• Change country/language

    Looks like you’re in {} — you’re on the {} site.

    Cancel

    Country and language selected

    You are being redirected to the {} site. Products and services availability vary by country. Do you wish to continue?

    Continue
    Cancel

SenoBright™ HD

Contrast-Enhanced Mammography advanced application

Reduces the masking effect of breast tissue to reveal what matters1

.

Senobright_Desktop

At a Glance

High sensitivity

Results in accurate breast cancer diagnosis1.

High specificity

For low false-positives and help prevent unnecessary additional exams1.

Quick and efficient

Takes down 7 minutes to perform a Contrast Mammography exam2.
30 CEM exams a day3.

Care for more patients

43% of patients wouldn’t come back for follow-up4.

See differently, see clearly, see in contrast

Provide answers to your patients right away and help them avoid the agonizing wait that comes with an inconclusive exam. Don’t seek, see. Accelerate your ability to make a confident diagnosis.

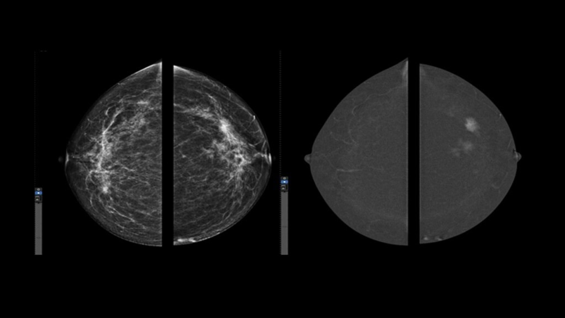
ASTONISHING CLARITY
The image you need is never out of reach

• Helps reduce the masking effect of fibroglandular breast tissue and increases the tumour signal1.
• Contrast agent highlights areas of unusual blood flow.
• CEM is an alternative imaging method to MRI, especially when MRI availability is limited, and for patients for whom MRI is contraindicated5.

Senobright_Feature Hero Desktop
EXCEPTIONAL PERFORMANCE
Improve clinical accuracy

• Find lesions that cannot be seen on routine mammography6,7,8.
• Provide high specificity for low false-positives1.
• With Nira, overall Image quality was better assessed in more than 98% of the images presented by all the readers9.

GROW YOUR PRACTICE
Care for more patients

• Expand to a large population of women who can access this technology for Equitable care.
• Reduce agonizing wait time for women to get to a confident diagnosis.
• Target the 43% of patients who would not come back for follow-up4.

feature-3
BOOST PRODUCTIVITY
Consistently acquire 30 CEM exams a day3

• Filter out false positives to make room for those in true need1.
• Meets reimbursement criterion for this exam without pre-authorization.
• Can perform the imaging exam in less than 7 minutes2, on a machine and with staff women are familiar with.

feature-4
Senobright-hd-educationimage

SenoBright™ HD Contrast-Enhanced Mammography education

Welcome to our digital educational ecosystem designed for SenoBright HD customers to stay at the forefront of advancements in breast imaging.

RELATED PRODUCTS

Discover our breast care solutions

GE HealthCare continues to innovate and improve the mammography experience through Senographe Pristina and supporting products for imaging review, biopsy, and contrast-enhanced mammography.

senographePristina

Pristina™

By listening to radiologists, technologists and patients, the Pristina mammography system was designed to deliver an experience to delight. Today Pristina continues to evolve and expand the ways you journey along the breast care pathway.
Pristina_Serena_listing

Pristina Serena™

Accessibility is critical for accurate biopsy procedures, especially when facing challenging cases. Serena gives you the option of accessing the breast with the newly designed side approach, giving you the versatility to switch to a vertical approach with the turn of a knob, providing exceptional access to lesions.
Serena Bright HD

Serena Bright Mammography Machine

Serena Bright makes it possible to clearly target lesions enhancing with contrast spectral mammography. Leverage the Pristina Serena ease of use with no additional hardware added. Easy scheduling and familiar setting for your patient vs MRI-guided biopsy.
GET IN TOUCH

Have a question? We would love to hear from you.

We're ready to support you in your moments that matter.

Thank you!

We received your request for assistance.

A GE Healthcare specialist will be reaching out shortly.

Something went wrong

We will check and get back.

References

1. 510(k) K172404.

2. Data on file. GE HealthCare 2017.

3. Over 8 hours. Data on file, GE HealthCare 2019.

4. Andrew Mosier DO, Esha Gupta MD, Dana Ataya MD, Kavita Bhatt MD, Alice Rim MD.
March 2017. https//doi.org/10.1111/tbj.12784.

5. Phillips et al. Workflow Considerations for Incorporation of Contrast-Enhanced Spectral
Mammography Into a Breast Imaging Practice, ACR, 2018 https://doi.org/10.1016/ j.jacr.2018.02.0121.

6. Compared to without contrast.

7. J. Sung et al., Radiology 2019; 00:1-8.

8. V. Sorin et al. American Journal of Roentgenology: W267-W274. 10.2214/
AJR.17.1935510(k) K172404.

9. 510(k) K211215. Reader study performed by 3 MQSA qualified radiologists on 50 clinical
images, comparing SenoBright HD with NIRA to current version.

* Superior diagnostic accuracy demonstrated in a reader study comparing the ROC AUC of GE screening protocol (V-Preview + 3D CC/MLO with 3D in STD mode) to that of 2D FFDM alone. V-Preview is the 2D synthesized image generated by GE Seno Iris mammography software from GE DBT images. FDA PMA P130020 http://www.accessdata.fda.gov/scripts/cdrh/cfdocs/cfpma/pma.cfm?id=P130020.
** As compared to Pristina Serena 2D biopsy. Data on file GE HealthCare 2018.

JB07225XE February 2024