Watch to see how easy your first MR can be


You are ready for MR

Green from site to scan
- Small footprint for easier siting
- 25% lower power rating
- Up to 70% less helium consumption over its lifecycle

What learning curve?
- An intuitive, anticipatory user experience close to what you use every day
- Technologists can learn to use MR in a matter of hours
- Remote support


AI is here to help

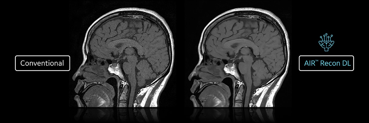
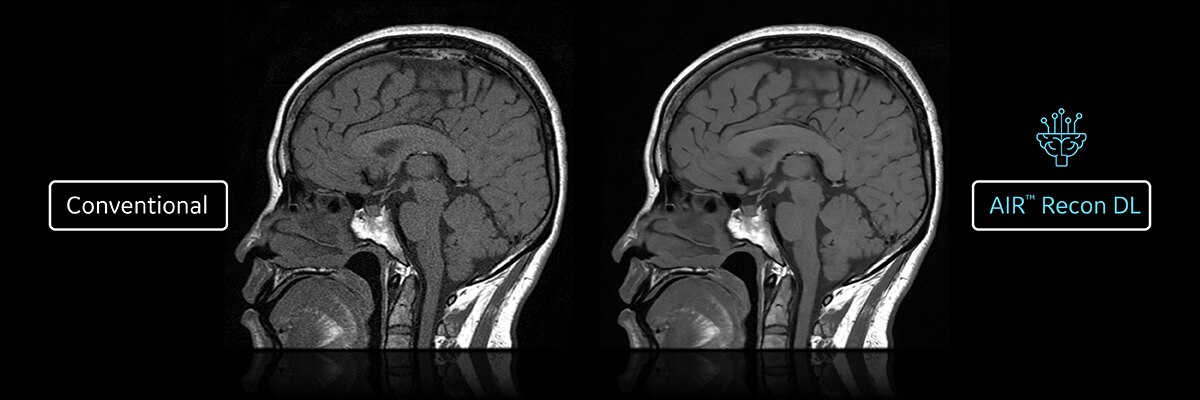
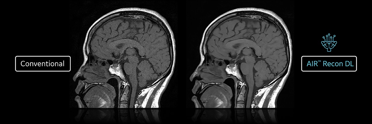
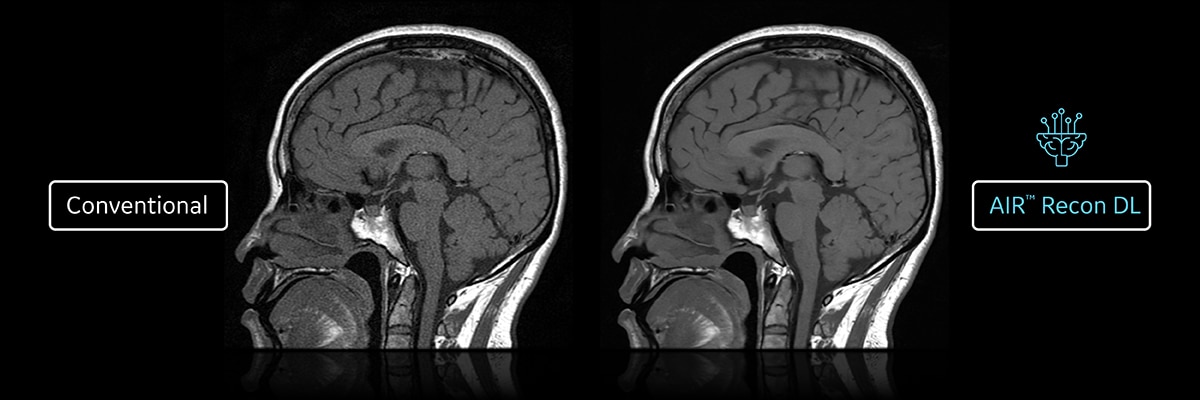
Neuro - 6:06 min with AIR™ Recon DL
Lumbar Spine - 5:46 min with AIR™ Recon DL
Knee - 4:49 min with AIR™ Recon DL
