cSound
Faced with diverse body types and complex medical issues, many conventional ultrasound systems too often yield non-diagnostic exams that may hinder the efficiency of coordinated care. Recognizing this challenge, GE has taken cardiovascular ultrasound to a higher level with a new imaging platform called cSoundTM.
Echo Lab
Visualization
One patient, one probe The new one-probe adult 4D TTE solution on the Vivid™ E95 provides an excellent ergonomic workflow solution with uncompromised 2D, 4D, color and Doppler image quality performance at ultra-high volume rates - all with a single probe. This allows for complete and comprehensive diagnosis with one probe and avoids switching of probes, thereby reducing exam time and helping you move swiftly through your work with minimal muscular stress and strain on the operator.
*Optional

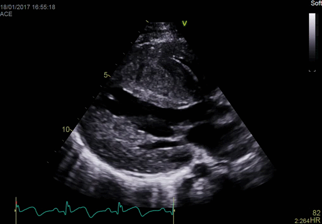
TCI and ACE

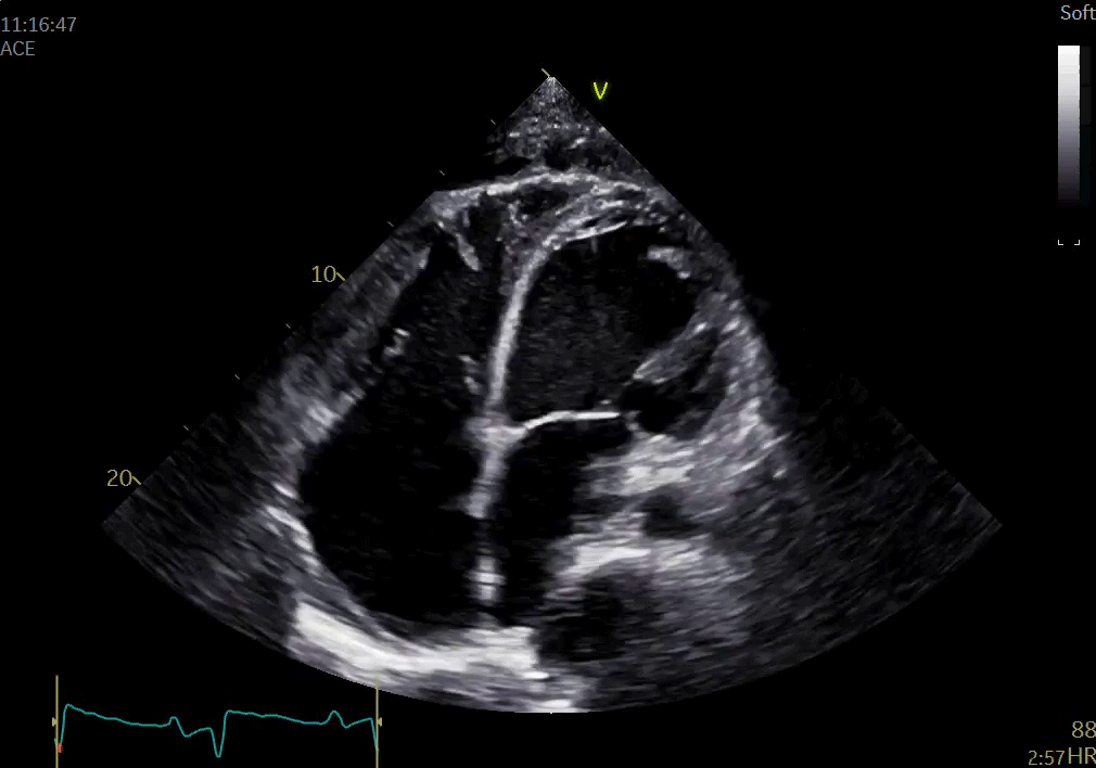
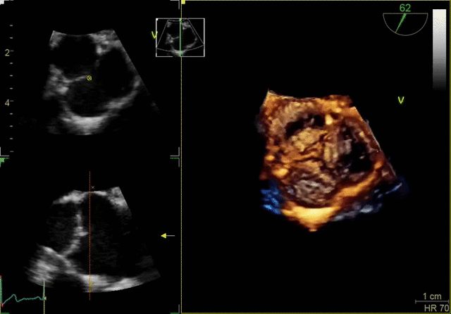
4D color imaging with the 4Vc-D probe

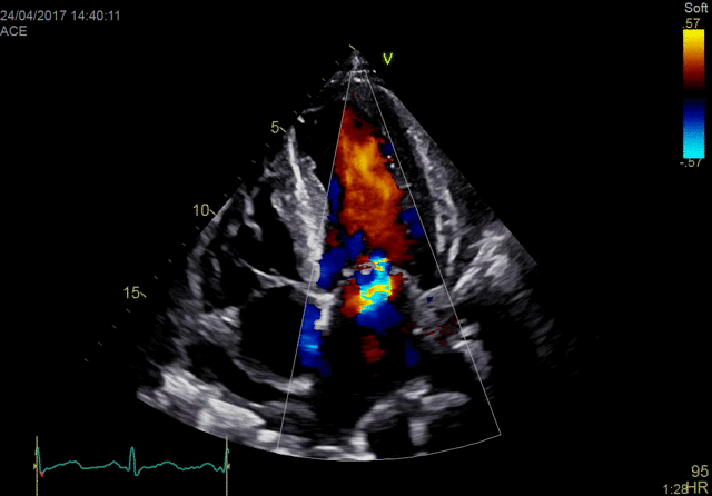
Color Flow

True Confocal Imaging

Blood Speckle Imaging (BSI)*

Virtual Apex
Define the care path Quantification with Vivid E95 is all about helping providers evaluate problems and pursue the path forward. Count on a full suite of intuitive tools to make your work easy and efficient. Quickly, accurately and thoroughly quantify left and right ventricular wall motion and other key functions.
*Optional

Auto EF 2.0**

Automated Function Imaging (AFI) 2.0*

4D Auto LAQ*

4D Strain*

Myocardial Work*

4D Auto RVQ*
Workflow
Streamline your exams Vivid E95 with cSound performance makes 4D imaging as easy as 2D imaging with efficient and intuitive tools. The high-quality raw data as well as the DICOM® format adapts to your preferences in terms of resolution and gray scale. You can move smoothly through your work, thanks to automated tools that minimize user interaction and provide quick access to stored settings. The QuickApps tool provides flexibility and easy workflow by providing instant access to settings that were stored earlier to match your color flow or contrast parameters, keeping the geometry of the current live image.

Cardiac Auto Doppler
Interventional
Visualization
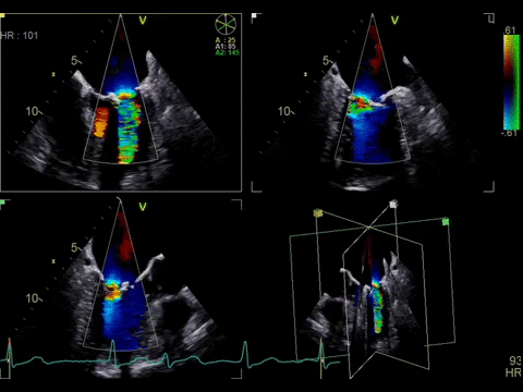
Ultra-high single-beat volume rates With TEE procedures growing, so is the need to find ways to achieve the benefits of 4D imaging without compromising productivity. VmaxTM enabled by cSound™ 2.0 offers ultra-high 4D volume rates acquired in single beat acquisition with no loss of image quality. Elimination of ECG gated multibeat/stitching acquisition provides enhanced overview of structures and function in cases with high and/or irregular heart rhythm - which potentially reduces interventional procedure time and improves patient outcomes.
*Optional

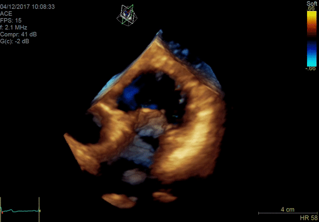
4D TEE color imaging with Vmax


FlexiZoom

Triplane

View-X*

10T-D Color Flow
Quantification
Exploration made easy Quantification with Vivid E95 elevates providers' ability to evaluate problems and pursue the path forward. Count on a full suite of intuitive tools to make your work easy and efficient.
*Optional

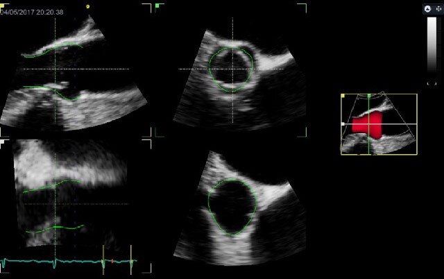
4D Auto MVQ*

4D Auto AVQ*
Workflow
Facilitate complex procedures You can move smoothly through your work, with tools that help to simplify and reduce scanning time. Additional tools include 2-click crop, Biplane prepare and 4D views.
*Optional

4D Markers*

CT Fusion*

FlexiSlice

FlexiViews
Pediatrics
Visualization
Gain innovative views into tiny structures - Acquire images on a wide range of pediatric and neonatal patients, quickly and with few system adjustments enabled by Dynamic Auto Optimization. Two dedicated pediatrics probes, 6S-D and 12S-D. Use XDclear™ transducers (C1-6-D and C2-9-D) to help you examine deep anatomy or shallow structures without sacrificing spatial or dynamic resolution.
* Compared to imaging without Texture** Optional

Pediatric Color Flow

Blood Speckle Imaging**

Neonatal Heart Imaging

Fetal Heart

Texture

Micro TEE Multiplane Probe
Connectivity and Security
Image and Measurement Transfer
- Raw data and all measurements (including customized) from Vivid™ Systems
- DICOM** and public DICOM SR from 3rd party
EchoPAC Post- Processing
- Full access to GE raw data
- Access to all Vivid measurement tools
- Review, post -process, and measure using AFI, Wall Motion Scoring, etc.
Image Management
- Store and review cine loops and static images
- Measure
- Annotate
- Export
- Send to/Retrieve from Long Term Storage
Reporting
- Create clean, comprehensive, easy-to-read reports
- Complete reports faster with quick report templates
- Easily add images to report
- Option to customize reporting forms and printout
- Report templates for TTE, TEE, Stress, Vascular
- Enhanced DICOM review - Accelerate reviewing and reporting by using contrast, brightness and zoom/pan controls to optimize DICOM images.
- Pediatric DICOM SR Support - Pediatric measurements sent by SR automatically populate the pediatric report on the receiving side for fast, accurate review elsewhere.
Tricefy® Uplink* – Expedite uploading of images and patient data to Tricefy Cloud – a long-term archive that enables image sharing with colleagues or patients.
Automated raw data transfer – The AI-based View Recognition feature simplifies use of raw data in a PACs environment.
Security
Vivid E95 is built and configured for reliability and security.
Windows® 10 Operating System with application whitelisting to prevent unauthorized programs from running and potentially harming the scanner.
LDAP - Help ensure patient data safety with Lightweight Directory Access Protocol, which allows your IT team to maintain greater control of who's in the system, reducing the risk of breaches.
Configurable system password - There are fully configurable user log-on passwords and internal passwords that can meet your IT department's requirements regarding security strength.
Disk Encryption - of the drive, which contains patient archive and images, helps ensure safety and privacy of the data, even in case of theft.
*Optional
**DICOM is the registered trademark of the National Electrical Manufacturers Association for its standards publications relating to digital communications of medical information
Tricefy is a trademark of Trice Imaging, Inc.
Windows is a trademark of Microsoft Corporation
Services and Support
Count on GE to help optimize the performance of your vital ultrasound assets. Our maintenance service offerings all deliver one thing - confidence.
Learn more
DIGITAL EXPERT for Vivid E95, E90, S70N & iq
Hands-on learning, personalized experience
Learning how to use your Vivid system is not a one-time occurrence. Beyond initial classes and installation, you need knowledgeable and customized training in order to ensure that you are maximizing the use of your equipment and utilizing the functions and features to its full potential.
GE Digital Expert is a mobile solution that delivers virtual face-to- face training for you and your clinical team. Utilizing a mobile tablet, Digital Expert connects you to a clinical applications expert allowing you to learn at your pace and at your schedule.
- Flexible and convenient training to fit your schedule
- Go beyond initial training to learn advanced usage while on your own consoles
- Learning sessions that fit your work and personal schedule
- Maximize your time with very little disruption to your daily life Digital technology connecting you to clinical experts
- We provide you a mobile tablet allowing you to communicate directly to a clinical applications expert
- Online content and embedded training material
- One-on-one virtual training allows for more personalized experience Digital Expert Onsite Training
- 10 weeks, 20 courses
- One-on-one or small groups
- $3,000 USD
- Courses available at your convenience
- Basic operations
- 2D/M-mode optimization
- Color/PW/CW doppler optimization
- BiPlane/TriPlan imaging
- 4D/4D color acquisition
- 4D navigation
- 4D quantification
- Strain
- Stress tests
- Reporting
- ... and more
Digital Expert is separate from the console, and is for education and training purposes only.
Vivid Club
You're invited to join the club.
We invite you to join the Vivid Club, a network of thousands of fellow Vivid ultrasound users. Club membership gives you access to many tools and resources which are only available to members, helping you experience the full power of your Vivid ultrasound system. Members are regularly informed about developments in Vivid ultrasound technology and provided with special offers and opportunities which are announced on the club's own Vivid Club website.
The benefits of club membership are many:
- Information on new products and offers
- Educational offerings & online trainings
- Application tips & tricks
- White papers & user guides
- Clinical image gallery
If you are not a member, consider joining today to begin taking advantage of these outstanding tools.
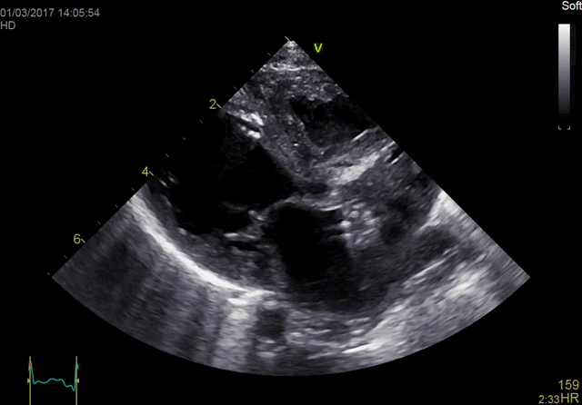
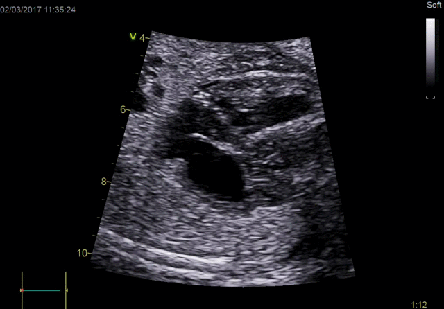
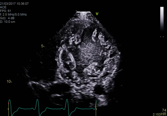
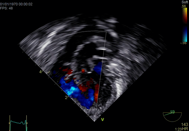
Gallery

Vivid E95

Vivid E95

Vivid E95

Vivid E95

Vivid E95




