
体验 AIR Technology 带来的自由感

BodyWorks
With BodyWorks, we address one of the fastest growing areas in MR. This all-inclusive library allows you to image abdominal and pelvic anatomy with user flexibility to adapt to different patient types.
Auto Navigator is GE's solution to combat respiratory motion in abdominal imaging. This free-breathing approach is compatible with multiple pulse sequences including diffusion, PROPELLER MB, MRCP and dynamic T1 imaging.CVWorks
With our intuitive cardiac techniques, you can assess morphology, flow, function and tissue viability plus gain crucial insights into vascular structure and flow dynamics. CVWorks provides the flexibility to adapt to different patient types with exams that vastly simplify workflow.
With CVWorks, multi breath-hold imaging can be a thing of the past. Our latest Single shot MDE and Black Blood techniques provide patient-friendly alternatives to uncomfortable breath-holds.
With our workflow-simplified QuickStep protocols, scanning whole body vasculature can be done in less than 6 minutes. High performance gradients allow bright blood pool and myocardial tissue contrast on Cine FIESTA while preserving spatial resolution.NeuroWorks
This one-stop solution enables you to imagine brain, spine, vascular and peripheral nerve anatomy with exceptional tissue contrast. These motion-insensitive techniques feature single-click auto alignment, providing the complete neuro solution from scanning to post processing.
NeuroWorks also includes Cube, our 3D volumetric imaging suite, standard with every system. This application allows you to suppress CSF and either white or gray matter to increase lesion conspicuity.
PROPELLER MB, our latest PROPELLER enhancement, is a multi-shot approach that preserves tissue contrast regardless of weighting while also reducing motion artifacts. Additionally, this new technique introduces new contrasts such as T1 FSE.OncoWorks
This extensive library of techniques captures anatomic and morphologic data to uniquely enable oncological assessment of anatomy. OncoWorks includes robust tissue contrast, motion-insensitive, high temporal and spatial resolution imaging.
3D volumetric imaging with an optimized adiabatic fat suppression, combined with ARC or ASSET, provides high spatial and temporal resolution to capture contrast uptake patterns. The FSPGR Ax Dynamic image shows lesion characteristics generated using AW VS7's positive enhancement map. The T2 PROPELLER image demonstrates small FOV and motion-correction through the prostate.OrthoWorks
This one-stop solution enables you to image brain, spine, vascular and peripheral nerve anatomy with exceptional tissue contrast. Includes ReadyBrain for single-click auto alignment, enabling patient planning through post processing.
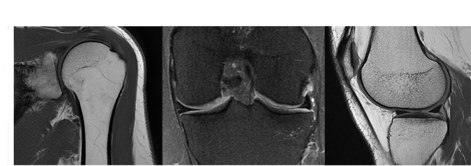
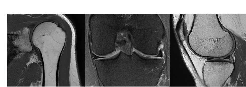
This extensive library of musculoskeletal imaging techniques enables you to image bone, joint and soft tissue with remarkable tissue contrast.
OrthoWorks also includes 3D volumetric Cube with proton-density, combined with ASPIR, which enables improved fat suppression uniformity, which is routinely done as three separate 2D scans. With one 3D acquistion and multi planar reformats, Cubes may replace individual 2D scans.PaedWorks
Pediatric imaging requires exclusive and distinctive imaging techniques that provide ease of use for the user and clinical excellence for your smallest, most fragile patients.
PaedWorks provides specialized protocols to simply address the needs of your smallest, most fragile patients. Techniques such as PB Navigators combined with PROPELLER MB are used with advanced techniques like diffusing imaging, allowing for patient-friendly, entirely free-breathing exams. Additionally, cardiac exams using single shot MDE provide faster, more reliable results.
The four images demonstrate dynamic T1 imaging with PB Navigator, which enables the patient to breathe freely while capturing contrast in fast temporal phases. Whole spine evaluation can be obtained simply with routine T2 frFSE imaging.
扩散成像从未如此智能
临床图库 - 标准和备选
3D MRCP
Navigated Turbo LAVA 用于胰腺
冠状 T2 SSFSE 大 FOV
轴向 T2 FatSat PROPELLER 导航
QuickStep MRA
短轴 2D FIESTA Cine
Black Blood – T1
Black Blood – SSFSE T2 ASPIR
PS MDE
4ch FIESTA Cine
临床图库 - 创新性
矢状 T1 HyperCube Flex
轴向 T2 HyperCube Flex 轨道
冠状 T2 HyperCube Flex with HyperSense
矢状 PD Cube FatSat
矢状 3D Cube DIR(冠状面重组)
飞行时间
DTI 25 方向 b1000 HyperBand x2
支持材料
*禁忌内容或注意事项详见说明书




