• Change country/language

    Looks like you’re in {} — you’re on the {} site.

    Cancel

    Country and language selected

    You are being redirected to the {} site. Products and services availability vary by country. Do you wish to continue?

    Continue
    Cancel

Voluson™ Performance 18 Women’s health ultrasound

Women’s health ultrasound you’ll fall in love with

voluson-performance-18
When you know, you know

You've found the one

Voluson takes our commitment to women’s health ultrasound even further with the next evolution of the Voluson Performance series. It builds on its strengths, combining powerful, modern advancements with the reliability you trust. One-touch image optimization, time-saving automation, and highly-intuitive tools—it’s everything you need, in one perfect package.

At a glance

Enhance your workday with leading AI-based technology and progressive tools that simplify and speed up exams. Automate manual tasks and calculations to save time, increase consistency, and improve accuracy.

65%

Routine 2nd tri exam keystrokes reduced by 65% with SonoLyst

49%

Reduce time to assess fetal heart by 49% with fetal HS

88%

Segment fibroids with 88% accuracy using Fibroid Mapping

50%

Acquire the coronal view of the spine in 1/2 the time using Spine Trace.

Spread the love

Pin your heart

The new Voluson Performance 18 is here to steal your heart. Show your love for our latest ultrasound innovation by adding your heart to the map — just click on the link below and pin your heart. You will also gain access to free education to make your everyday easier.

AI & automation

The right workflow feels effortless

Artificial Intelligence (AI) has become part of our everyday lives – reducing repetitive tasks and simplifying daily routines. It also plays an important role in women’s health – helping to improve the delivery of care and efficiency of ultrasound exams.

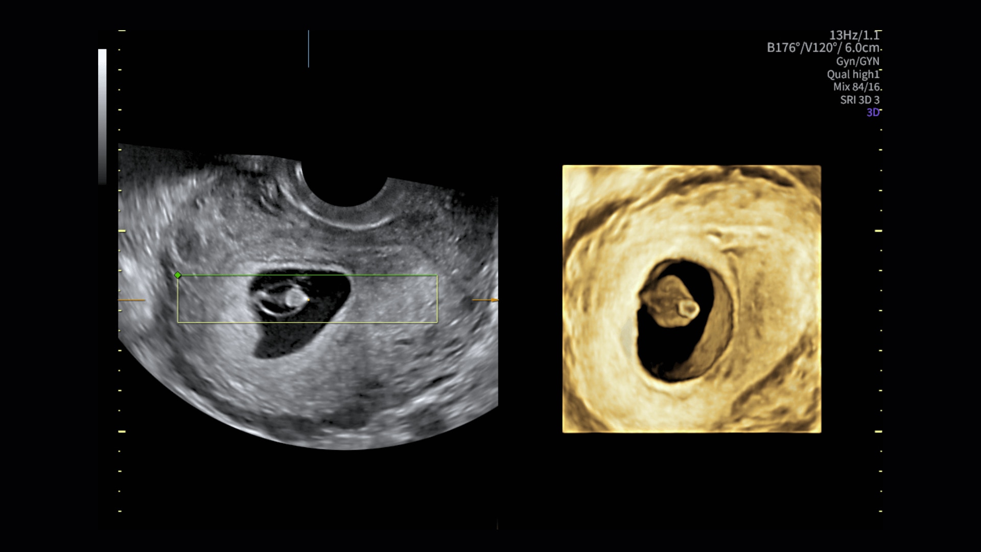
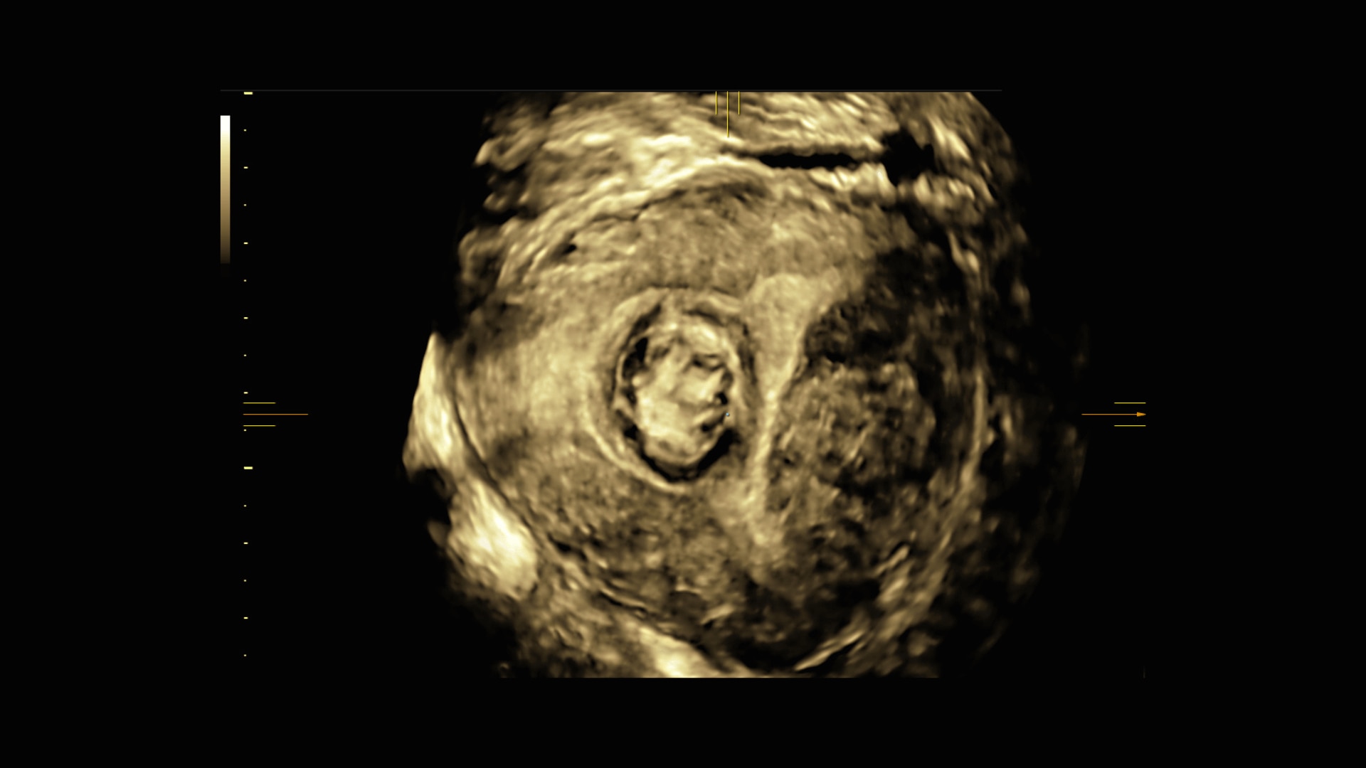
Image quality

Excellent images that are easy to acquire

voluson-performance-18-image-quality

Image quality is everything in ultrasound

The Voluson Performance 18 delivers high-resolution, detailed imaging with one-touch optimization for effortless scanning—helping you deliver quick, confident answers across a wide range of patient.


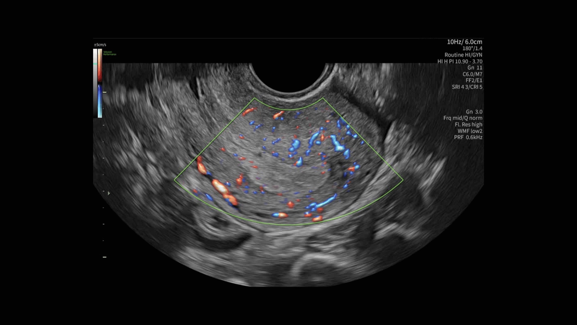
Radiantflow™

Fast, easy 3D-like blood flow visualization

Radiantflow delivers exceptionally sensitive, next level color Doppler for easy fast visualization of blood flow revealing even the tiniest vessels.

Vidyard video
Hero Banner Image

Flow Profiles

Go with the flow

Flow Profiles dramatically simplifies color and spectral Doppler optimization by utilizing predefined, optimized settings. Flow Profiles can reduce Doppler exam time by up to 56%.

flow-profiles

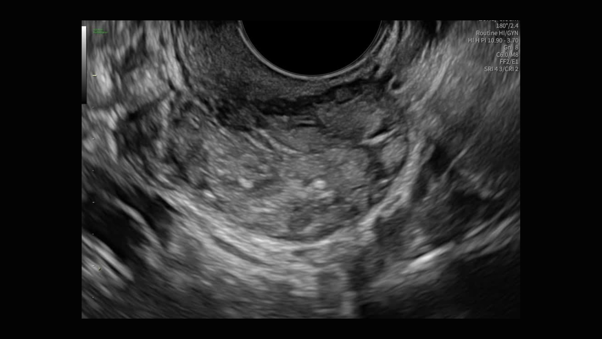
Shadow Reduction

Confident answers

Shadow Reduction decreases shadows on B-mode imaging that can obscure adjacent structures, helping restore tissue information and borders.

shadow-reduction
User experience
Modern, user-friendly design

With a compact footprint and powerful imaging capabilities, the everyday workhorse is small and mighty—and with customizable options, it’s truly made for you.

Touch panel

Combines classic Voluson workflow with a new touch panel for a seamless and intuitive experience.

touchpanel
Always ready to go

Battery operation with fast wake from sleep means your Voluson Performance is always ready to go.

always-ready-to-go
Voice Control

The “Hey Voluson” feature allows you to operate your system using voice control, saving time and keystrokes.

voice-control
Share images easily

Connect and share images with your patients via QR code using Voluson Image Portal.

image-portal
Personalization

With over a 180 million ways to personalize, make the system yours with tailored options and applications engineered for your clinical specialty.

personalizing-options
Wireless probes

Wireless probes are now a reality with the system that supports both Vscan Air™ wireless CL and SL options, sector and linear options.

wireless-probes
Support Excellence

A complete digital and lifecycle solution

Get more out of your ultrasound system—more services, more support, and more future-focused solutions that can take you further. Connecting your system enables even faster ways to and leverage our entire ecosystem of digital solutions, lifecycle, educational support and the Voluson community.

Resources

Education & Training

Leverage our clinical and technical education solutions as well as training support to help you provide the highest quality of care and achieve operational excellence.

Voluson Club

The only ultrasound community dedicated to the education and collaboration of women’s health practitioners to help expand your expertise and your practice.

Voluson Image Portal

Easily share selected images with patients directly from your Voluson ultrasound system.

Verisound™

Verisound™ Collaboration

Secure, virtual, real-time collaboration tools. Utilize to seek advice, connect with colleagues, solicit second opinions, or engage patient family members.

Verisound™ Fleet

Cloud-based solution that lets you manage devices remotely from one central location. Monitor devices across your fleet and view, back up, and deploy device configurations remotely.

Verisound™ Reporting

ViewPoint™ 6 is a dedicated ultrasound reporting and image management solution with enhanced features to help improve workflow.

Solutions

Probe Repair and Hygiene Solutions

A continuum of support for your probes, including disinfection and hygiene solutions. Stay a step ahead with Probe Check, which assesses the health of your probes and can alert you to potential issues.

Performance optimization solutions

Maximize the performance, workflow, and utilization of your Voluson ultrasound system using Imaging Insights, iCenter Performance Management tools, and other digital solutions.

Maintenance, repair, and remote support services

Manage your total cost of ownership while improving system uptime with maintenance contracts and features like OnWatch™ proactive monitoring with InSite™ connectivity.

Updates, Upgrades, and Device Protection

Keep your devices secure and running smoothly. Download critical Windows® patches, security updates, and Voluson extension releases with eDelivery.* Protect your ultrasound system from cyberattacks with Voluson’s comprehensive SonoDefense solution.

Related Products

voluson-swift-listing

Voluson™ SWIFT

GE Healthcare Voluson SWIFT ultrasound system is designed to simplify interactions for seamless integration & maximum comfort for women’s health practitioners.
voluson-signature-18-product-card

Voluson Signature 18

Voluson Signature 18 Fast. Forward. It's time to redefine the speed of women's health ultrasound.
Connect with us

Your time is precious. That’s why our sales process is efficient and tailored to your needs. 

 

Want a price estimate, quote, or demo? Our sales experts will provide all the information you need for your decision-making process.

Contact Us

 


We're ready to support you in your moments that matter.

We're Sorry, a problem occurred with the form, please try again.
Thank you for your inquiry.

We will be in touch soon.

JB08462XE May 2025