• Change country/language

    Looks like you’re in {} — you’re on the {} site.

    Cancel

    Country and language selected

    You are being redirected to the {} site. Products and services availability vary by country. Do you wish to continue?

    Continue
    Cancel
SIGNATM  Works

Fueling the future of MR

SIGNA™ Works is a value-added technology that's upgradable and can be customized with additional applications to suit the needs of your growing practice.

SIGNA™Works  

The new standard is extraordinary

 

Our new SIGNA™Works platform redefines productivity.

SIGNA™Works is the fuel that drives your imaging to the next level and beyond. SIGNA™Works standard applications come pre-loaded with SIGNA™ Architect as a fully integrated solution. It's value-added technology that's upgradable and can be customized with additional applications to suit the needs of your growing practice. 

SIGNA™ Works AIR™ Edition includes:

 

AIR x – Automatic slice prescription for brain scans, with 5x faster set-up time and 4x fewer mouse clicks.

AIR Touch

– Improve workflow and productivity up to 59% from plan to scan with automated coil selection and landmarking.

AIR™ Recon

– Cleaner, crisper images without having to overcompensate in your scanning protocol.

HyperMAVRIC SL

– Use with MAVRIC SL to accelerate scans around MR-Conditional implants.

Cube improvements

–Now includes T1 FLAIR and STIR contrasts.

MP-RAGE

– Improves gray/white matter contrast.

DISCO

– Drives temporal resolution in dynamic T1 imaging with expanded enhancements for quality and consistency.

 

Learn more:

SIGNA™ Works AIR™ Edition brochure

AIR™ articles from SIGNA™ Pulse of MR

SIGNA-WORKS-AIR-Edition-Thumbnail2

Energize

BodyWorks

With BodyWorks, we address one of the fastest growing areas in MR. This all-inclusive library allows you to image abdominal and pelvic anatomy with user flexibility to adapt to different patient types.

Auto Navigator is GE's solution to combat respiratory motion in abdominal imaging. This free-breathing approach is compatible with multiple pulse sequences including diffusion, PROPELLER MB, MRCP and dynamic T1 imaging.

CVWorks

With our intuitive cardiac techniques, you can assess morphology, flow, function and tissue viability plus gain crucial insights into vascular structure and flow dynamics. CVWorks provides the flexibility to adapt to different patient types with exams that vastly simplify workflow.

With CVWorks, multi breath-hold imaging can be a thing of the past. Our latest Single shot MDE and Black Blood techniques provide patient-friendly alternatives to uncomfortable breath-holds.

With our workflow-simplified QuickStep protocols, scanning whole body vasculature can be done in less than 6 minutes. High performance gradients allow bright blood pool and myocardial tissue contrast on Cine FIESTA while preserving spatial resolution.

NeuroWorks

This one-stop solution enables you to imagine brain, spine, vascular and peripheral nerve anatomy with exceptional tissue contrast. These motion-insensitive techniques feature single-click auto alignment, providing the complete neuro solution from scanning to post processing.

NeuroWorks also includes Cube, our 3D volumetric imaging suite, standard with every system. This application allows you to suppress CSF and either white or gray matter to increase lesion conspicuity.

PROPELLER MB, our latest PROPELLER enhancement, is a multi-shot approach that preserves tissue contrast regardless of weighting while also reducing motion artifacts. Additionally, this new technique introduces new contrasts such as T1 FSE.

OncoWorks

This extensive library of techniques captures anatomic and morphologic data to uniquely enable oncological assessment of anatomy. OncoWorks includes robust tissue contrast, motion-insensitive, high temporal and spatial resolution imaging.

3D volumetric imaging with an optimized adiabatic fat suppression, combined with ARC or ASSET, provides high spatial and temporal resolution to capture contrast uptake patterns. The FSPGR Ax Dynamic image shows lesion characteristics generated using AW VS7's positive enhancement map. The T2 PROPELLER image demonstrates small FOV and motion-correction through the prostate.

 

OrthoWorks

This one-stop solution enables you to image brain, spine, vascular and peripheral nerve anatomy with exceptional tissue contrast. Includes ReadyBrain for single-click auto alignment, enabling patient planning through post processing.

This extensive library of musculoskeletal imaging techniques enables you to image bone, joint and soft tissue with remarkable tissue contrast.

OrthoWorks also includes 3D volumetric Cube with proton-density, combined with ASPIR, which enables improved fat suppression uniformity, which is routinely done as three separate 2D scans. With one 3D acquistion and multi planar reformats, Cubes may replace individual 2D scans.

PaedWorks

Pediatric imaging requires exclusive and distinctive imaging techniques that provide ease of use for the user and clinical excellence for your smallest, most fragile patients.

PaedWorks provides specialized protocols to simply address the needs of your smallest, most fragile patients. Techniques such as PB Navigators combined with PROPELLER MB are used with advanced techniques like diffusing imaging, allowing for patient-friendly, entirely free-breathing exams. Additionally, cardiac exams using single shot MDE provide faster, more reliable results.

The four images demonstrate dynamic T1 imaging with PB Navigator, which enables the patient to breathe freely while capturing contrast in fast temporal phases. Whole spine evaluation can be obtained simply with routine T2 frFSE imaging.

Expand

HyperWorks

HyperWorks means hyper scanning with astonishing imaging and unsurpassed speed, delivering up to 8x faster results.

HyperCube

HyperCube expands the capabilities of 3D imaging, allowing you to significantly reduce scan times and eliminate artifacts such as motion and aliasing by reducing the phase field of view without the presence of aliasing artifacts.

HyperBand

HyperBand takes your diffusion to a new level by allowing you to acquire more slices or diffusion directions within a typical scan. Colored FA maps and FiberTrak images are acquired using the TDI 48 Channel Head Coil with a HyperBand factor of 6.

HyperSense

HyperSense is an acceleration technique based on sparse data sampling and iterative reconstruction. This application can deliver higher spatial resolution images or reduced scan times, enabling faster imaging without the penalties commonly found with conventional parallel imaging. HyperSense can also be combined with other methods of acceleration (ARC) for achieving high signal-to-noise ratio with shorter acquisition times.

 

ImageWorks

ImageWorks boosts your overall MR performance. READYView visualization and MAGiC one-and-done scanning help ensure consistent and clear results.

MAGiC

The secret of MAGiC lies in its unique ability to make possible multiple image contrasts in a single scan. MAGiC delivers enhanced clinical flexibility by freeing up time for advanced imaging. MAGiC goes beyond the routine, providing complementary parametric data for a more complete picture. Image contrast can be changed by applying simple adjustments after acquisition.

READYView

With READYView being directly available on the MR Operator console, it accelerates workflow and reading readiness by eliminating time consuming post processing steps.

cmr42

cmr42 is a comprehensive cardiovascular post processing solution that uses automated algorithms to assess tissue charaterization, mapping, flow and function.

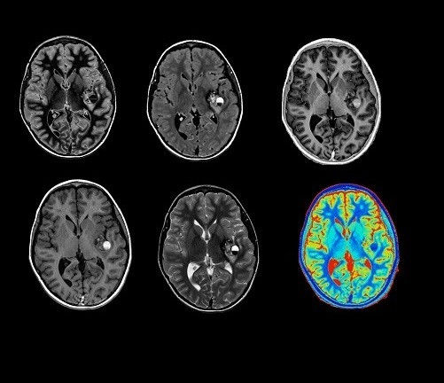
NeuroQuant

NeuroQuant automatically segments and measures volumes of brain structures and compares these volumes to norms. This information helps make a diagnosis and follow the progression of a disease. NeuroQuant can provide reports for a variety of clinical impressions, including Age Related Atrophy, Hippocampal Volume Asymmetry, Multi-Structure Atrophy, Triage Brain Atrophy, Brain Development and General Morphometry.

 

SilentWorks

SilentWorks is GE’s most advanced noise-reducing technology. Traditional exams can be extremely loud. SilentWorks brings the sound level down to ambient noise.

SilentWorks is available across all anatomies and can be done with multiple weightings and coils, including DWI. Zero TE techniques enable imaging in vasculature structures with less artifacts that are commonly seen on traditional scans. And with new enhancements like 3D Silenz and PROPELLER MB, your exam time is shortened without compromise.

ViosWorks

ViosWorks reduces the complexity and cost of cardiac imaging. For the first time, all 7 dimensions of information can be captured in a cardiovascular scan in 10 minutes or less.

ViosWorks, powered by ArterysTM, provides detailed quantitative flow, regurgitant measurements and stroke volume. Thickness and mass and ejection fractions can be obtained with this precise and non-invasive solution.

Clinical Gallery - Standard & Elective

CVWorks

2D Cine FIESTA

ge-product-categories-ultrasound-signa architect-clinical images-cvworks-CV Works1final.jpg
ge-product-categories-ultrasound-signa architect-clinical images-cvworks-CV Works1final.jpg

2D Cine FIESTA

Black Blood - SSFSE

ge-product-categories-ultrasound-signa architect-clinical images-cvworks-CV Works2final.jpg
ge-product-categories-ultrasound-signa architect-clinical images-cvworks-CV Works2final.jpg

Black Blood - SSFSE

PS MDE

ge-product-categories-ultrasound-signa architect-clinical images-cvworks-CV Works3final.jpg
ge-product-categories-ultrasound-signa architect-clinical images-cvworks-CV Works3final.jpg

PS MDE

QuickStep MRA

ge-product-categories-ultrasound-signa architect-clinical images-cvworks-quickstep.jpg
ge-product-categories-ultrasound-signa architect-clinical images-cvworks-quickstep.jpg

QuickStep MRA

PaedWorks

Navigated Turbo LAVA

Free Breathing Dynamic Liver | 1.2 x 1.7 x 2.6mm | :25 sec/phase
categories-ultrasound-signa architect-clinical images-paedworks-navigated turbo lava 2.jpg
categories-ultrasound-signa architect-clinical images-paedworks-navigated turbo lava 2.jpg

Navigated Turbo LAVA

Free Breathing Dynamic Liver | 1.2 x 1.7 x 2.6mm | :25 sec/phase

T2 frFSE Sagittal

product-product-categories-ultrasound-signa architect-clinical images-paedworks-spine.jpg
product-product-categories-ultrasound-signa architect-clinical images-paedworks-spine.jpg

T2 frFSE Sagittal

Clinical Gallery - Innovative

HyperWorks

HyperCube with Flex

HyperCube Axial
ge-productcategoriesultrasoundsigna architectclinical imageshyperworksHyperWorks1finaljpeg.jpg
ge-productcategoriesultrasoundsigna architectclinical imageshyperworksHyperWorks1finaljpeg.jpg

HyperCube with Flex

HyperSense

Knee Cube .4 x .4 x 4mm, T2 Cube Two Section Spine Axial and Coronal MPR's | 3D MRCP 1.2 x 1.2 x 1.2mm | 3D TOF .4 x .4 x 4mm |
ge-productcategoriesultrasoundsigna architectclinical imageshyperworksHyperWorks3finaljpeg.jpg
ge-productcategoriesultrasoundsigna architectclinical imageshyperworksHyperWorks3finaljpeg.jpg

HyperSense

HyperBand

HyperBand colored orientation map & HyperBand with FiberTracking
ge-productcategoriesultrasoundsigna architectclinical imageshyperworksHyperWorks1final11jpeg.jpg
ge-productcategoriesultrasoundsigna architectclinical imageshyperworksHyperWorks1final11jpeg.jpg

HyperBand

ImageWorks

MAGiC

DIR, T2 FLAIR, PSIR, T1 FLAIR, T2, T2 quantitative map
product-product-categories-ultrasound-signa architect-clinical images-imageworks-ImageWorksfinal1.jpeg
product-product-categories-ultrasound-signa architect-clinical images-imageworks-ImageWorksfinal1.jpeg

MAGiC

READYView

product-product-categories-ultrasound-signa architect-clinical images-imageworks-ImageWorksfinal2.jpeg
product-product-categories-ultrasound-signa architect-clinical images-imageworks-ImageWorksfinal2.jpeg

READYView

cmr42

product-product-categories-ultrasound-signa architect-clinical images-imageworks-ImageWorksfinal3.jpeg
product-product-categories-ultrasound-signa architect-clinical images-imageworks-ImageWorksfinal3.jpeg

cmr42

NeuroQuant

NeuroQuant
NeuroQuant

NeuroQuant

SilentWorks

SilentScan

ZTE Silent MRA
product-product-categories-ultrasound-signa architect-clinical images-silentworks-silent mra.jpg
product-product-categories-ultrasound-signa architect-clinical images-silentworks-silent mra.jpg

SilentScan

DWI with SilentScan

product-product-categories-ultrasound-signa architect-clinical images-silentworks-silent_dwi.jpg
product-product-categories-ultrasound-signa architect-clinical images-silentworks-silent_dwi.jpg

DWI with SilentScan

3D T1 Sagittal SilentScan with Axial and Coronal MPR's

tect-clinical images-silentworks-3d t1 sagittal silentscan with axial and coronal mprs.jpg
tect-clinical images-silentworks-3d t1 sagittal silentscan with axial and coronal mprs.jpg

3D T1 Sagittal SilentScan with Axial and Coronal MPR's

T2 PROPELLER FatSat Coronal with SilentScan

0.8 x 0.8 x 4mm
product-product-categories-ultrasound-signa architect-clinical images-silentworks-silent_knee-cor.jpg
product-product-categories-ultrasound-signa architect-clinical images-silentworks-silent_knee-cor.jpg

T2 PROPELLER FatSat Coronal with SilentScan

ViosWorks

ViosWorks

product-product-categories-ultrasound-signa architect-clinical images-viosworks-viosworks.jpg
product-product-categories-ultrasound-signa architect-clinical images-viosworks-viosworks.jpg

ViosWorks

*Not all applications come standard on all systems. Please contact your GE Representative for the most current information. 

 

 

Trending Articles and Case Studies

SIGNAWorks - Fueling the future of MR
SIGNAWorks - Pediatric imaging with MAGiC
SIGNA Works-A boost in productivity
Pediatric brain tumor assessment
Contact Us    

We're ready to support you in your moments that matter.

Thank you!

We received your request for assistance.

A GE Healthcare specialist will be reaching out shortly.

Something went wrong

We will check and get back.

JB09153XX