• Change country/language

    Looks like you’re in {} — you’re on the {} site.

    Cancel

    Country and language selected

    You are being redirected to the {} site. Products and services availability vary by country. Do you wish to continue?

    Continue
    Cancel

Stroke Solutions

Timely, innovative solutions for your Stroke program.

Stroke-Solutions-1200x400

Providing Solutions across the complete pathway of care

Providing Solutions across the complete pathway of care. As the second leading cause of death globally, Stoke continues to represent a serious burden to Health Economies. Stroke care pathways are changing and demand specifically developed solutions to deliver improved clinical outcomes.

Our portfolio encompasses the whole stroke pathway with technologies that enable prevention, diagnosis, treatment, follow-up and rehabilitation of stroke and TIA. Our mission is to work closely with our institutional partners to identify and understand the key challenges in managing stroke patients and delivering better outcomes and focusing our research and engineering efforts to develop solutions that address the emerging challenges.

While rapid stroke detection can save a life or minimize stroke-related disabilities, managing risk factors can prevent 80% of strokes.1 Detection tools can help patient avoid TIA or stroke.
<p>SEER 1000 Holter Monitor</p>
Read More
<p>CardioDay v2.5 Software Analysis</p>
Read More
<p>Algorithm Server</p>
Read More
Rapid transport and triage with pre-notification and transfer of vitals to an interventional facility give patients the best chance of a full recovery.2 Monitoring systems during critical moments can save time and improve outcomes.
<p>CARESCAPE™ Monitoring Solutions</p>
Learn More
<p>ApexPro CH/FX Telemetry</p>
Read More
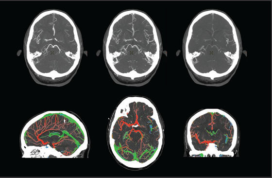
A patient with suspected TIA or stroke receives a general and neurological examination followed by diagnostic brain imaging, performed immediately on arrival so that treatment can be started promptly. 3 Optimal scanning coupled with workflow applications and protocols designed for stroke help deliver accurate and quick diagnosis to impact patient outcomes.
<p>Revolution brand of CT systems</p>
Read More
<p>FastStroke CT Application</p>
Read More
<p>Fast Brain protocol with HyperWorks</p>
Read More
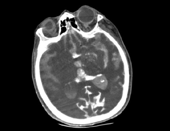
Acute ischemic stroke is a complex disease and successful endovascular treatment is based on the comprehensive ability to rapidly integrate multiple pieces of information.4 Initiate Intravenous thrombolysis (IV-tPA) if less than 5 hours of ischemic stroke. Initiate mechanical thrombectomy within 6 hours of onset of large vessel stroke (MCA territory). Fast interventions with accurate imaging can help reach lesions quickly to help improve patient outcomes.
<p>IGS 630 with Advantage Workstation</p>
<p>Innova CT HD</p>
Learn More
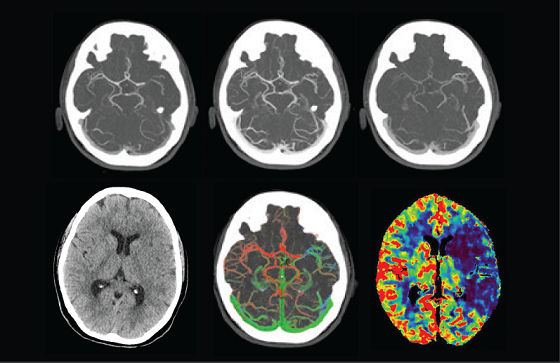
The goal is to prevent recurrent stoke or TIA by identifying risk factors like Afib, individualized rehabilitation and deciphering the most likely stroke mechanism.
<p>SIGNA™ Premier MR with 48 ch coil, Hyperband and eDWI</p>
Learn More
<p>LOGIQ Ultrasound</p>
Read More
<p>Ambulatory ECG</p>
Read More
JB04824XX