• Change country/language

    Looks like you’re in {} — you’re on the {} site.

    Cancel

    Country and language selected

    You are being redirected to the {} site. Products and services availability vary by country. Do you wish to continue?

    Continue
    Cancel

SIGNA Sprint: 1.5T MRI scanner—the power to explore further

SIGNA™ Sprint combines exceptional power at 1.5T with brilliant intelligence from our deep-learning solutions.

Product_Hero_SIGNA_Sprint-_Wide_Bore_MRI_Scanner_Desktop_1

At a glance

Exceptional power

High gradient performance of 65/200 offers optimal clarity

Brilliant intelligence

Built-in AI solutions enable clear, fast imaging for improved workflow

Optimized patient comfort

A wide bore space, AIR™ Coils, and fast scans improve the patient experience

SIGNA Sprint: 1.5T MRI scanner—exceptional power X brilliant intelligence

The demand for advanced diagnostics in cardiovascular disease and oncology has never been higher. It’s time for an MR system that not only meets the moment—but redefines it. Introducing SIGNA Sprint, our powerful next-generation 1.5T MR system with deep-learning intelligence at its core. Designed to expand access, elevate diagnostic precision, and transform the patient experience, SIGNA Sprint unlocks the full clinical potential of MRI.

Rapid, crystal-clear scans

High-performance imaging for cardiac and oncology made simple at 1.5T

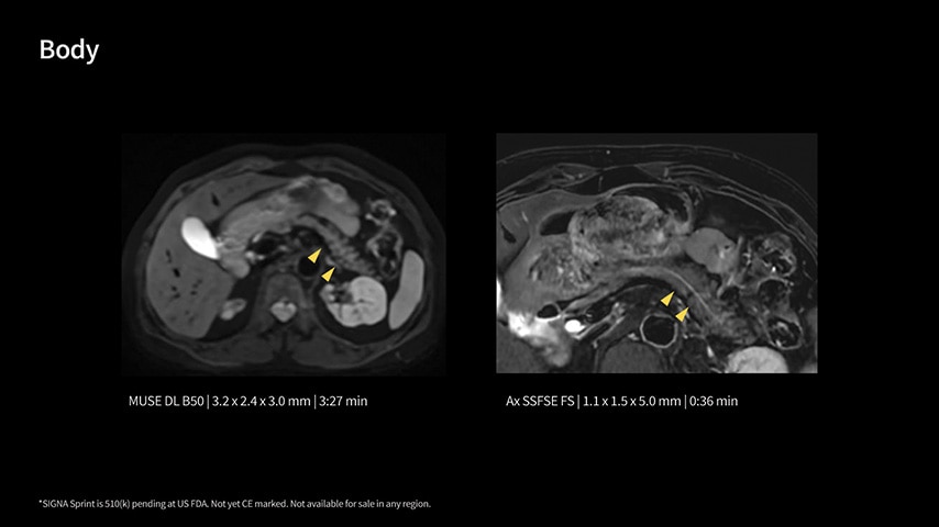
In oncological assessments, diffusion imaging is a critical clinical indicator. SIGNA Sprint offers clearer diffusion, reduced distortion, and improved SNR.¹

Within cardiovascular diseases, the functional assessment of the heart is an essential imaging application. SIGNA Sprint is powered by built-in AI technologies—Sonic DL™, AIR Recon DL and AIR x™—enabling high-quality imaging even in the most demanding anatomies.

Benefits

Wide bore

Accommodates more patient types, helps reduce anxiety, improves comfort during exams

Whole-body comfort

Flexible, lightweight AIR Coil blankets can cover the whole body in one scan

Free-breathing exams

No need for breath holds means cardiac patients can feel the relief of less constriction

Reliable accuracy

Clarity, precision and speed; enable personalized treatment plans earlier

Benefits
Imaging capabilities to unlock the power to explore further
High gradient performance
Meet the rising demand

The growing clinical need within oncology and cardiology requires an MRI scanner that can rise to the challenge. With a high gradient performance of 65/200, SIGNA Sprint helps deliver crystal-clear imaging for ultimate diagnostic confidence. Improved signal-to-noise ratio (SNR) and diffusion, with deep-learning solutions that could enhance diagnostics and treatment response monitoring in your oncology patients.¹ Additionally, the shift from qualitative to quantitative cardiac MRI reduces the time and expertise needed to interpret scans and offers greater consistency and reliability. Helping you to unlock the power to explore further - even in your most challenging cases.

Image generated from Circle CVi.

Vidyard video
Hero Banner Image
Deep-learning intelligence
Unlock your potential

With GE HealthCare's comprehensive suite of deep-learning solutions integrated into SIGNA Sprint, you can unlock the full potential of your MRI system. No need for complicated patient setups or imaging protocols. The exceptional intelligence of our AI solutions offer multiple benefits, with AIR Recon DL giving pin-sharp images, Sonic DL accelerating scans up to 12x, and AIR x enabling automated slice placement. All helping to enhance your department’s workflow efficiency, increase patient throughput, and get the diagnostic clarity you need, faster.¹ Meaning you can spend more time on what truly matters—personalized patient care, enabling optimized treatment plans and treatment response monitoring—ultimately, supporting better clinical outcomes.

Feature_Hero_SIGNA_Sprint_Deep_Learning_2
Exams made easy
Optimize the patient experience

Patient comfort is at the heart of every scan with SIGNA Sprint. Its spacious 70 cm wide bore helps ease anxiety and reduces feelings of claustrophobia, creating a more welcoming experience for every patient. When paired with blanket-like AIR Coils—ultra-lightweight, flexible coils that contour to the body—comfort and coverage go hand in hand. Backed by AI-powered acceleration, SIGNA Sprint enables faster, more efficient scan set-ups, reducing time in the scanner without compromising image quality. For cardiac MRI, free-breathing capabilities make exams simpler and more comfortable, particularly for acutely ill patients. With a large field of view and whole-body imaging potential, we are delivering diagnostic excellence with a truly patient-centered design.

Feature_Hero_SIGNA_Sprint_Exams_Made_Easy_3
Future-proof your investment
Driving sustainable business success

SIGNA Sprint is designed to be a smart, future-ready investment that addresses today’s staffing, efficiency, and cost pressures. As part of GE HealthCare’s Continuum™ upgrade pathway, it offers ongoing software enhancements and is hardware-upgrade ready—ensuring your MR system evolves with your needs and keeps you at the cutting edge without the cost and complexity of constant reinvestment.

Feature hero_SIGNA Continuum_4-v2
features-fullwidth-widen-horizons-desktop
Widen your horizons

GE HealthCare is taking MRI to places it’s never been before

SIGNA Sprint is designed to set new standards for image quality and speed at 1.5T. Delivering diagnostic precision, saving time, and opening doors for research and screening. Empower your team, transform outcomes, and be part of the future of exceptional care.

References
  1. Compared to other GE HealthCare legacy systems.
Get in touch

Learn more about SIGNA Sprint

We're ready to support you in your moments that matter.

Thank you!

We received your request for assistance.

A GE Healthcare specialist will be reaching out shortly.

Something went wrong

We will check and get back.

JB04563UK January 2026