CARDIOLOGIE
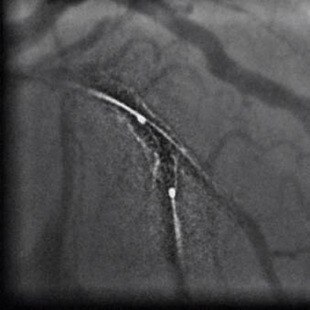
1. La solution PCI ASSIST comprend StentViz et StentVesselViz, qui sont des fonctions des systèmes de radiographie interventionnelle Innova IGS 5, Innova IGS 6, Discovery IGS 7 et Discovery IGS 7 OR.
2. Avec l’option One-touch QA, vendue séparément.
3. Amélioration par rapport au même test sans l'option PCI ASSIST. L'amélioration de la visibilité et de la QI est mesurée sur Innova IGS 530 grâce à des fantômes utilisant différentes épaisseurs de plexiglas, des paramètres d'acquisition et la roue à rayons NEMA (réf 1), qui calcule le rapport du contraste des câbles mobiles et du niveau de bruit de fond. Le niveau d'amélioration de la qualité d'image lié à PCI ASSIST dépend des paramètres d'acquisitions, de la procédure clinique réalisée, de la taille du patient, des mouvements de l'image, de l'emplacement de la structure anatomique et des méthodes employées par l'établissement. Réf 1 : A new tool for benchmarking cardiovascular fluoroscopes; S. Balter, Radiation Protection Dosimetry, Vol. 94, No. 1-2 pp. 161-166 (2001). Applicable aux systèmes Innova IGS 5 (configurations IGS 520, IGS 530), Innova IGS 6 et Discovery IGS 7 (configuration IGS 730).
1 - PCI ASSIST se rapporte aux fonctionnalités d'Innova IGS 520, Innova IGS 530 et Discovery IGS 730. 2 - Amélioration par rapport au même test sans l'option PCI ASSIST. L'amélioration de la visibilité et de la QI est mesurée sur Innova IGS 530 grâce à des fantômes utilisant différentes épaisseurs de plexiglas, des paramètres d'acquisition et la roue à rayons NEMA (réf 1), qui calcule le rapport du contraste des câbles mobiles et du niveau de bruit de fond. Le niveau d'amélioration de la qualité d'image lié à PCI ASSIST dépend des paramètres d'acquisitions, de la procédure clinique réalisée, de la taille du patient, des mouvements de l'image, de l'emplacement de la structure anatomique et des méthodes employées par l'établissement. Réf 1 : A new tool for benchmarking cardiovascular fluoroscopes; S. Balter, Radiation Protection Dosimetry, Vol. 94, No. 1–2 pp. 161–166 (2001).
Planifier
Guider
Évaluer