• Land/Sprache ändern

    Es sieht so aus, als wären Sie in {} – Sie befinden sich auf der Website für {}

    Abbrechen

    Land und Sprache ausgewählt

    Sie werden zur Website für {} weitergeleitet. Produkte und Funktionen können je nach Land abweichen. Möchten Sie fortfahren?

    Weiter
    Abbrechen

FastStroke mit StrokeSens LVO

Neurologie

AW-FastStroke-with-StrokeSens-LVO-HERO-1200x400
Vollautomatische Verarbeitungsplattform für CT-Untersuchungen ischämischer Schlaganfälle.

Automatisierung für Ihren CT-Schlaganfall-Workflow und Erleichterung der Kommunikation zwischen Teammitgliedern

Automatisieren Sie die Bearbeitung von ischämischen Schlaganfällen mit dem automatisierten Arbeitsablauf von FastStroke, einschließlich StrokeSENS LVO1-Erkennung sowie automatisierter E-Mail-Kommunikation2 an das Schlaganfall-Team.

FastStroke mit StrokeSENS* LVO

Vollautomatische Verarbeitungsplattform für CT-Untersuchungen ischämischer Schlaganfälle

FastStroke bietet eine umfassende Workflow-Lösung für die Überprüfung von Schlaganfall-Untersuchungsbildern mit außergewöhnlicher Flexibilität, Einfachheit und Zuverlässigkeit. Dabei handelt es sich um einen optimierten Ansatz, der sich intelligent an Ihre Scanverfahren anpasst und es Ihnen ermöglicht, Ergebnisse nach einer optimierten und konsistenten Methode zu überprüfen, nachzubearbeiten und weiterzugeben. FastStroke kann die erstellten Bilder automatisch verarbeiten und diese per E-Mail an Ihr Schlaganfallteam senden.

FastStroke_with_StrokeSens-LVO-fullwidth

Nahtlose Integration in die StrokeSENS* KI-basierten Nachbearbeitungstools von Circle Neurovascular.

StrokeSENS LVO1

StrokeSENS LVO verwendet KI zur Erkennung von Verschlüssen großer Gefäße (LVO) in CT-Angiographien. StrokeSENS LVO benachrichtigt innerhalb von Minuten nach Erhalt des CTA-Bildes automatisch das Schlaganfallteam über vermutete LVO-Fälle und unterstützt so den frühzeitigen Einsatz des Schlaganfallteams. Wenn ein LVO erkannt wird, wird auf das DICOM-Eingabebild „Verdacht auf LVO“(CTA oder 1. Phase von MCTA) geschrieben, und die Ergebnisse werden automatisch in die E-Mail-Benachrichtigung aufgenommen, um das Schlaganfallteam über den zeitkritischen Fall zu informieren.

S-Curve-FastStroke-with-StrokeSens-02

Automatisieren Sie die Bearbeitung ischämischer Schlaganfälle mit dem automatisierten Workflow von FastStroke

 
  • Workflow ohne Klicks: Hintergrundverarbeitung von LVO1-Erkennung, MCTA und Perfusionsserie5
  • Automatisches Senden von vorverarbeiteten Bildern und Funktionskarten im E-Mail-Format an das Schlaganfallteam2
S-Curve-FastStroke-with-StrokeSens-04

Umfassende Workflow-Lösung für die Überprüfung von Schlaganfall-Untersuchungsbildern

CT ohne Kontrastmittel

Überprüfen Sie das Kopf-CT ohne Kontrastmittel, das automatisch in reformatierten Standardebenen angezeigt wird.

S-Curve-FastStroke-with-StrokeSens-LVO-01

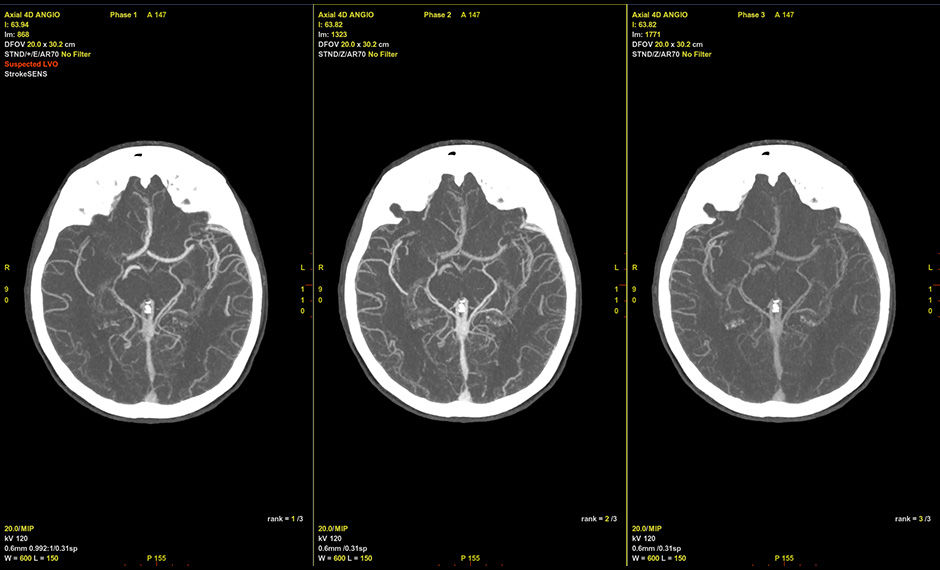
CT-Angiographie

Zeigt CTA-Bilder automatisch in einer dicken 2D-MIP-Ansicht mit optimierten WW/WL-Einstellungen an.
Umfasst die automatisierte LVO-Erkennung und -Meldung von StrokeSENS.1

S-Curve-FastStroke-with-StrokeSens-02

Begleitmaterial

Passt sich intelligent an Ihre Scanverfahren an und synchronisiert bis zu sechs mehrstufige CTA-Durchläufe und ermöglicht so eine dynamische Bewertung des kollateralen Blutkreislaufes.

S-Curve-FastStroke-with-StrokeSens-03

ColorViz

Zeigt eine hochentwickelte fusionierte Ansicht mit Farbdarstellung an, um die Beurteilung des Zeitpunkts der vaskulären Verstärkung zu erleichtern.

S-Curve-FastStroke-with-StrokeSens-05

CT-Perfusion5

Automatisierte Perfusionsverarbeitung zur Erstellung von Funktionskarten.

S-Curve-FastStroke-with-StrokeSens-06

Gewebeklassifizierung

Automatisierte Hirnsymmetrie der Mittellinie und Deep-Learning-Segmentierung der Hirnventrikel.6 Identifizieren/segmentieren Sie Bereiche mit modifizierter Perfusion.

S-Curve-FastStroke-with-StrokeSens-07

Automatisierte E-Mail-Erstellung2

Geben Sie die Ergebnisse sofort an das Schlaganfallteam weiter, sobald die Hintergrundverarbeitung abgeschlossen ist.

S-Curve-FastStroke-with-StrokeSens-08

Zugehörige Links

GEHCSmartSubscriptionNeurologyPackageWebPageOverviewImage1Listing

Neurologie-Paket

Vereinfachen Sie Ihren Arbeitsablauf in der Schlaganfall-CT und verbessern Sie die Kommunikation mit Ihrem Stroke-Team.
aw-ct-perfusion-4d-spotlight-Listing

CT Perfusion 4D Neuro

CT Perfusion 4D Neuro
Overview-Smart-subscription-img

Smart Subscription

Smart Subscription: Ein CT, das immer besser wird Der branchenweit erste abonnementbasierte Service für CT-Anwendungen, mit dem sich Ihr CT-System stets weiterentwickelt.

FUSSNOTEN

* Nicht in allen Ländern erhältlich.

  1. StrokeSENS™ wird von Circle Neurovascular Imaging, Inc. hergestellt. Eine StrokeSENS-Lizenz ist für StrokeSENS LVO in FastStroke vorausgesetzt. Nicht in allen Ländern erhältlich.
  2. Verfügbar für AW Server. Die E-Mail-Lizenz ist möglicherweise nicht in allen Ländern oder Regionen verfügbar. Achtung: Diese E-Mail ist nicht für die Primärdiagnose bestimmt. Informationen zur diagnostischen Interpretation der Ergebnisse finden Sie in PACS oder einer speziellen Befundungsstation. Achtung: Diese E-Mail wurde automatisch ohne vorherige Überprüfung durch den Benutzer generiert.
  3. GBD Stroke Collaborators. Global, regional, and national burden of stroke, 1990–2016: a systematic analysis for the Global Burden of Disease Study 2016. Lancet Neurol 2019; 18:439–58.
  4. 2018 Guidelines for the Early Management of Patients With Acute Ischemic Stroke. A Guideline for Healthcare Professionals From the American Heart Association/American Stroke Association. Stroke. 2018 Mar; 49(3):e46-e110.
  5. Die CT Perfusion 4D Neuro-Lizenz ist eine Voraussetzung für die Berechnung der neurologischen Perfusionskarten in FastStroke.
  6. CT Perfusion 4D Neuro Enhanced-Lizenz erforderlich. CT Perfusion 4D Neuro Enhanced ist möglicherweise nicht in allen Ländern oder Regionen verfügbar.
JB00270DCH July 2023