• Change country/language

    Looks like you’re in {} — you’re on the {} site.

    Cancel

    Country and language selected

    You are being redirected to the {} site. Products and services availability vary by country. Do you wish to continue?

    Continue
    Cancel

Revolution Frontier™ Gen 3

 

Takes you from innovation to outcomes ... Everyday our Revolution™ brand of CT systems pushes the boundaries of what you expect from your CT, enabling you to reach the right diagnosis effortlessly, see beyond anatomy, and explore new areas of care.

Revolution-Frontier-Gen-3-hero-Desktop

At a Glance

Elevated Imaging Chain

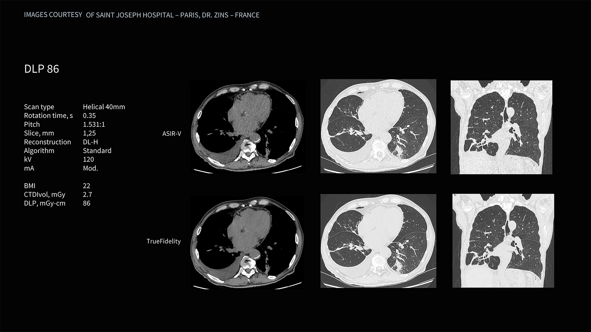
Deep learning image reconstruction, higher special resolution at 0.23 mm

Efficient and sustainable

Auto positioning & remote control for consistent protocol & improved accuracy

Beyond dual energy

Spectral CT with GSI images for precise streamlined interventional guidance

Lower electronic noise

Leverages Gemstone™ Clarity detector for 25% lower electronic noise

Clinical versatility lets you adapt your CT to your patient and not the other way around when no two exams are the same.

Address individual clinical needs, moving seamlessly from one scan mode to the next. Image with a stunning 0.23 mm spatial resolution, then switch to rapid kV switching for full 50 cm FOV spectral imaging of the entire body. Choose up to six times reduction in motion artifact using SnapShot Freeze 2¹ for coronary artery CTA and reduce all-round dose with next-generation iterative reconstruction.

Revolution-Frontier-Gen-3-Testimonial-Nick-Tessier

“The Revolution Frontier Gen 3 provides excellent image quality at low dose. Our radiographers find it easy and intuitive. It has allowed us to scan very quickly, even for emergency neuro imaging, for significant diagnoses in otherwise unscannable patients.”

Mr. Nick Tessier,
Lead Superintendent Radiographer AAU BSc(hons) PgCert West Hertfordshire Hospitals NHS Trust

Auto Positioning for scanning precision, patient comfort, streamlined workflow, and reduced need for re-positioning

Learn more about the Revolution Frontier Gen 3 auto landmark and scout range display, auto centering, and automatic patient positioning.

Auto Positioning: right place, less time.

Automatic scout range display, scan range center identification, scanner alignment of the range center to isocenter of the gantry, table elevation, and cradle movement into the gantry with one click.

Revolution-Frontier-Gen-3-Auto-Positioning-right-place-less-time-feature01-desktop

Auto Landmark and Scout Range Display

Determine landmark locations using deep learning algorithm and display scout scan range on Xtream tablet. Allow visual confirmation and interactive adjustment of the scan range on the touchscreen.

Revolution-Frontier-Gen-3-Auto-Landmark-feature03-desktop

Auto Centering

Determine the scout scan range center and align it with the CT isocenter. Do it accurately upfront and reduce the need for re-positioning. Avoid re-scout resulting from mis-centering.

Revolution-Frontier-Gen-3-Auto-centering-card-feature04-desktop

Automatic Patient Positioning

Automatically position the patient to the start scan location with built-in intelligence. Streamline positioning workflow by minimizing positioning action into a single click operation.

Revolution-Frontier-Gen-3-Automatic-Patient-Positioning-feature02-desktop
revolution-frontier-gen-3-gem-stone-full-width-desktop-cropped
GEMSTONETM

Expand Clinical Capabilities with Gemstone Spectral Imaging for Ultra-Fast Dual Energy Switching and Photo Detection with Negligible Afterglow.

Raw data-based processing reaches accuracy of material separation for characterization and access to monochromatic images with better contrast conspicuity and metal artifact reduction.

Easy-to-Use Remote Control Suite Maximizes CT Workflow Efficiency from Scan to Report

Intelligent and automatic remote solution, drive consistent scan protocol and improve scan accuracy. Minimize the risk of contamination by avoiding unnecessary trips to the gantry room.

Remote Control Suite Streamlines Workflow, Minimizes Risk for Clinicians

Ability to remotely start and end exam from the console room without going into the gantry room; Functionalities built into the console room in order to execute a CT scan.

Revolution-Frontier-Gen-3-Remote-Control-Suite-feature05-desktop

Hardware Remote Control Panel to Start and End Without Entry

Supports Load, Unload, Landmark Internal/External, Laser Alignment Lights, Table Motion (in, out, up, down) at both speeds, and Tilt (if applicable).

Revolution-Frontier-Gen-3-Schematic-feature07-desktop

3 Video Monitoring System to Real-Time Monitor the Patient

3-cameras setup to view patients from front, rear, and side angles. High-definition performance to clearly view gantry laser lines. Desktop monitor with a simple interface and a privacy button.

Revolution-Frontier-Gen-3-Three-video-monitoring-feature06-desktop
Revolution-Frontier-Gen-3-Smart-Subscription-Full-width-desktop-cropped
Smart Subscription

A CT that Keeps Getting Better

Smart Subscription service provides access to the latest capabilities for your devices, whenever you need, for one annual fee per device.

Smart Subscription

Keep Pace with Innovation

The first subscription-based service for CT provides upgrades & updates as soon as they’re available.

Consistency Across Systems

The same capabilities across all your systems, at all your sites providing consistent exams.

Flexibility to Choose

Pick your plan. Includes a broad range of application packages across many different imaging services.

Disclaimers & References

1. As demonstrated in a phantom using iodinated contrast and hydroxyapatite.
2. Mr Nick Tessier and GE HealthCare do not have any contractual relationship beyond the fact of being an end-user of a GE Medical Device

Want to learn more? We would love to meet with you and show you the Revolution Frontier Gen 3.

We're ready to support you in your moments that matter.

Thank you!

We received your request for assistance.

A GE Healthcare specialist will be reaching out shortly.

Something went wrong

We will check and get back.

JB03001UK November 2023