• Change country/language

    Looks like you’re in {} — you’re on the {} site.

    Cancel

    Country and language selected

    You are being redirected to the {} site. Products and services availability vary by country. Do you wish to continue?

    Continue
    Cancel

Neuro MRI for SIGNA™

Wide range of MR neuro imaging techniques for fast images of brain, spine, vascular and peripheral nerve anatomy with exceptional tissue contrast

NeuroWorks-hero-desktop

At a glance

Quantifiable

Provides quantitative and actionable information

Personalized

Designed to deliver a comfortable, personalized patient experience through the entire exam

Consistent

Motion and distortion-reduced scans with high-resolution and contrast

Fast

Industry leading acceleration techniques using deep learning reduce scan time and improve image quality

Clinical Neurology

Neurological MR imaging applications

Access and productivity
HyperWorks1040-x-585
Read case study
AIR-x1040-x-585
Learn more
3D-Arterial-Spin-Labeling1040-x-585
Read case study
3D-CUBE-MSDE-with-T11040-x-585
Read case study
Diagnostic confidence and consistency
AIR-Recon-DL1040-x-585
Learn more
3D-SWAN1040-x-585
Read case study
FSE-Flex11040-x-585
Read case study
PSIR---Compatible-with-AIR-Recon-DL11040-x-585
Neurography
CUBE-STIR1040-x-585
Learn more
MENSA-Nerve1040-x-585
View case
Precision and personalization
Advanced-DWI1040-x-585
Read case study
SilentScan1040-x-585
BrainWave1040-x-585

Effortless workflow and imaging confidence for treatment monitoring

GE HealthCare’s AIR x™ deep-learning prescription tool for automated slice placement ensures consistent image setup across follow-up exams and patients. Effortless DL reconstruction with AIR™ Recon DL reduces noise and scan time up to 50%, while improving SNR.

alzheimers-disease-statement-1300-x-980

MRI products that go beyond

AIR Recon DL listing670

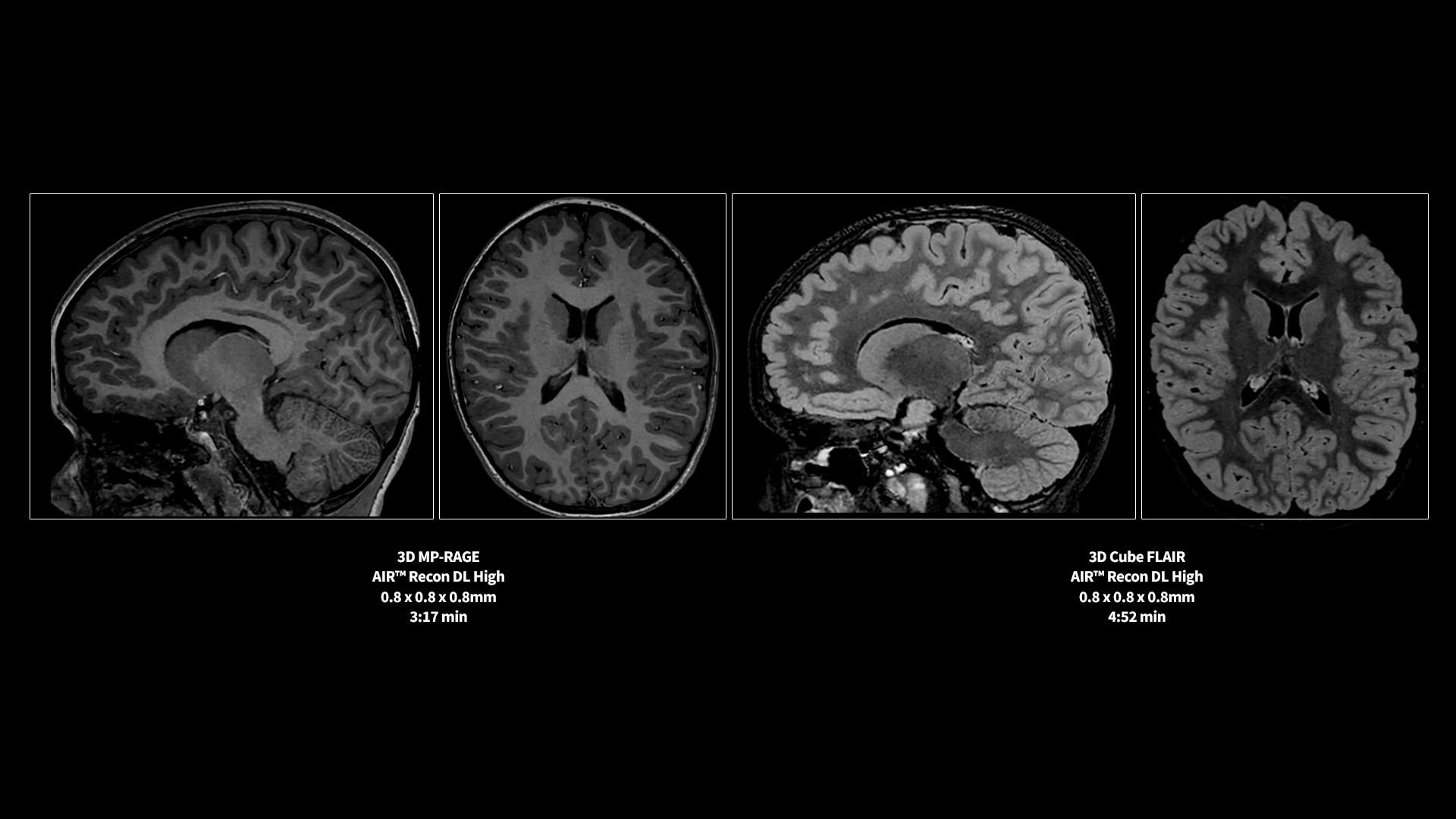
MR image reconstruction with AIR™ Recon DL

AIR™ Recon DL has revolutionized MR imaging with deep-learning based image reconstruction increased image quality, reduced scan time and improved SNR.
AIR-x-product-listing

AIR x™ – prescribing precision MRI slices

GE Healthcare's AIR x™ uses deep-learning algorithms to automatically prescribe MRI slices for neurological and knee exams.

Have a question? We would love to hear from you.

We're ready to support you in your moments that matter.

Thank you!

We received your request for assistance.

A GE Healthcare specialist will be reaching out shortly.

Something went wrong

We will check and get back.

JB03116UK December 2023