• Change country/language

    Looks like you’re in {} — you’re on the {} site.

    Cancel

    Country and language selected

    You are being redirected to the {} site. Products and services availability vary by country. Do you wish to continue?

    Continue
    Cancel
Stroke VCAR
Complete reading workflow solution for a comprehensive and robust analysis of hematoma and aneurysms.

At a glance

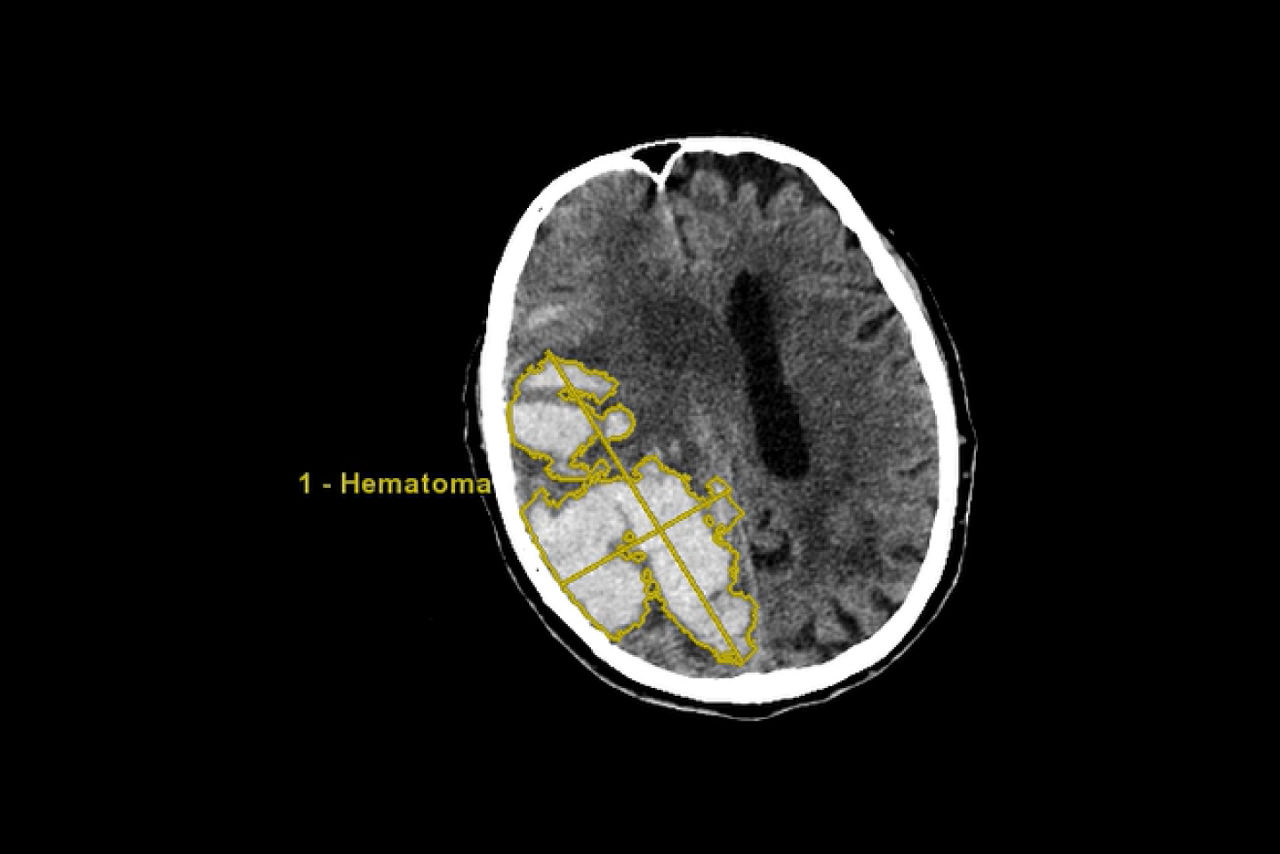
Hematoma

Semi-automated segmentation and sizing of hematoma.

Aneurysm

Easy and intuitive workflow for aneurysm segmentation and assessment.

Reporting

Simple and intuitive reporting to share images and measurements of aneurysms and hematoma findings in a consistent and standardized manner.

Features
  • Semi-automated segmentation and sizing of hematoma
  • SmartMesh—an interactive volumetric editing tool
  • Comprehensive reporting of segmented hematomas
  • Fully integrated with Spectral CT when using GSI datasets
  • Track hematoma changes both visually and quantitatively with longitudinal exam workflow
  • Simple user driven aneurysm detection workflow
  • Easy and intuitive workflow for aneurysm segmentation.
stroke-vcar-desktop
Get in touch

Have a question? We would love to hear from you.

We're ready to support you in your moments that matter.

Thank you!

We received your request for assistance.

A GE Healthcare specialist will be reaching out shortly.

Something went wrong

We will check and get back.

JB03546UK July 2024