Features
- BrainWave PA lets you interactively view and edit fMRI data. It can reside on the scanner or on your AW station.
- Software reads volumetric T1-weighted acquisitions in addition to fMRI acquisitions.
- Processing steps for fMRI data include:
- Six parameter rigid body motion correction via registration to the first volume.
- Spatial filtering.
- Segmentation of the anatomical data so that outer layers of non-brain signal are removed.
- Registration of fMRI data sets to the structural data set.
- Calculation of statistical maps corresponding to task-based activation.
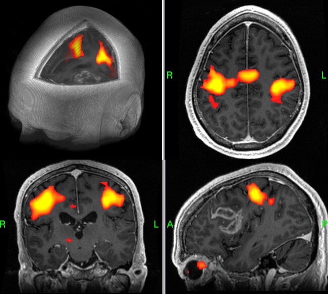
- Formation of Burnt In Pixel (BIP) maps outlining the area of activation in white on the structural scan.
- Calculation of DTI fiber tracks (option with BrainWave Fusion).
- View functional data overlaid on the structural image in 2D or 3D renderings. Add annotations or change color and opacities.
- BrainWave Fusion (option) lets you display white matter tracks with functional data on a high-resolution anatomical image.

System Requirements
CT Advanced Visualization
Interventional Advanced Visualization
PET Advanced Visualization
Cardiology Advanced Visualization
Oncology Advanced Visualization
RT Advanced Visualization
Vascular Advanced Visualization