Sie haben kein Konto?
Die Zukunft der MRT hat begonnen
Es sieht so aus, als wären Sie in {} – Sie befinden sich auf der Website für {}
Dieses Land konnte nicht gefunden werden – Probieren Sie es mit der Seite Global GE HealthCare (EN)
Sie werden zur Website für {} weitergeleitet. Produkte und Funktionen können je nach Land abweichen. Möchten Sie fortfahren?
Sie haben kein Konto?
Produkte
Service
Weiterbildung
Die Nachrichten
Über uns
Kontakt
Die Zukunft der MRT hat begonnen
Außergewöhnliches wird zum Standard
SIGNA™Works hebt Ihre MRT-Bildgebung auf ein neues Level. Die SIGNA™Works-Standardanwendungen sind bereits auf dem SIGNA™ Architect als vollständig integrierter Lösung vorkonfiguriert. Die aufgewertete Technologie ist aufrüstbar und lässt sich mit zusätzlichen Anwendungen an den Bedarf Ihrer wachsenden Einrichtung anpassen.
Phänomenale Untersuchungen für Ihren klinischen Bedarf
Das SIGNA™Works Portfolio enthält Bildgebungslösungen für ein breites Spektrum an klinischen Fragestellungen, eine Vielzahl an Kontrasten, 2D- und 3D-Sequenzen sowie Funktionen zur Bewegungskorrektur. SIGNA™Works enthält alle Tools, die Sie für klinische Untersuchungen benötigen.
Erweitern Sie Ihre Expertise
Bringen Sie Ihre Einrichtung mit den innovativen SIGNA™Works Anwendungen auf das nächste Level. Verbesserte Bildqualität, höhere Effizienz und stärker optimierte Workflows steigern Ihre Leistung mehr als je zuvor.
BodyWorks für einen der am schnellsten wachsenden Bereiche der MRT. Diese umfassende Bibliothek ermöglicht die Bildgebung von Abdomen und Becken und gestattet dem Benutzer die flexible Anpassung an unterschiedliche Patiententypen.
Auto Navigator ist die Lösung von GE zur Bekämpfung von Atembewegungen bei abdominellen Aufnahmen. Dieser Ansatz für freie Atmung ist mit mehreren Pulssequenzen kompatibel, darunter Diffusion, PROPELLER MB, MRCP und dynamische T1-Bildgebung.
Unsere intuitiven kardialen Verfahren ermöglichen Ihnen Zugang zu Morphologie, Strömung, Funktion und Gewebevitalität sowie entscheidende Einblicke in Gefäßstrukturen und Strömungsdynamik. CVWorks ermöglicht die flexible Anpassung an verschiedene Patiententypen mit extrem vereinfachten Untersuchungs-Workflows.
Mit CVWorks können Aufnahmen mit mehrfachem Atemanhalten der Vergangenheit angehören. Unsere neuesten Single-Shot-MDE- und Black-Blood-Verfahren bieten patientenfreundliche Alternativen zum unangenehmen Luftanhalten.
Die QuickStep-Protokolle mit vereinfachtem Workflow ermöglichen Scans der Blutgefäße des gesamten Körpers in weniger als 6 Minuten. Hochleistungsgradienten ermöglichen die Darstellung von Bright-Blood-Pools und Myokardgewebekontrast mittels Cine FIESTA bei gleichbleibender räumlicher Auflösung.
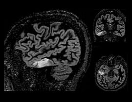
Diese Komplettlösung ermöglicht die Darstellung von Gehirn, Wirbelsäule, Gefäßsystem und peripherem Nervensystem mit außergewöhnlichem Gewebekontrast. Mit ihren bewegungsunempfindlichen Techniken ermöglicht sie die automatische Ausrichtung mit nur einem Klick und stellt eine vollständige Neurologie-Lösung vom Scan bis hin zur Nachbearbeitung bereit.
NeuroWorks beinhaltet auch Cube, unsere Suite für volumetrische 3D-Bildgebung, die für jedes System Standard ist. Mit dieser Anwendung können Sie die Hirn- und Rückenmarkflüssigkeit und entweder die weiße oder die graue Substanz unterdrücken, um die Sichtbarkeit von Läsionen zu erhöhen.
PROPELLER MB, unsere neueste Erweiterung von PROPELLER, ist ein Multi-Shot-Ansatz, der den Gewebekontrast unabhängig von der Gewichtung beibehält und zudem Bewegungsartefakte reduziert. Zusätzlich werden mit dieser neuen Technologie auch neue Kontraste wie T1 FSE eingeführt.
Diese umfassende Bibliothek von Techniken umfasst anatomische und morphologische Daten und bietet damit einzigartige Möglichkeiten zur onkologischen Beurteilung. OncoWorks bietet einen robusten Gewebekontrast, Unempfindlichkeit gegenüber Patientenbewegungen sowie eine hohe zeitliche und räumliche Auflösung.
Die volumetrische 3D-Bildgebung mit optimierter adiabatischer Fettunterdrückung, kombiniert mit ARC oder ASSET, ermöglicht eine hohe räumliche und zeitliche Auflösung zur Erfassung von Mustern der Kontrastmittelaufnahme. Die dynamische axiale FSPGR-Aufnahme zeigt Läsionseigenschaften, die mithilfe der AW VS7-Karte für die positive Verstärkung generiert wurden. Das T2 PROPELLER-Bild zeigt ein kleines Sichtfeld und Bewegungskorrektur an der Prostata.
Diese Komplettlösung ermöglicht die Bildgebung von Gehirn, Wirbelsäule, Gefäßsystem und peripherem Nervensystem mit außergewöhnlichem Gewebekontrast. Enthält ReadyBrain zur automatischen Ausrichtung mit nur einem Klick und unterstützt die Patientenplanung mit Nachbearbeitung.
Diese umfangreiche Bibliothek von Bildgebungstechnologien für den Bewegungsapparat ermöglicht die Bildgebung von Knochen, Gelenken und Weichteilgewebe mit bemerkenswertem Gewebekontrast.
OrthoWorks beinhaltet die 3D PD Cube, kombinierbar mit ASPIR, für eine erhöhte Homogenität der Fettunterdrückung, für die routinemäßig drei separate 2D-Scans erforderlich sind. Mit nur einer 3D-Aufnahme und der Reformatierung in alle benötigten Ebenen kann die 3D Cube die einzelnen 2D-Scans ersetzen.
Die pädiatrische Bildgebung erfordert exklusive, charakteristische Bildgebungsverfahren, die leichte Bedienbarkeit und klinische Exzellenz für Ihre kleinsten und empfindlichsten Patienten bieten.
PaedWorks bietet spezielle Protokolle zur Berücksichtigung der Bedürfnisse Ihrer kleinsten und empfindlichsten Patienten. Techniken wie PB-Navigatoren in Kombination mit PROPELLER MB werden zusammen mit fortgeschrittenen Technologien wie Diffusionsbildgebung eingesetzt, um patientenfreundliche Untersuchungen bei vollkommen freier Atmung zu ermöglichen. Zusätzlich liefern Herzuntersuchungen mit Single-Shot-MDE schnellere und zuverlässigere Ergebnisse.
Die vier Bilder zeigen dynamische T1-Aufnahmen mit PB-Navigator, die dem Patienten das freie Atmen ermöglichen und gleichzeitig den Kontrast in schnellen Zeitphasen erfassen. Einschätzungen der gesamten Wirbelsäule lassen sich mit T2 frFSE-Routineaufnahmen problemlos vornehmen.
HyperWorks steht für hervorragende Bildgebung und unübertroffener Geschwindigkeit mit bis zu 8-mal schnelleren Sequenzen.
HyperCube
HyperCube erweitert die Kapazitäten der 3D-Bildgebung und ermöglicht eine erhebliche Reduktion der Scan-Zeiten sowie die Beseitigung von Bewegungs- und Aliasing-Artefakten durch Verringerung des Phasen-Bildfelds, ohne dass Aliasing-Artefakte entstehen.
HyperBand
HyperBand befördert Ihre Diffusionsbildgebung auf ein neues Level, nehmen Sie innerhalb eines normalen Scans mehr Schichten oder Diffusionsrichtungen auf. FA-Farbkarten und FiberTrak-Bilder werden mithilfe der TDI 48-Kanal-Kopfspule bei einem HyperBand-Faktor von 6 aufgenommen.
HyperSense
HyperSense ist eine Beschleunigungstechnik, die auf der Erfassung geringer Datenmengen und iterativer Rekonstruktion basiert. Mit dieser Anwendung können Sie Bilder mit einer höheren räumlichen Auflösung erzielen oder die Scandauer verkürzen. Ihre Bildgebungsverfahren werden somit beschleunigt, ohne dass Sie die üblichen Nachteile der herkömmlichen Parallel-Bildgebung in Kauf nehmen müssen. HyperSense kann auch mit anderen Beschleunigungsmethoden (ARC) kombiniert werden, um ein besseres Signal-/Rauschverhältnis mit kürzeren Scanzeiten zu erreichen.
ImageWorks bietet eine erhebliche Steigerung Ihrer MRT-Gesamtleistung. READYView Visualisierung und MAGiC-Scans in nur einem Schritt tragen dazu bei, konsistente und eindeutige Ergebnisse sicherzustellen.
MAGiC
Das Geheimnis von MAGiC liegt in seiner einzigartigen Fähigkeit, mehrere Bildkontraste in nur einem Scan zu ermöglichen. MAGiC bewirkt eine höhere klinische Flexibilität, weil es Zeit für eine fortgeschrittene Bildgebung freisetzt. MAGiC stellt ergänzende parametrische Daten zugunsten eines vollständigeren Bildes bereit und geht damit über den Standard hinaus. Der Bildkontrast kann durch einfache Anpassungen nach der Aufnahme geändert werden.
READYView
Wenn READYView in der MRT-Bedienkonsole direkt verfügbar ist, beseitigt es zeitraubende Nachbearbeitungsschritte und beschleunigt damit den Workflow und die Auswertungsbereitschaft.
cmr
cmr⁴² ist eine umfassende kardiovaskuläre Nachverarbeitungslösung, die mithilfe automatisierter Algorithmen die Gewebecharakterisierung, -darstellung und -funktion sowie die Strömung bewertet.
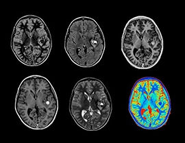
NeuroQuant
NeuroQuant segmentiert und misst automatisch die Volumen von Hirnstrukturen und vergleicht diese Volumen mit Normwerten. Anhand solcher Informationen unterstützt es die Diagnosestellung und die Beobachtung des Krankheitsverlaufs. NeuroQuant stellte Bericht zu einer Vielzahl klinischer Aspekte bereit, darunter zu altersbedingter Atrophie, Hippocampus-Volumenasymmetrie, Atrophie mehrerer Strukturen, Triage der Hirnatrophie, Gehirnentwicklung und allgemeiner Morphometrie.
SilentWorks ist die fortschrittlichste Technologie von GE zur Geräuschreduktion. Bisher konnten MRT-Untersuchungen extrem geräuschvoll sein. Mit SilentWorks wird der Geräuschpegel auf Zimmerlautstärke gebracht.
SilentWorks ist für alle Anatomien erhältlich und kann mit unterschiedlichen Gewichtungen und Spulen, inkl. DWI, ausgeführt werden. Techniken ganz ohne Echozeit (Zero TE) ermöglichen die Aufnahme vaskulärer Strukturen mit weniger Artefakten, als sie bei herkömmlichen Scans meist anzutreffen sind. Mit zusätzlichen Verbesserungen wie 3D Silenz und PROPELLER MB verkürzt sich Ihre Untersuchungszeit ohne Abstriche an der Qualität.
ViosWorks verringert Komplexität und Kosten für die kardiale Bildgebung. Zum ersten Mal können in einem kardiovaskulären Scan alle 7 Informationsdimensionen innerhalb von maximal 10 Minuten erfasst werden.
ViosWorks von Arterys™ bietet detaillierte quantitative Messungen von Fluss und Regurgitation sowie Schlagvolumen. Dicke, Masse und Ejektionsfraktionen können ebenfalls mit dieser präzisen und nicht-invasiven Lösung berechnet werden.
Diese Komplettlösung ermöglicht die Darstellung von Gehirn, Wirbelsäule, Gefäßsystem und peripherem Nervensystem mit außergewöhnlichem Gewebekontrast.
Diese umfassende Bibliothek von Techniken umfasst anatomische und morphologische Daten und bietet damit einzigartige Möglichkeiten zur onkologischen Beurteilung.
HyperWorks steht für hervorragende Bildgebung und unübertroffener Geschwindigkeit mit bis zu 8-mal schnelleren Sequenzen.
ImageWorks bietet eine erhebliche Steigerung Ihrer MRT-Gesamtleistung. READYView Visualisierung und MAGiC-Scans in nur einem Schritt tragen dazu bei, konsistente und eindeutige Ergebnisse sicherzustellen.
Kontakt
Wir haben Ihre Anfrage erhalten.
Ein Spezialist von GE Healthcare wird sich in Kürze mit Ihnen in Verbindung setzen.