Clinical Images

Fetal brain with C2-9 probe and HDRes

15-week fetal circulatory system with eSTIC and HD-Flow™

Fetus with HDlive™ generated with SonoRenderlive

Fetal heart contractility demonstrated with fetalHQ

View of intraventricular septum with e4D Bi-plane imaging

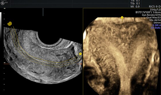
Tomographic ultrasound imaging (TUI) of uterine cavity

3VV and LVOT with Radiantflow™ in Dual Display

13-week fetal profile

Circle of Willis shown with SlowflowHD in Dual Display

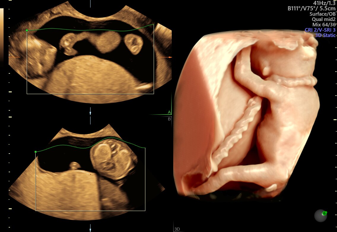
HDlive Studio on a 10-week fetus

OmniView with multiple lines applied on 12-week fetus

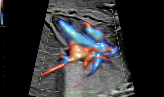
HDlive Flow with umbilical cord
Leading the way. Setting the standards.
Display extraordinary image detail with Voluson’s Radiance System Architecture; its sophisticated beam formation and powerful processing give you:*
- 4X ultrasound pathways for spectacular 2D and 3D/4D images with increased penetration and clarity
- 10X data transfer rate for higher resolution and very fast frame rates
- 4X processing power for advanced applications and efficient workflow
The trust patients need. The focus you deserve.
Like family, we're here for you.
*Compared to Voluson Expert Series BT13.















