• Land/Sprache ändern

    Es sieht so aus, als wären Sie in {} – Sie befinden sich auf der Website für {}

    Abbrechen

    Land und Sprache ausgewählt

    Sie werden zur Website für {} weitergeleitet. Produkte und Funktionen können je nach Land abweichen. Möchten Sie fortfahren?

    Weiter
    Abbrechen

Fortschrittliche Bildgebungssoftware zur Erkennung, Quantifizierung und Bewertung von Koronarkalk. Sofort.
 

Kardiovaskuläre Erkrankungen gehören zu den weltweit häufigsten Gesundheitsproblemen. Wie bei zahlreichen anderen Erkrankungen spielen Früherkennung und Risikobeurteilung eine wichtige Rolle bei der Prävention bzw. Minimierung von langfristigen negativen Beeinträchtigungen. Jedoch wird diese Erkrankung in vielen Fällen erst diagnostiziert, wenn der Patient mit Symptomen vorstellig wird. Herkömmliche Risikobewertungsmethoden können kostspielig, zeitaufwändig und belastend für den Patienten sein. Eine kosteneffiziente und patientenfreundliche Risikobeurteilungsmethode ermöglicht es Ärzten, ihren Patienten eine Diät zu verordnen, um das Risiko von schwerwiegenden Herzerkrankungen zu verringern.
 

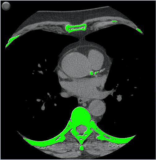
SmartScore 4.0 dient zur Erkennung und Messung von örtlich und insgesamt vorhandenem Koronarkalk anhand eines CT-Scans sowie zur Ermittlung von Kalkscores. Diese Werte können mit der Agatston/Janowitz (AJ)-Methode berechnet werden. Im Zusammenhang mit den persönlichen Patientendaten kann anhand dieses Werts für den Patienten eine Schätzung des Risikos für das Auftreten einer Koronararterienerkrankung abgegeben werden.

Highlights

1. Nicht-invasive Alternative zu herkömmlichen Beurteilungsverfahren
2. Der Wert kann mit der entsprechenden Altersgruppe in Bezug gesetzt werden, um das Patientenrisiko im Vergleich zur entsprechenden Population zu ermitteln.
3. Liefert Informationen über die Bildung von Kalziumplaque in den Koronararterienwänden
4. Erkennt automatisch Kalk und hebt ihn grün hervor
5. Patientendaten des CT-Scanners werden direkt mit dem SmartScore-Programm vernetzt, um den Arbeitsablauf zu rationalisieren.
6. Mit einer Freihandkurve können bestimmte ROIs umzeichnet werden.

ies-do-not-clone-advanced-visualization-applications-smartscore-aw-smartscore-overview.jpg

Merkmale

  • Bei der AJ130-Scoringmethode wird die herkömmliche Agatston-/Janowitz-Technik auf Basis eines Schwellenwertes von 130 HU verwendet, der an die geeignete Schichtdicke des Bildes angepasst wird.
  • Beim Volumenscoring wird das Volumen (in mm3) der kalzifizierten Plaque oberhalb des Schwellenwerts von 130 HU berechnet.
  • Beim Massenscoring wird die Masse (in mg) der kalzifizierten Plaque oberhalb des Schwellenwerts von 130 HU berechnet.
  • Für jeden Arterientyp werden einzelne und zusammengefasste Scores berechnet.
  • Zwei Kalziumscoringmethoden
  • Standortbasierte Vorkonfiguration von benutzerdefinierbaren Parametern möglich
  • Die Benutzeroberfläche wurde im Hinblick auf einen vereinfachten Arbeitsablauf und eine schnellere Auswertung entwickelt.
  • Berichterstellungsoptionen ermöglichen eine individuelle Konfiguration der Berichte und deren Übermittlung in verschiedenen Formaten.

Systemvoraussetzungen

  • EKG-Monitor mit Recorder und strahlendurchlässigem Ableitungskabel
  • Aktualisierungspaket für die Gantry-Hardware bei bereits im Betrieb befindlichen Scan-Systemen

Mindestversion der Plattform

  • Software für Advantage Workstation 4.2P oder höher 
  • AW Server 2  

Verwendungsbereiche

SmartScore ist eine nicht-invasive Softwareoption zur Beurteilung von kalzifizierter Plaque in den Koronararterien, einem möglichen Risikofaktor für Koronararterienerkrankungen. Sie eignet sich zur Überwachung des zunehmenden/abnehmenden Koronarkalks im Laufe der Zeit und somit zur genaueren Prognose von möglichen Herzerkrankungen.

Weitere Bildgebungssoftware nach Modalität anzeigen

Erweiterte Visualisierung für CT
ico-laptop
Advanced Visualization für die interventionelle Bildgebung
Erweiterte Visualisierung für MR
Erweiterte Visualisierung für PET

Weitere Bildgebungssoftware nach klinischem Fachbereich anzeigen

Erweiterte Visualisierung für Kardiologie
Erweiterte Visualisierung für Neurologie
Erweiterte Visualisierung für Onkologie
ico-settings
Erweiterte Visualisierung für RT
Advanced Visualization für Gefäßstudien