EASY TO LEARN. POWERFUL TO USE.

Signa™ Prime

We’ll make sure your first MRI experience is a great one.
Magnetic Resonance Imaging

Introducing SIGNA™ Prime

We all have fond memories of doing something for the first time. Our first day of school. Our first time driving a car. The purchase of our first home. These memories are powerful and enduring. This is why we want to make sure your first experience with MR is a great one.

Watch to see how easy your first MR can be

Hear from the people who built SIGNA™ Prime and the first customers to use it to learn more about our newest member of the SIGNA™ MR family

9min 33sec

AT A GLANCE
APPLICATIONS

You are ready for MR

SIGNA™ Prime makes the MR adoption process simple and seamless. Exclusive features like our new intuitive user experience make SIGNA™ Prime first-time-user-friendly and efficient for daily operations. SIGNA™ Prime quickly and easily delivers consistent high-quality images using cutting-edge imaging technology.
EASY TO SET UP

Green from site to scan

SIGNA™ Prime gives you all of the tools you need for a seamless transition to MR. SIGNA™ Prime has a small footprint, which makes it easier to site in a facility. You can also install SIGNA™ Prime in challenging power, water, cooling and helium-access conditions, granting you greater flexibility and a shorter install time. And we offer remote support, so you can quickly address any issues as you get started.

EASY TO USE

What learning curve?

We have leveled the MR learning curve with our all-new user experience. It allows you to personalize your MR system by introducing classic and express modes. It also includes a guided workflow with step-by-step instructions as well as simple protocol selection and planning to help you reach an error-free exam. To further streamline the experience, you can monitor and scan your current patient while the system processes your previous patient’s images.

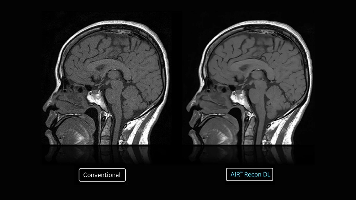
EASY TO READ

AI is here to help

With SIGNA™ Prime, you don’t have to choose between accessibility and quality. We equipped SIGNA™ Prime with state-of the-art Total Digital Imaging (TDI) 2.0 technology. We paired that with the latest AI technology to generate images that are as easy to read as the system itself is to use. SIGNA™ Prime includes AIR™ Recon DL capability, the industry’s leading deep learning based image reconstruction algorithm that works across all anatomies.

Easy to learn. Powerful to use.

It’s time to change your perspective on MR. SIGNA™ Prime is specifically designed to feel as intuitive as any other imaging system you’re already familiar with in your diagnostic imaging department.

Learn More

Have a question? We would love to hear from you.

JB00076MY