ASTONISH … Designed to deliver an unmatched patient experience
With the SIGNA Pioneer, we're pioneering a patient-centered design built on a new concept of higher patient comfort and lower patient anxiety.

Soothing Silence
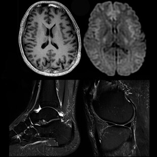
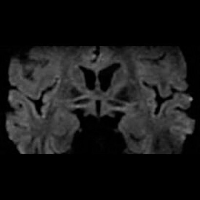
With SilentSuite, which is both revolutionary and proprietary, the SIGNA Pioneer reduces dB levels from an ear-splitting, motorcycle-level 91dB to within 3dB of scan room ambient noise. Along with this dramatic advance comes the first-ever complete Silent Neuro Exam that includes Diffusion Weighted Imaging (DWI).
In addition, we have expanded our Silent imaging capability beyond neuro imaging to musculoskeletal and spine imaging.
Breathe Free
With its free-breathing imaging applications and advanced motion correction software, SIGNA Pioneer will compensate for patient movement and allow complete free-breathing body imaging. This includes dynamic contrast enhanced MR imaging, improving dramatically
patient experience but also image quality in very challenging situations.
Rest Easy
The 70 cm wide bore design means more space and less anxiety. Not only is the bore wider, but so is the table. The SIGNA Pioneer's Comfort Plus patient table even sits lower to the ground, making it easier for patients to get on and off.
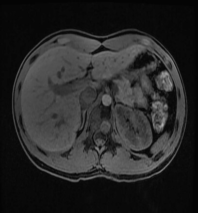
Non invasive procedures
3D Arterial Spin Labeling (3D ASL) delivers quantitative perfusion assessment-without radiation or the need for injection. IDEAL IQ delivers whole liver 3D coverage in a single breath-hold. It provides a non-invasive, quantitative assessment of triglyceride fat content in the liver that can aid in diagnosis. Further, our Inhance Suite delivers a set of non-contrast angiography solutions.