• Change country/language

    Looks like you’re in {} — you’re on the {} site.

    Cancel

    Country and language selected

    You are being redirected to the {} site. Products and services availability vary by country. Do you wish to continue?

    Continue
    Cancel
DentaScan
Real-time Oblique and Panorex reformations specific to CT dental imaging.

At a glance

Panorex and oblique views

You can adjust or redraw curves used to generate views during the procedure

Cross-referenced views

Axial, panorex and oblique views remain cross referenced on the screen.

Filming

Film composition is automatic. 𠊊utomatically annotates studies to assist in film interpretation.

Features
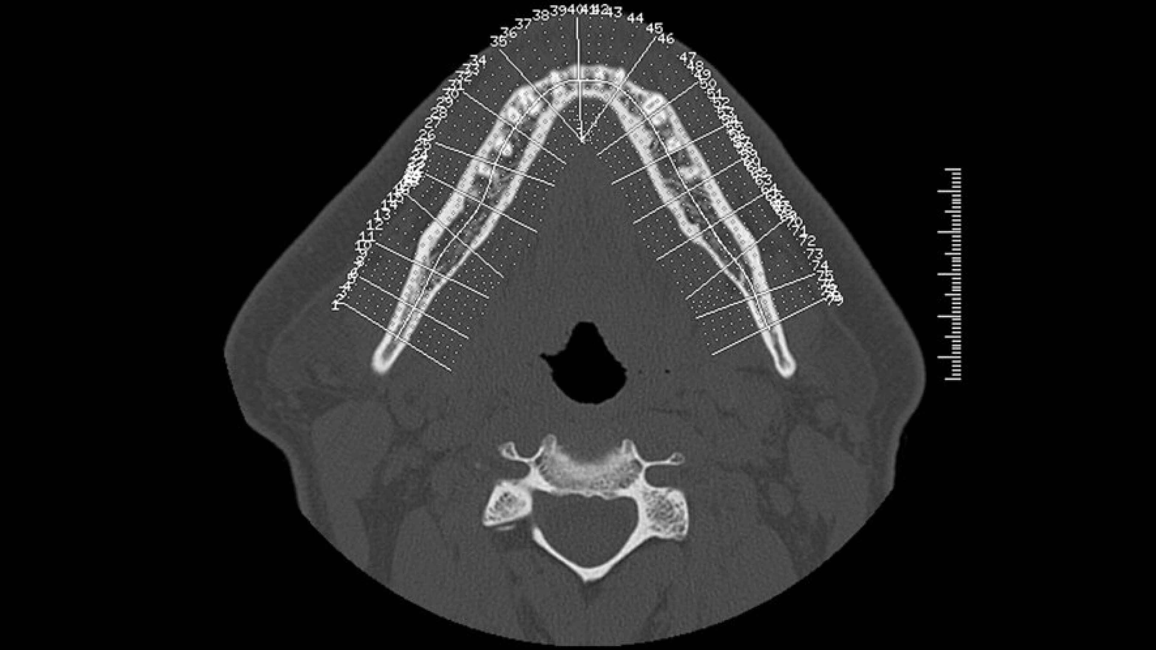
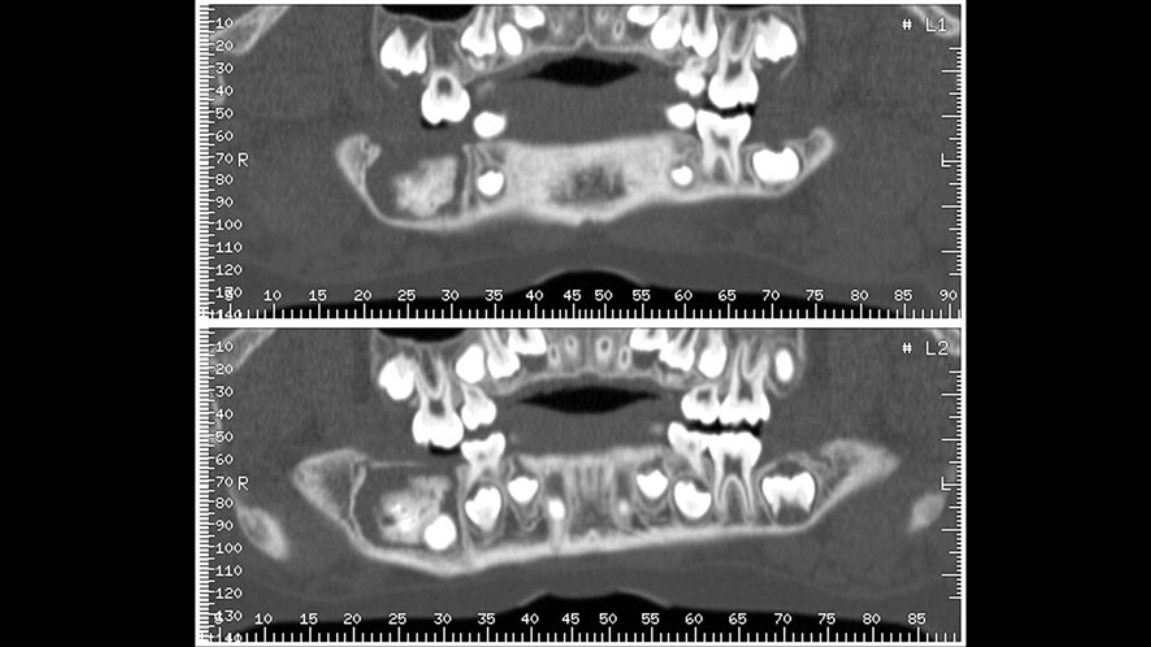
  • The curve used to generate panorex and oblique views is drawn on selected axial views. It can be adjusted or redrawn easily at any time during Dentascan procedures.
  • Axial panorex and oblique views remain cross referenced on the screen. Oblique views are generated in real time when the cursor is moved on axial or panorex views. A similar feature exists when the cursor is moved on a panorex or oblique view.
  • Gantry tilt is supported for greater flexibility in difficult cases.
  • Filming is automatic at selection of the film key. Parameters can be adjusted through the film menu.
  • A mm-scale is printed on the side of oblique and panorex views for direct measurement from film. The entire study is annotated to assist in film interpretation.
dentascan-features-hero-image
Get in touch

Have a question? We would love to hear from you.

We're ready to support you in your moments that matter.

Thank you!

We received your request for assistance.

A GE Healthcare specialist will be reaching out shortly.

Something went wrong

We will check and get back.

JB03539UK July 2024