Introducing a new era
of image reconstruction.
Where deep learning
does its learning matters.
Confidence. Not compromise.
Testimonials
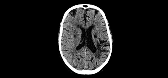
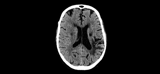
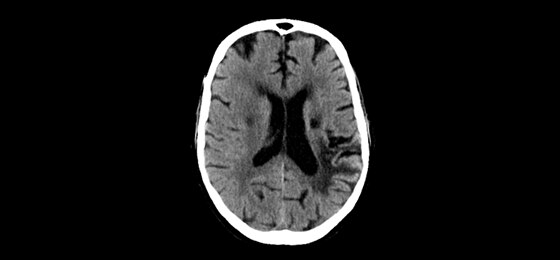
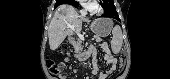
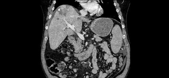
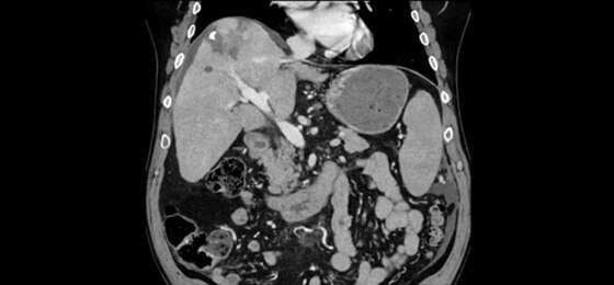
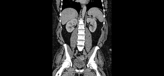
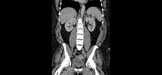
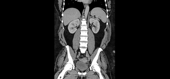
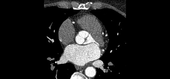
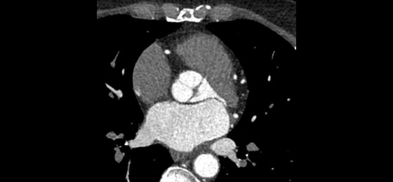
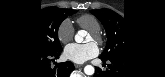
Image Gallery : Reconstruction Technology Comparison

FBP | 2.5 mm

ASiR-V 50% | 2.5 mm

Deep Learning Image Reconstruction | 2.5 mm

FBP | 0.625 mm

ASiR-V 50% | 0.625 mm

Deep Learning Image Reconstruction | 0.625 mm

FBP | 0.625 mm

ASiR-V 50% | 0.625 mm

Deep Learning Image Reconstruction | 0.625 mm

FBP

ASiR-V 50%

Deep Learning Image Reconstruction
See For Yourself
1. As demostrated in a clinical evalution consisting of 60 cases and 9 physicians, where each case was reconstructed with both DLIR and ASiR-V and evaluated by 3 of the physicians. In 100% of the reads, DLIR's image sharpness was rated the same as or better than ASiR-V's. In 91% of the reads, DLIR's noise texture was rated better than ASiR-V's. This rating was based on each individual reader's preference.














