• Change country/language

    Looks like you’re in {} — you’re on the {} site.

    Cancel

    Country and language selected

    You are being redirected to the {} site. Products and services availability vary by country. Do you wish to continue?

    Continue
    Cancel

Revolution™ Vibe

A new vision for every heart

pdp-hero-revolution-vibe-desktop

At a glance

Consistent, exceptional image quality for every patient

Designed to provide consistent, high-quality imaging even in challenging patients

Effortless Cardiac workflow for every user

Leverages AI to streamline scanning and help reduce dependency on user experience

Elevate your success with lower lifecycle costs

Maximizes efficiency, enhances expertise and ensures better economic outcomes

Cardiac CT has become a front-line, non-invasive imaging tool for diagnosing, treatment planning and monitoring of cardiovascular disease

Healthcare providers are striving to improve patient health but are struggling with increasingly complex exams, insufficient or inexperienced staff, and operational and capital efficiency. Revolution™ Vibe, designed to deliver leading-edge technology, features advanced cardiovascular capability. It improves patient access and operational efficiency, prioritizes patient care and supports your facility's growth with lower lifecycle costs.

Improve access
Consistent, exceptional image quality for every patient

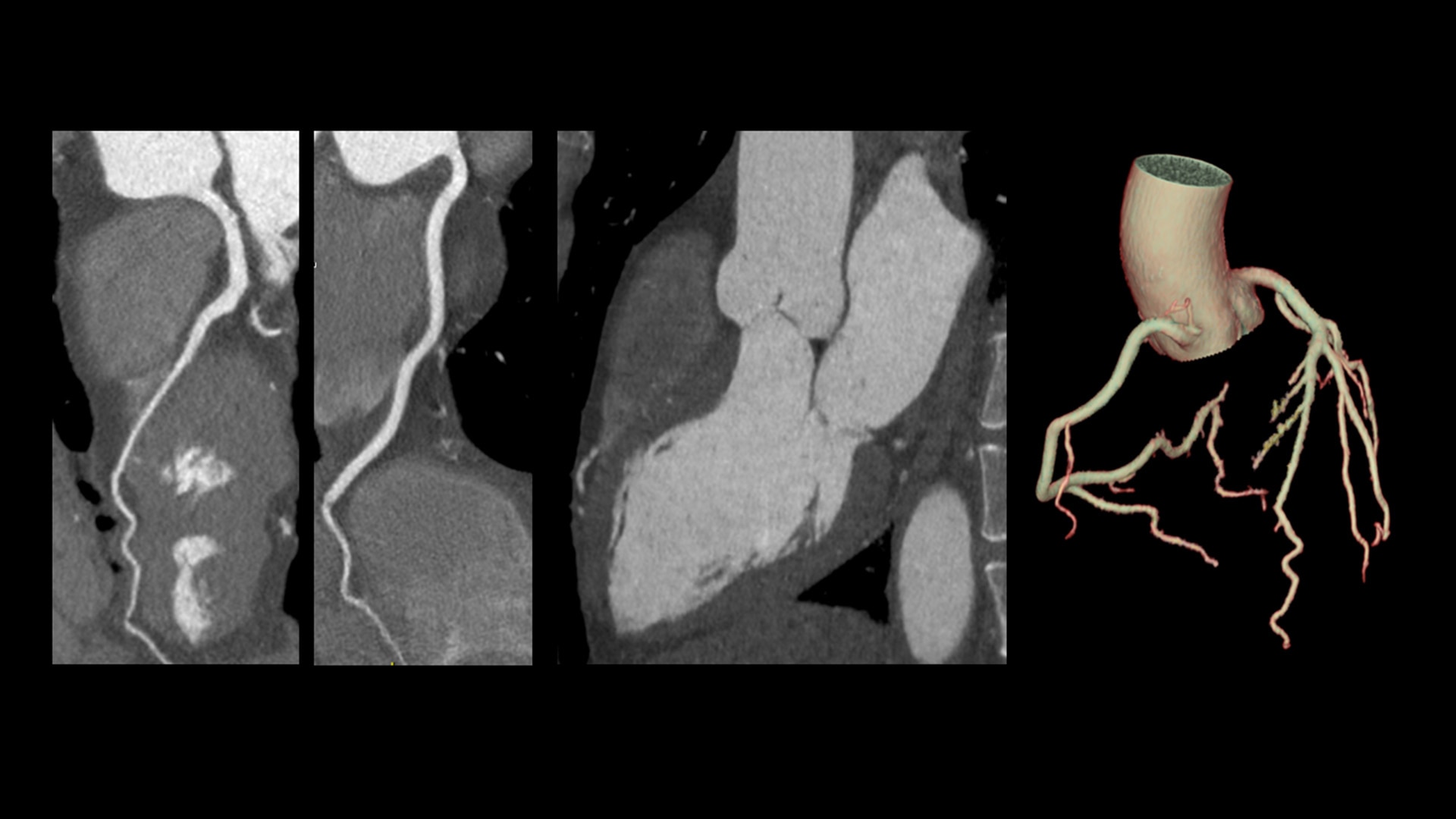
Unlimited 1-Beat Cardiac is designed to provide consistent, high-quality imaging for accurate diagnoses, even in challenging patients with atrial fibrillation, breath-holding difficulties, heavily calcified coronaries, in-stent restenosis, and situations where an ECG trace is unavailable.

feature-hero-improve-access-desktop
Goodbye complexity
Effortless Cardiac workflow for every user

Revolution Vibe's AI-powered workflow streamlines the entire cardiac CT process, from pre-scan to post-scan. It delivers accurate, automatically personalized scans for each patient, reducing dependency on user experience and enabling your team to achieve confident results swiftly.

feature-hero-goodbye-complexity-desktop
Lower lifecycle cost
Elevate your success with lower lifecycle costs

An intelligently designed advanced scanner with a lower product lifecycle cost, featuring predictive maintenance, cost-saving contrast media management, energy-efficient features, extensive training, fleet management, and Smart Subscription to keep you up to date.

feature-hero-lower-lifecycle-cost-desktop
Upgrade your plan
Smart Subscription

The industry's first subscription-based service for CT applications. Smart Subscription includes a broad range of application packages across different imaging service lines. You can pick different packages and plans to begin with, and choose more packages, and upgrade your plans when you want to expand your CT capabilities.

feature-hero-upgrade-plan-desktop-v2
Lower energy consumption
Energy Saving Mode 2.0

Energy Saving Mode 2.0 is a feature that transitions Revolution Vibe into a low-power mode during extended periods of non-operation. This mode achieves a reduction of over 30% in daily energy consumption (in kWh), according to the COCIR SRI 2025 testing procedure.

feature-hero-lower-energy-consumption-desktop
Maximize efficiency
Imaging 360

Imaging 360 optimizes day-to-day fleet management and operation, including improving fleet visibility, status, configurations, and utilization in one view to maximize ROI and patient throughput. Standardize, monitor, and maintain protocols across modalities for efficiency and consistency. Remote scan assistance to elevate expertise, enhancing confidence and quality of care.

feature-hero-maximize-efficiency-desktop
Additional Resource

 

Revolution Vibe - A new vision for every heart brochure.

 

Disclaimer

*Revolution™ Vibe is CE marked and subject to government regulations and may not be available in all countries. Shipment and effective sale can only occur after approval from the regulator. Please check with your local GE HealthCare representative for details.

Get in touch

Have a question? We would love to hear from you.

We're ready to support you in your moments that matter.

Thank you!

We received your request for assistance.

A GE Healthcare specialist will be reaching out shortly.

Something went wrong

We will check and get back.

JB32465XX March 2025