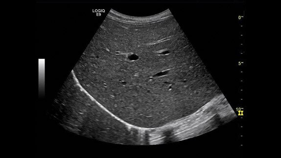
Liver, 9L transducer
Elastography, ML6-15 transducer
Portal vein thrombosis and patent hepatic artery, S1-5 transducer
Tubal Ovarian Abscess, IC5-9 transducer
Renal mass, C1-5 transducer
Internal carotid artery, 9L transducer
Lesion correlation of MRI and ultrasound using Multi-modality Query Retrieve and the ML6-15 transducer
Neurinoma, ML6-15 transducer
Portal and hepatic veins shown in a MR and Ultrasound fusion overlay, C1-5 Transducer
B-Flow Color ICA - Plaque ML6-15
Testicle, RSP6-16 transducer
Gallstone, C1-5 transducer
Hemorrhagic cyst, RSP6-16 transducer
Common femoral artery bifurcation, 9L transducer
Kidney, C1-5 transducer
LOGIQ View Gastrocnemuis Muscle
ML6-15 Melanoma
Dual Display of B-Mode and 2D Shear Wave elastography – SW speed propagation color pattern in a normal liver
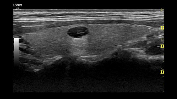
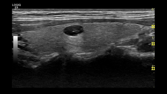
Thyroid, ML6-15 transducer
2D Shear Wave elastography - Liver stiffness measurements in kPa with a Dual ROI positioning
Shear Wave velocity measurement at 8cm depth
Neonatal Head B-Flow tint map showing vasculature
Tour

Agile Acoustic Architecture
Agile Acoustic Architecture is a flexible approach built on proprietary clinical models of the human body.
Auto Optimization
Automatic Optimization (AO) helps deliver excellent and consistent image quality in both B-mode and spectral Doppler at the touch of a button.
Coded Harmonic Imaging
Coded Harmonic Imaging helps enhance near-field resolution for improved small parts imaging as well as far-field penetration compared with typical harmonic imaging.
CrossXBeam
CrossXBeam combines multiple images from different angles into a single, real-time image that allows for better border definition and increased contrast resolution.
E-Series Transducer Technology
Acoustic Amplifier Technology helps achieve higher sensitivity by recapturing unused acoustic energy. When combined with other E-Series transducer technologies the result is increased penetration on large patients, outstanding spatial resolution and image uniformity from near to far field to help improve diagnostic confidence.
Speckle Reduction Imaging
SRI is a real-time algorithm that helps increase contrast resolution by reducing speckle noise while maintaining true tissue appearance.
Extraordinary Images
EasyWorkflow
Expert Tools
Education & Training
Services & Support
Ultrasound IT
Videos
LOGIQ Club
We invite you to join the LOGIQ Club, a network of thousands of fellow LOGIQ ultrasound users. Club membership gives you access to many tools and resources which are only available to members, helping you experience the full power of your LOGIQ ultrasound system. Members are regularly informed about developments in LOGIQ ultrasound technology and provided with special offers and opportunities which are announced on the club's own LOGIQ Club website.
The benefits of club membership are many:
- Information on new products and offers
- Educational offerings & online trainings
- Application tips & tricks
- White papers & user guides
- Clinical image gallery
If you are not a member, consider joining today to begin taking advantage of these outstanding tools.