Clinical Gallery

62-year-old female - 62 BPM, BMI 29

Submilisievert CCTA. 57 kg, 56-year-old female, 60 BPM, 0.5 mSv

Calcified Plaque on 118 kg patient, 63 BPM, BMI 40.3

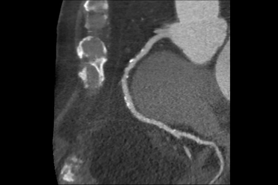
Visualization of the lumen on calcified RCA. BMI 28, HR 57

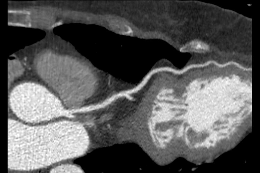
Plaque visualization on RCA on 124 kg male, BMI 40, 57 years old

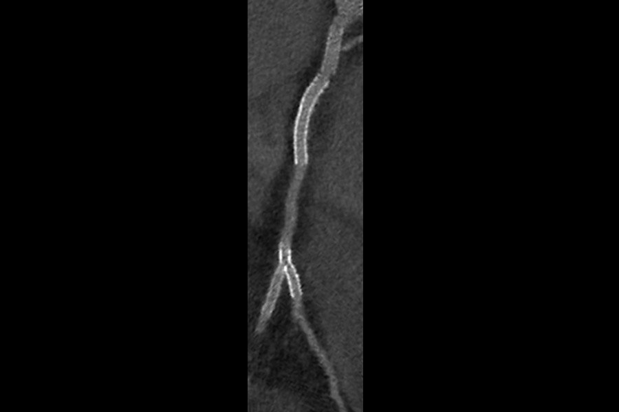
Visualization of the lumen of stents on 53-year-old male, 51 BPM, BMI 31

64-year-old male. Atrial Fibrillation. 56-82 BPM, BMI 28

80-year-old male. Trigeminy. 45-186 BPM, BMI 28
Benefits
Technology behind the performance
Low dose
ASiR-CVTM
One beat whole heart coverage
140 mm
Fast temporal resolution
0.24 sec rotation speed
High resolution
0.28 mm
Cardiovascular applications
From Scoring to TAVR
Cardiac focused workflow
Staff productivity
Learn from your peers
Watch

Dr. Pál Maurovich-Horvat Dedicated cardiovascular CT: performance and applications
Watch

Dr. Patrick Donnelly
First experience with dedicated cardiac CT: Impact on care pathway
Watch




