• Change country/language

    Looks like you’re in {} — you’re on the {} site.

    Cancel

    Country and language selected

    You are being redirected to the {} site. Products and services availability vary by country. Do you wish to continue?

    Continue
    Cancel

Revolution CT ES for Radiation Oncology

Revolution™ CT ES for Radiation Oncology

Header-bar-no-text

Tomorrow’s new standard for radiation therapy today

Advances in radiation technology over the past few decades have enabled radiation oncologists to personalize the dose of radiation therapy in order to treat their patients precisely. In response, simulation technology needs to evolve to support that treatment.

GE Healthcare’s CT simulator delivers precise and efficient RT imaging solutions. Built upon a proven and powerful Revolution platform, Revolution CT ES is equipped with a 128-row Gemstone Clarity detector, Deep Learning Image Reconstruction and Gemstone Spectral Imaging to deliver superb clarity for precise and efficient treatment planning images. It empowers you to stay ahead of the curve in an increasingly competitive market.

The Revolution CT ES can be customized to your needs by expanding detector coverage from 80 mm to 160 mm. It is designed to exceed your expectations today with scalable solutions that broaden your capabilities tomorrow.

Deep Learning-based MaxFOV 2

See more, see better

Specify CT scan accuracy with a full 80 cm field of view.

The precise dose calculation in CT simulation requires the full and accurate view of the patient’s skin line and tissue densities. In practice, truncation often occurs in CT images due to the limited display field-of view(DFOV), extra-large patient size, or the unique off-centered patient positioning needed to accommodate immobilization devices.

MaxFOV 2 is an AI-powered, extended-Field-of-View technology that extends DFOV up to 80 cm, with specified accuracy

  • ±2 mm skin line accuracy with ±40 HU accuracy of water for truncation up to 70 cm
  • ±3 mm skin line accuracy with ±60 HU accuracy of water for truncation up to 80 cm*

MaxFOV 2 has the potential to increase your confidence in high accuracy of patient contour and tissue density determination sufficient for dose calculation.

* As demonstrated by phantom testing, accuracy value can be reproduced using GE recommended testing method

Deep-Learning-based-MaxFOV-2

Deep Learning Image Reconstruction TrueFidelity CT Images


Take image quality to the next level

Gain superb resolution and clarity for precise delineation and contouring.

GE proprietary Deep Learning Image Reconstruction is the first AIpowered CT image reconstruction technology. It features a deep neural network (DNN) that can discern noise from signals and intelligently suppress the noise without impacting anatomical and pathological structures.

The resulting TrueFidelity CT images have superb high contrast spatial resolution and low contrast detectability, without impacting Hounsfield unit accuracy.

Revolution CT ES’ outstanding performance in resolution and soft-tissue imaging has the potential to benefit precise target delineation and organ-at-risk (OAR) contouring.

Deep-Learning-Image-Reconstruction-TrueFidelity-CT-Images-with-text

Metal Artifact Reduction for single and dual energy

Outsmart metal

Save time correcting images by reducing metal artifacts.

High density metal objects like orthopedic implants and fixtures, dental filings, and endovascular coils block critical anatomy and slow down the radiotherapy planning process. Metal Artifact Reduction (MAR) is an image reconstruction algorithm that’s proven to effectively reduce metal artifacts and reveal hidden anatomical and pathological structures.

Smart MAR and GSI MAR have the potential to save you time and improve the precision in dose calculation and organ delineation.

  • Exceptional image quality for single and dual energy. MAR uses a three-stage, projection-based process to help deliver consistent, enhanced image quality that addresses both beam hardening and photon starvation artifacts
  • Streamlined workflow. MAR facilitates an efficient, single-scan process everywhere, anytime
  • Versatility. MAR is designed to enhance clarity across a range of cases with metal including scans with hip implants, dental fillings, screws or her metal in the body
Metal Artifact Reduction-for-single-and-dual-energy

A portfolio of advanced 4D solutions


Visualize and assess respiratory induced motion with fast 4D image reconstruction

Access automated tools for advanced planning from your workspace.

Whole lung thin slice 4D gating: Get 4D respiratory gating coverage of up to 5,120 images, enabling thinner slices to support SBRT.

Volume 4D: Volume 4D respiratory gating – Evaluate tumor motion in a single-bed position as the patient breathes.

A-portfolio-of-advanced-4D-solutions

Volume 4D

Advanced solutions for optimal planning

Large z-axis detector coverage and fast rotation enable the respirationgated volumetric 4D image acquisition to improve the image quality in organs that move with respiration such as the lung and liver, with benefits of:

  • Potentially minimizing the artifacts caused by respiratory motion
  • Utilizing shorter acquisition time to reduce coaching time needed to help patient achieve a more stable breath cycle
  • Improving efficiency with reduced scan time

Capture 80 mm coverage of respiratory cycle with 6.5 seconds scan speed.

*As compared with 2 cm z-coverage

Volume-4D-with-text
Dual-Energy-CT-for-the-future-of-CT-simulation-no-text

Dual Energy CT for the future of CT simulation

Gemstone Spectral Imaging

Gemstone Spectral Imaging (GSI) is GE’s proven DECT solution, which enables the generator to switch the beam energy between the low setting (80 kVp) and the high setting (140 kVp) within microseconds. Use this to achieve the 0.25 ms cycle time, achieve simultaneous temporal and spatial registration, and get better energy separation with full 50 cm spectral Field of View. GSI has been routinely used in diagnostic oncology.

GSI’s unique, fast KV switching design with projection-based material decomposition can achieve excellent quantification accuracy and material differentiation and reduce artifact.

Based on the evidence, GSI potential benefits in target delineation, normal tissue characterization, and the dose calculation accuracy by leveraging different GSI images, included:

  • Monochromatic images
  • Material decomposition images
  • Virtual unenhanced image (VUE)
  • GSI Metal artifact reduction (MAR)
  • Effective-Z
  • Artifact reduction

Additional Information

Monochromatic images

Left: 70 keV; Right: 40 keV. Monochromatic images at lower energy levels can achieve higher CNR and benefit lesion depiction and target delineation. Monochromatic images at higher energy levels have the benefits of beam hardening reduction. Monochromatic images potential benefits for radiation oncology: enhanced lesion depiction, precise target delineation, beam hardening reduction, and potential for precise target delineation and dose calculation.

Monochromatic-images

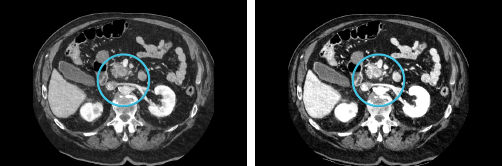
Material density

Iodine color maps. The material density images (MD) provide qualitative and quantitative information regarding tissue composition and contrast media distribution, increase tissue contrast and amplify subtle differences in attenuation between normal and abnormal tissues. The material density benefits for radiation oncology: enhanced lesion detection, characterization and delineation, and potential for post-treatment tumor vitality monitoring.

Material-density

Additional Information

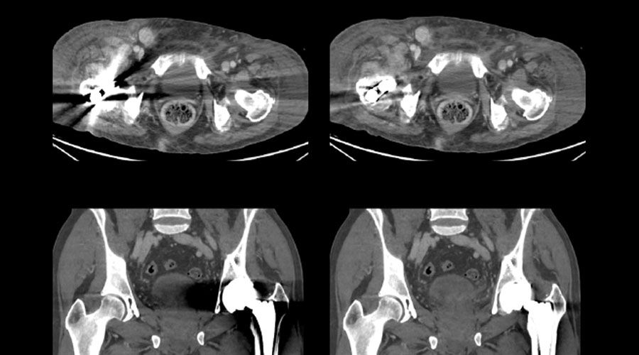
GSI MAR

Left: 40 keV; Right: 40 keV with GSI MAR. GSI Metal Artifact Reduction (GSI MAR) is a dual energy metal artifact reduction algorithm designed to reveal anatomic details obscured by metal artifacts. GSI MAR benefits for radiation oncology: reduced artifacts for more productive target delineation and dose calculation.

GSI-MAR

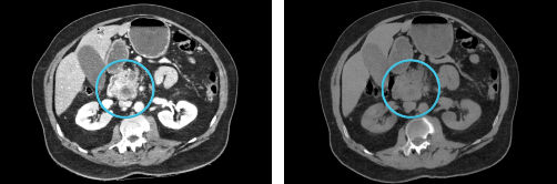
VUE

Iodine color maps. Virtual Unenhanced images (VUE) – The HU values in the VUE images were similar to the HU values in the non-contrast images which can assess anatomy potential masked by contrast and provide reliable information for characterizing diverse lesions. VUE benefits for radiation oncology6: VUE potentially may be used for lesion characterization, avoiding the error of registration when contrast enhancement requires: accurate target delineation and dose calculations.

VUE

Additional Information

Effective-Z map

Effective-Z (effective atomic number) generated by GSI is accurate2 and closely related to diverse tissue electron density. Eff-Z map may help to illustrate tissue distribution. The accuracy of proton stopping-power ratio (SPR) prediction is dependent on the ability to correctly characterize patient tissues. Conventional CT HU-SPR conversion has limitations in dealing with human tissue diversity.1 Effective-Z map benefits for radiation oncology: Eff-Z may be used for prediction in proton therapy, with the potential1,3,4 to reduce uncertainties in particle range prediction5 and improve accuracy of dose planning.

Effective-z-map
Simplify your workload

AdvantageSim™ MD and AW Server


Access automated tools for advanced planning from your workspace.

AdvantageSim MD virtual simulation software makes it easy to enhance what you image with the latest in simulation and localization technology and share it with other clinicians. You can load and display data sets from multiple modalities, integrate 4D data into the planning process, and fuse multiple volumetric acquisitions together. And because the software lives on the AW Server, you can access it outside of the workstation and easily collaborate with your patients’ care teams.

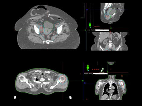
Precise patient positioning

For more accurate treatment delivery

80 cm bore for flexibility and freedom to position patients in the optimal position for treatment delivery. Minimal deflection under heavy load to comply with the recommendations in the report of AAPM Radiation Therapy Committee Task Group No. 66 with RTP Flat Table Top Overlay.

  • Varian Respiratory Gating for Scanners (RGSC) device for radiation therapy planning
  • Scout based patient centering assistance for optimal image quality
  • Gantry display monitor for patient information
Product-Images

Related Content

Discovery RT Brochure
Smart Metal Artifact Reduction (MAR) Brochure

REFERENCES

1. Zhu, J., Penfold, S. (2016). Dosimetric comparison of stopping power calibration with dual energy CT and single energy CT in proton therapy treatment planning Medical Physics 43(6Part1), 2845-2854.
2. Goodsitt, M., Christodoulou, E., Larson, S. (2011). Accuracies of the synthesized monochromatic CT numbers and effective atomic numbers obtained with a rapid kVp switching dual energy CT scanner Medical Physics 38(4), 2222-2232.
3. Kaginelli, S. B., Rajeshwari, T., Sharanabasappa, Kerur, B. R., & Kumar, A. S. (2009). Effective atomic numbers and electron density of dosimetric material. Journal of medical physics, 34(3), 176–179.
4. Yang M, Virshup G , Clayton J, Zhu XR, Mohan R, Dong L. Theoreti-cal variance analysis of single- and dual-energy computed tomography methods for calculating proton stopping power ratios of biological tissues. Phys Med Biol. 2010;55:1343–1362.
5. Compared to generic Hounsfield look-up table (HLUT) method.

Have a question? We would love to hear from you.

JB16296XX August 2021