Not all products or features are available in all markets.

  • Change country/language

    Looks like you’re in {} — you’re on the {} site.

    Cancel

    Country and language selected

    You are being redirected to the {} site. Products and services availability vary by country. Do you wish to continue?

    Continue
    Cancel
Intraoperative ultrasound solutions for neurosurgery and spine

Discover the power of real-time imaging with intraoperative ultrasound (iUS) for neurosurgery and spine. iUS provides neurosurgeons with real-time guidance to identify brain shifts, assess tumor resection, and avoid vital structures. Optimize outcomes with advanced imaging for high-grade gliomas, metastases, and complex spinal procedures.

Improving patient outcomes
16%

increase in Overall Survival (OS) of patients with high grade gliomas (HGG) at 1 year using IOUS.¹

58%

further resection of tumor remnants after intraoperative ultrasound.²

31%

reduction in pediatric ventriculoperitoneal (VP) shunt revision rates with iUS.⁶

Real-time active imaging for your neurosurgery procedures

Neuro-oncology

Use intraoperative ultrasound during surgery to assist in the identification of brain shift after pre-operative scans and determine extent of resection and assess for residual tumor.

Neuro-oncology-desktop

Skull base

Use intraoperative ultrasound during surgery to avoid injury by identifying blood vessels near the pituitary gland, access hard-to-reach areas and use through cranial endoports. With the bkPortfolio's smallest transducer monitor resection progress and assess for residual tumor.

Skull-base-desktop

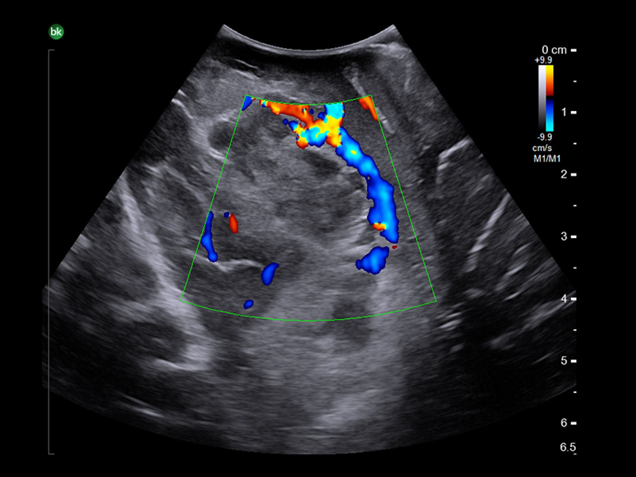
Spine

Visualize soft tissue in detail with Active Imaging. Active imaging offers real-time guidance in a variety of spinal procedures during open and minimally invasive approaches: spinal decompressions, chiari malformations, tumor resections, selective dorsal rhizotomy, anterior cervical discectomy and fusion.

spine-desktop

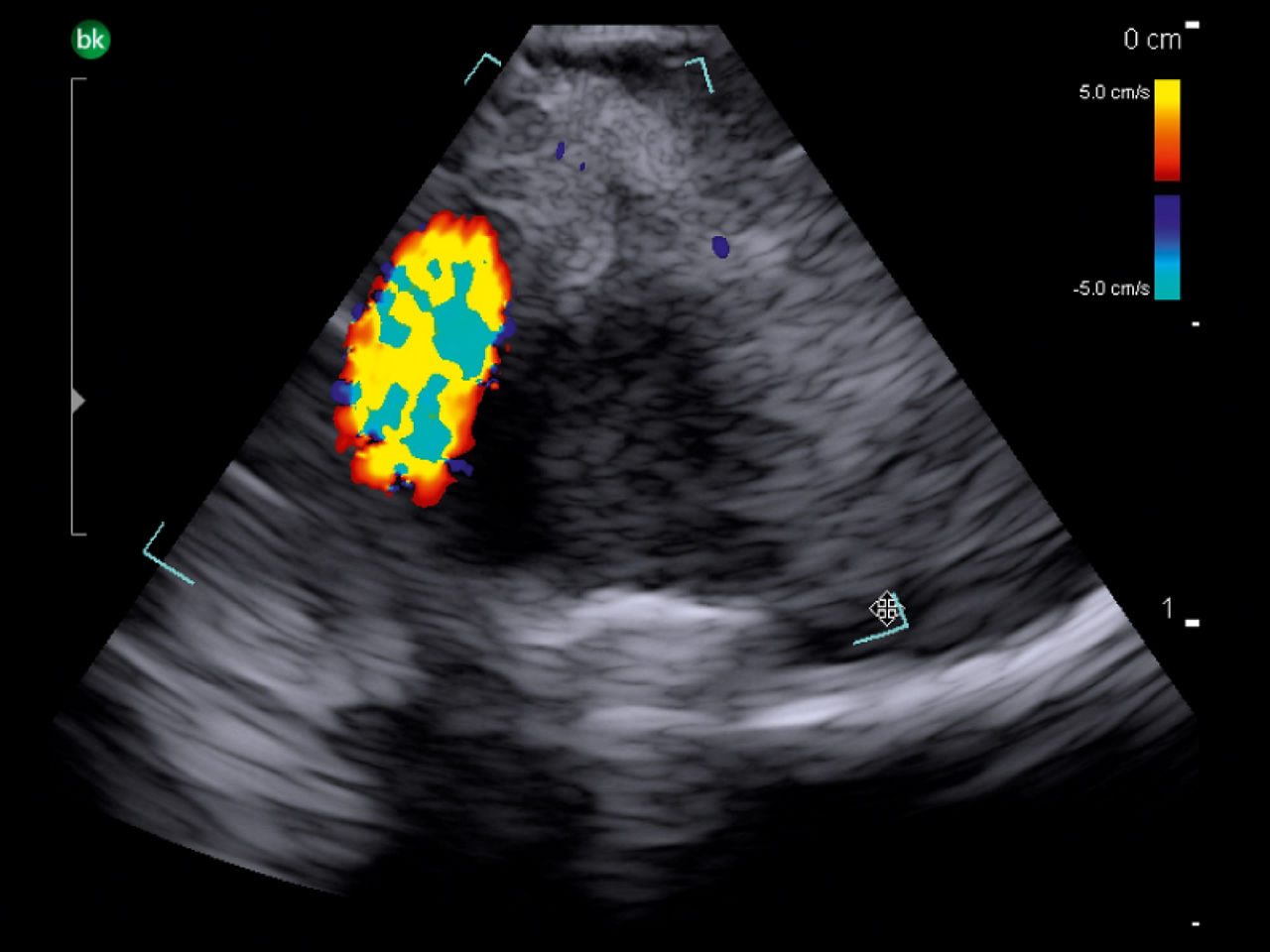
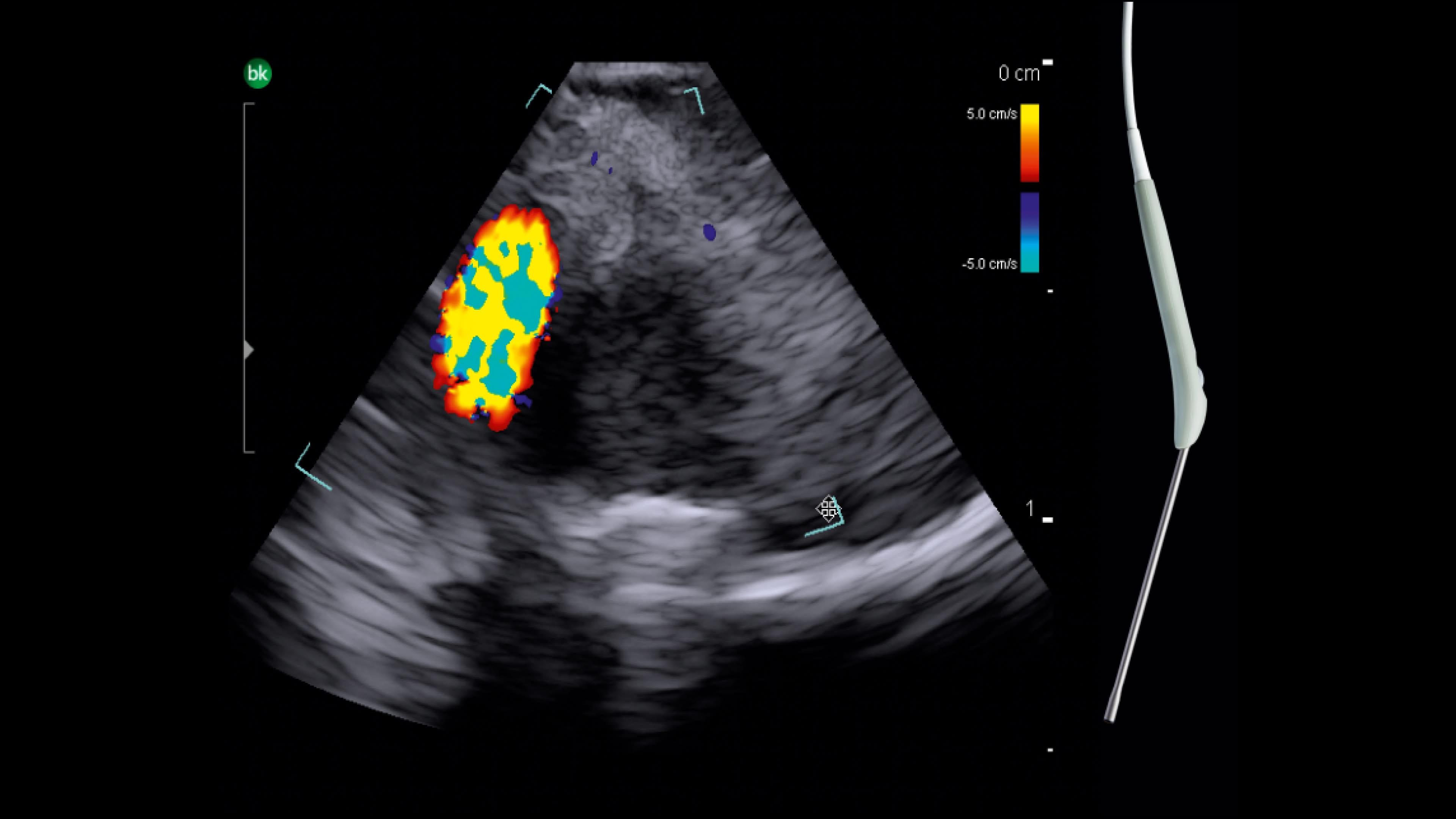
Neurovascular

Shorten operative time with intraoperative ultrasound³. Use intraoperative ultrasound during surgery to: locate AVM nidus and identify feeding arteries with color Doppler, assess for resection of AVMs⁴, identify associated hematoma⁵, and visualize preoperative embolization (e.g. Onyx®).

Neurovascular-desktop

Pediatrics

Use intraoperative ultrasound during surgery to: guide safe, quick shunt placements, target the ventricle and confirm catheter placement in ventricle, reduce medical imaging hazards such as ionizing radiation and assess for brain shift and residual tumor.

Pediatrics-desktop

Active imaging is real-time visual guidance for decision support

Real-time intraoperative imaging

Scan instantaneously and repeatedly wth iUS, while iCT and iMRI scans interrupt the surgical workflow⁷ and require a set scan time.

Minimum radiation hazards to the patient

Unlike iCT, intraoperative ultrasound does not involve ionizing radiation.⁸

Comparable gross tumor resection rates to iMRI  

In a recent article, iUS has demonstrated gross total resection (GTR) for High Grade Gliomas (HGG) comparable to iMRI and 5-ALA.⁹

specialty-transducers-promo-dynamic-desktop

Comprehensive range of sterilizable, specialty transducers

Advanced transducer technology and a comprehensive selection of styles and sizes offer superb access across a wide range of body types.

 

Products

Discover our surgical ultrasound systems

Our related offerings include high-resolution imaging systems, specialized transducers, and innovative software solutions designed to provide precise and reliable guidance during surgeries.

 

img-2-product-bk5000

bk5000 ultrasound system

Experience the bk5000 built with remarkable image clarity and advanced features for intraoperative, robotic, and neurosurgery, enhancing surgical precision.
bkactiv-ultrasound-system-product-tile-en

bkActiv Ultrasound System for General Surgery & Spine Procedures

Discover the bkActiv ultrasound system for enhanced visualization and precision in general surgery, neurosurgery, urology, colorectal, and pelvic floor procedures.
References
  1. Syed O Mahboob & Muftah Eljamel. Intraoperative image-guided surgery in neuro-oncology with specific focus on high-grade gliomas
  2. Alomari, A., Jaspers, C., Reinbold, W. et al. Use of intraoperative ultrasound intracavitary (direct-contact) ultrasound for resection control in transsphenoidal surgery for pituitary tumors: evaluation of a microsurgical series. Acta Neurochir 161, 109-117 (2019).
  3. https://onlinelibrary.wiley.com/doi/abs/10.7863/jum.2004.23.8.1065
  4. https://www.ncbi.nlm.nih.gov/pubmed/30839079/
  5. https://thejns.org/pediatrics/view/journals/j-neurosurg-pediatr/15/3/article-p291.xml
  6. Crowley RW, Dumont AS, Asthagiri AR, et al. Intraoperative ultrasound guidance for the placement of permanent ventricular cerebrospinal fluid shunt catheters: a single-center historical cohort study. World Neurosurgery. 2014;81(2):397-403. doi:10.1016/j.wneu.2013.01.039
  7. Coburger J, Nabavi A, König R, Rainer Wirtz C, Pala A. Contemporary use of intraoperative imaging in glioma surgery: A survey among EANS members. Clinical Neurology and Neurosurgery 163m 133-141 (2017).
  8. https://www.fda.gov/radiation-emitting-products/medical-imaging/ultrasound-imaging
  9. Mahboob S and Eljamel M. Intraoperative image-guided surgery in neuro-oncology with specific focus on high-grade gliomas. Future Oncology 13 (26) (2017).
Get in touch

Have a question? We would love to hear from you.

JB00783XA October 2025

We're ready to support you in your moments that matter.

Thank you for your inquiry.

We will be in touch soon.

Something went wrong

We will check and get back.