INTERVENTIONS OSSEUSES
INTERVENTIONS AU NIVEAU DU RACHIS
Tissus mous
EMBOLISATION PERCUTANÉE DES ENDOFUITES DE TYPE II
Publications
2 - Conditions de mesure : système avec table Innova-IQ ou table Omega V, fantôme géométrique rigide, données CBCT, plan frontal, bras vertical à 0 degré, région d’intérêt de 10 cm.
3- 3DCT HD est une option vendue séparément. 3DXR inclus. Nécessite une station de travail AW et Volume Viewer.
1 -La solution NEEDLE ASSIST inclut TrackVision 2 et Stereo 3D ; elle requiert le poste de travail AW équipé de Volume Viewer et Volume Viewer Innova. Ces applications sont vendues séparément.
Planifier
Guider
Évaluer
Guider
Planifier
Guider
Évaluer
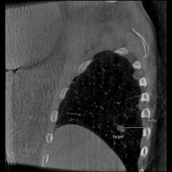
Planifier
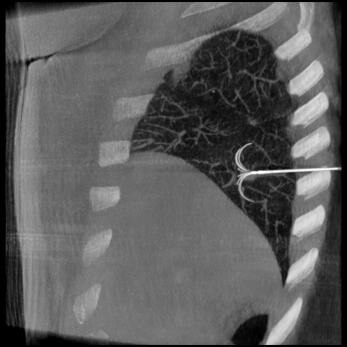
Guider
Évaluer