• Change country/language

    Looks like you’re in {} — you’re on the {} site.

    Cancel

    Country and language selected

    You are being redirected to the {} site. Products and services availability vary by country. Do you wish to continue?

    Continue
    Cancel
TAVI Analysis
Automation & guided workflow for efficient TAVI planning

At a glance

Efficiency

Faster annulus plane detection and aortic annulus measurements*

Consistency

Summary table and automated report for consistent and efficient communication

Workflow

Automation & guided workflow for efficient TAVI planning

Features
Assess aortic root and plan peripheral access within a single application
  • Automated aortic segmentation and preliminary orientation to aortic annular plane
  • 3-point deposit mode for precise refinement of annular plane
  • >Faster valve plane detection over a manual method
  • Perpendicular view & S-curve graph demonstrates working C-Arm angles for valve deployment
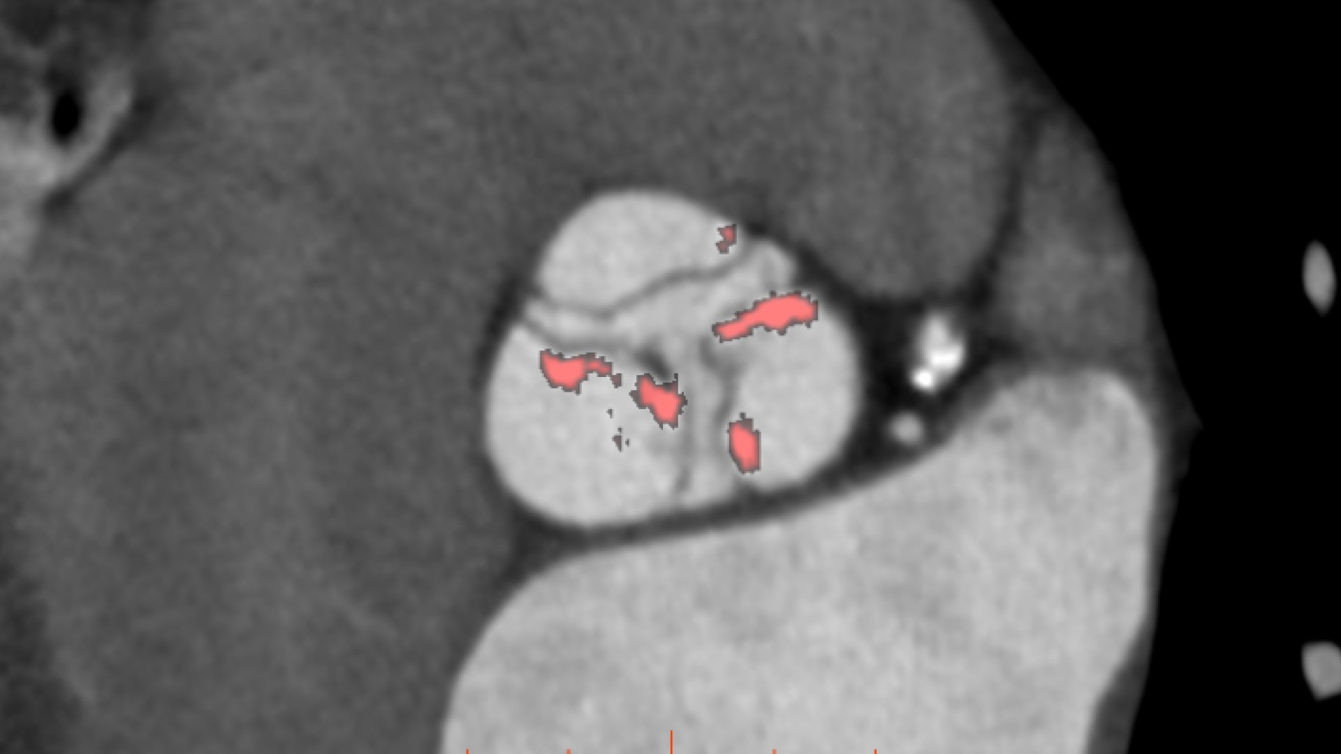
  • Automatic estimate of aortic valve calcium volume measurement
  • Automatic centerline tracking for peripheral access planning
  • Summary table and automated report for consistent and efficient communication to clinical care team
assess-aortic-root-desktop
References

Annoni AD, Mancini ME, Carlicchi E, Belmonte M, Formenti A, Mushtaq S, Marchetti F, Cilia F, Baggiano A, Fusini L, Bonomi A, Gennari M, Montorsi P, Pepi M, Pontone G.
Pre-TAVI aortic annulus sizing: comparison between manual and semi-automated new generation software measurements in operators with different experience.
Br J Radiol. 2023 Sep;96(1149):20220733. doi: 10.1259/bjr.20220733. Epub 2023 Jul 26. PMID: 37449675; PMCID: PMC10461289.

FOOTNOTES

*Over the manual approach (data on file)

Get in touch

Have a question? We would love to hear from you.

We're ready to support you in your moments that matter.

Thank you!

We received your request for assistance.

A GE Healthcare specialist will be reaching out shortly.

Something went wrong

We will check and get back.

JB03540UK July 2024