• Change country/language

    Looks like you’re in {} — you’re on the {} site.

    Cancel

    Country and language selected

    You are being redirected to the {} site. Products and services availability vary by country. Do you wish to continue?

    Continue
    Cancel
Valve ASSIST
Simplifying complex structural heart procedures.

Benefits

Plan

Determine implantable device dimensions and select access route easily.

Guide

3D fusion and augmented imaging to guide each procedural step.

Assess

Confirm device location and identify potential regurgitation.

Features
Valve ASSIST 2 for structural heart procedures
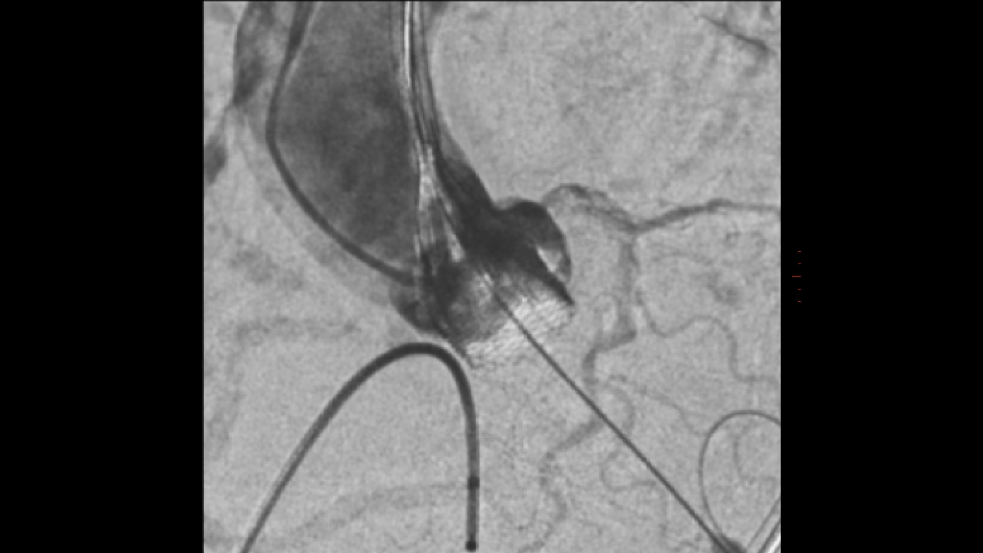
Transcatheter Aortic Valve Implantation
Streamlined workflow for your TAVI procedures

PLAN
0-click aorta segmentation and valve definition makes accurate valve sizing accessible to anyone.
GUIDE
3D fusion guidance enhanced with Calcification Enhancement improves the visualization of moving contrasted structures.
ASSESS
Assess potential regurgitation with exceptional contrast visualization.

With Valve ASSIST 2, improve your patient outcomes in TAVI:

  • 33% reduction in volume of contrast media²
  • 33% reduction in X-ray dose³
1-transcatheter-aortic-valve-implantation-desktop
Left Atrial Appendage Closure
Augmented guidance for more confidence with LAAC

PLAN

Segment the 3D CT images of the left atrium to precisely plan the intervention, including: morphology, ideal landing zone and optimal device size.

GUIDE

3D fusion helps guide each step with confidence, from the trans-septal puncture to the device deployment. Significantly reduce procedure time, while decreasing contrast media & dose.

ASSESS

Once the device is deployed, employ echocardiography to confirm the device location and evaluate compression before releasing the device⁴.

With Valve ASSIST 2, improve your patient outcomes in LAAC⁵:

  • 78% reduction in volume of contrast media
  • 28% reduction in procedure time
  • 25% reduction in fluoroscopy time
2-left-atrial-appendage-closure-desktop
Footnotes
  1. Valve ASSIST 2 solution includes TAVI Analysis, HeartVision 2 and requires AW workstation with Volume Viewer, Volume Viewer Innova. These applications are sold separately.
  2. Shafiq, et al. Effect of a new enhanced fluoroscopy technology (Valve ASSIST 2) on outcomes in patients undergoing trans-catheter aortic valvular replacement. TCT 2017; Abstract
  3. Overtchouk, et al. Advanced image processing with fusion and calcification enhancement in transcatheter aortic valve implantation: impact on radiation exposure. Interactive CardioVascular and Thoracic Surgery (2018) 1–8. doi:10.1093/icvts/ivy136
  4. Ultrasound imaging is not included in Valve ASSIST 2.
  5. Roy, et al. Novel Integrated 3D Multi-Detector Computed Tomography and Fluoroscopy Fusion for Left Atrial Appendage Occlusion Procedures . Catheter Cardiovasc Interv2017;Mar 17, DOI:10.1002/ccd.26998
Get in touch

Have a question? We would love to hear from you.

We're ready to support you in your moments that matter.

Thank you!

We received your request for assistance.

A GE Healthcare specialist will be reaching out shortly.

Something went wrong

We will check and get back.

JB04090UK March 2025