• Land/Sprache ändern

    Es sieht so aus, als wären Sie in {} – Sie befinden sich auf der Website für {}

    Abbrechen

    Land und Sprache ausgewählt

    Sie werden zur Website für {} weitergeleitet. Produkte und Funktionen können je nach Land abweichen. Möchten Sie fortfahren?

    Weiter
    Abbrechen
cardiac-hero-desktop

C-Bogen für kardiologische Bildgebung

Erleben Sie hervorragende Bildgebungsqualität bei komplexen interventionellen kardiologischen Verfahren mit den OEC Premium-C-Bögen

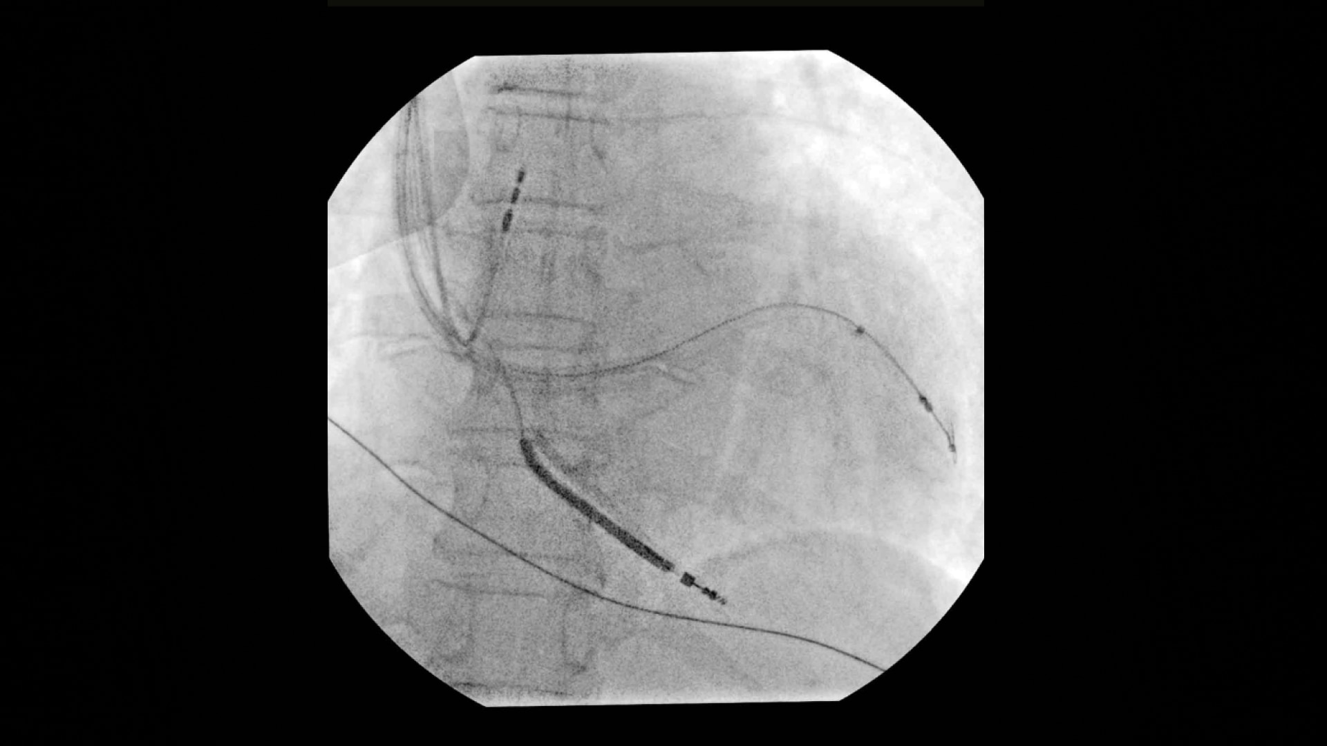
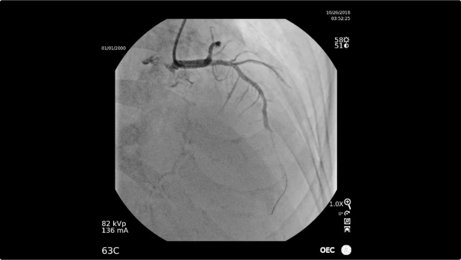
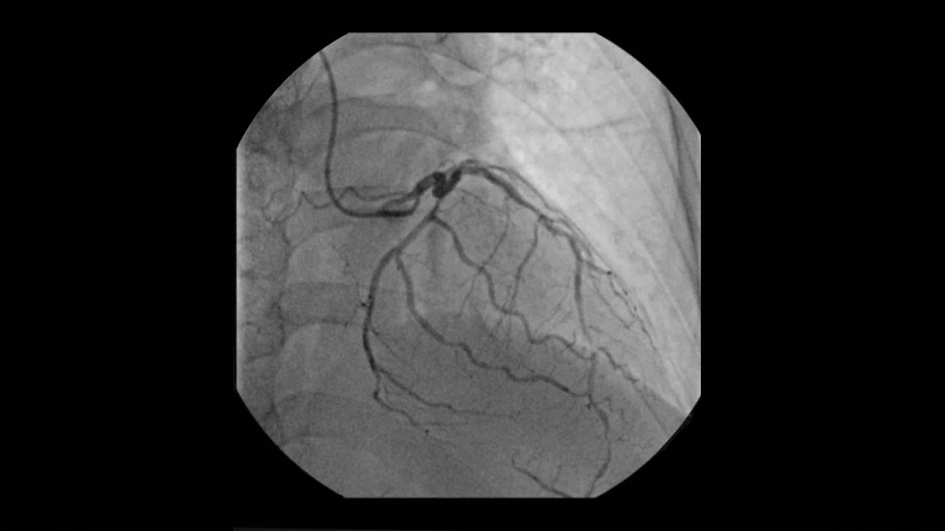
Für anspruchsvolle kardiologische Eingriffe ist eine hochpräzise Bildgebung entscheidend. Die OEC C-Bögen liefern eine beeindruckende Bildqualität bei niedriger Strahlendosis, ideal für die interventionelle Kardiologie.
Die Anwender profitieren von der klaren Darstellung feinster Details – darunter Schrittmacher-Elektroden und kleinste Führungsdrähte. Dank der Dynamikbereichregelung bleibt die Bildauflösung auch bei Bewegung während des Eingriffs konstant hoch, was die klinische Sicherheit und Effizienz deutlich verbessert.

Funktionen kardiologische Bildgebung

Scharf

Bei der Platzierung von Schrittmachern liefert der OEC Elite CFD mit Flachdetektor, fortschrittliche Bildverarbeitung und einen hochauflösenden 4K-Display, sowie eine außergewöhnlich klare Darstellung – selbst von kleinsten 0,014" Führungsdrähten im Thoraxbereich.
Das speziell entwickelte kardiologische Preset-Profil reduziert automatisch Überstrahlungsartefakte und ermöglicht die präzise Visualisierung beweglicher Instrumente wie Katheter und Stents in den Koronararterien.

clear-s-curve-desktop

Reduziertes Bildrauschen

Erleben Sie gestochen scharfe Bilder dank enhanced Noise Reduction (eNR) – einem fortschrittlichen Software-Algorithmus, der das Bildrauschen automatisch um bis zu 30 % reduziert. So wird eine zuverlässige Leistung, äquivalent zu 30 kW Generatoren ermöglicht – für mehr Klarheit bei geringerer Dosis.
Nutzen Sie den bis zu vierfachen Live-Zoom bei Durchleuchtungen oder Cine-Aufnahmen, ohne die zusätzliche Strahlenbelastung herkömmlicher Vergrößerungsmodi. So lassen sich Schrittmacher oder Koronarstenosen präzise darstellen – ganz ohne zusätzlichen Wärmeaufbau der Röntgenröhre.

smooth-s-curve-desktop

Präzise

Mit sechs Speicherpositionen für eine zielgenaue Motorsteuerung und zwei Geschwindigkeitsstufen für exakte Bewegungen lassen sich wiederkehrende Aufnahmen – etwa in Spider-View oder tiefe kaudale Winkel – schnell und zuverlässig reproduzieren.
Das OEC Touchpanel ermöglicht eine schnelle und einfache Menüauswahl direkt während des Verfahrens. Für maximale Flexibilität ist ein optionaler fahrbarer Ständer verfügbar, der die tischseitige Bedienung unterstützt – egal ob Sie die motorisierte Bewegung steuern oder die Bildaufnahme vorbereiten.

precise-s-curve-desktop
cardiac-imaging-you-need-desktop

Komplexe kardiologische Eingriffe erfordern leistungsstarke Bildgebungssysteme

Die OEC Premium-C-Bögen bieten die nötige Leistung und Flexibilität für eine Vielzahl anspruchsvoller Verfahren, darunter:

• Verschluss von Vorhofseptumdefekten
• Verschluss von Vorhofseptumdefekten
• Implantation kardialer Resynchronisierungssysteme
• Minimalinvasive Herzklappen OP‘s
• Diagnostik der Koronararterien
• Perkutane transluminale Angioplastie
• Koronar-Stenting
• Schrittmacherimplantationen

WEITERE PRODUKTE

Entdecken Sie weitere OEC C-Bogen-Produkte

oec-3d-imaging-system

OEC 3D

Entwickelt für hochauflösende 3D- und 2D-Bilder.
oec-elite-cfd-c-arm-system

OEC Elite™ CFD

Für anspruchsvollste chirurgische Verfahren und die verschiedensten Spezialfälle.

Noch Fragen? Wir würden uns freuen, von Ihnen zu hören.

Noch Fragen? Wir würden uns freuen, von Ihnen zu hören.

Vielen Dank!

Wir haben Ihre Anfrage erhalten.

Ein Spezialist von GE Healthcare wird sich in Kürze mit Ihnen in Verbindung setzen.

Es ist ein Fehler aufgetreten

Wir werden dies prüfen und schnellstmöglich beheben.

JB03355DE September 2025